Succion du pouce chez l’enfant : une habitude à surveiller

  • Par
  • Publié le . Paru dans L'Information Dentaire n°44 - 17 décembre 2025 (page 40-45)
Information dentaire
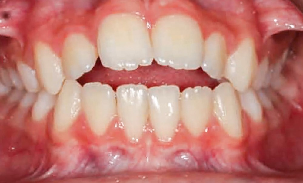
La succion du pouce est une habitude de succion non nutritive fréquemment observée chez les jeunes enfants. Ce comportement, considéré comme physiologique et rassurant au cours des premières années de vie, participe au développement psychoaffectif. Cependant, sa persistance au-delà de l’âge de 4 ans est susceptible de provoquer des altérations bucco-dentaires. Ces anomalies peuvent également s’accompagner de troubles fonctionnels et de répercussions esthétiques importantes susceptibles d’affecter l’estime de soi. Il est donc primordial que les professionnels de santé soient en mesure de dépister précocement cette habitude, d’en évaluer la gravité et d’orienter les familles vers une prise en charge adaptée, qu’elle soit éducative, orthodontique ou pluridisciplinaire.

Définition et prévalence

La succion est une activité instinctive et réflexe chez le nouveau-né, essentielle à l’alimentation et à la survie : elle l’aide à se nourrir, lui permettant de téter le sein ou le biberon. Elle est décrite dans la littérature sous deux aspects : la succion nutritive et la succion non nutritive [1]. La succion nutritive permet l’absorption d’une substance, se prolongeant par l’ingestion et une déglutition ; elle est liée à l’allaitement au sein, au biberon, ou à une combinaison des deux. La succion non nutritive indique une succion qui ne contribue pas à l’alimentation ; elle est évoquée lorsque l’enfant suce un ou plusieurs doigts, généralement le pouce, une tétine ou d’autres objets.

Les habitudes de succion non nutritive, telle la succion du pouce, sont des habitudes normales et couramment observées lors des premières années de vie. Elles sont associées à des besoins psychologiques de réconfort, de sécurité et de calme, ou encore de soulagement de la douleur [2]. Elles aident également à la concentration, à la canalisation et au contrôle des émotions. Elles auraient également un effet protecteur sur la mort subite du nourrisson [3]. Ces habitudes peuvent se manifester jour et nuit, ou bien seulement à l’endormissement. Elles cessent généralement avant l’âge de 3-4 ans ; si elles se poursuivent au-delà, elles ne seront plus liées à un besoin mais à une habitude.

Bien que la prévalence des habitudes de succion non nutritive varie considérablement selon les pays et les études, elles représentent les habitudes orales les plus fréquentes chez les nourrissons et les jeunes enfants à travers le monde. Elles touchent toutes les régions géographiques et tous les milieux socio-économiques. Leur prévalence peut atteindre jusqu’à 90 % chez les enfants âgés de 0 à 4 ans, avec un pic observé aux alentours de l’âge d’un an [4]. Parmi ces habitudes…

Cet article est réservé aux abonnés.
Pour lire la suite :

Vous êtes abonné.e ? Connectez-vous
Mot de passe
oublié ?

Vous pouvez également :

Acheter l'article En version numérique
Acheter le numéro À l'unité

Thèmes abordés

Sur le même sujet

Odontologie pédiatrique

Article réservé à nos abonnés L’hypominéralisation molaire incisive : action, réaction !

Séance DPC – JIP 2025 Conférencière : Elsa Garot L’Hypominéralisation Molaire Incisive (MIH) est une affection de l’émail définie depuis 2001...
Odontologie pédiatrique

Article réservé à nos abonnés Couronnes pédiatriques préformées esthétiques : zircone et composite, le face-à-face !

Responsable scientifique : Cécile Pflieger Intervenants : Serena LOPEZ, Nhat Minh DO La demande esthétique en dentisterie pédiatrique a considérablement augmenté ces...