Conception prothétique sans Ti-base
Deux configurations sont possibles en connexion direct implant en zircone.
1. Situation implantaire juxta-gingivale à connexion externe seulement, pour ne pas avoir de visibilité métallique supplémentaire au-dessus de la zone gingivale, si l’on se situe dans une zone esthétique et sans contrainte mécanique.
2. Situation implantaire à connexion externe uniquement, dont le diamètre de l’implant est trop fin. Il faut alors opter pour le sans Ti-base dans le but d’optimiser l’épaisseur des parois périphériques de la zircone en contact avec le col de l’implant.
Cette option peut entraîner des usures de la partie implantaire en titane par micromouvements de l’élément zircone, du fait de la différence de dureté [1].
Conception prothétique avec Ti-base
Il est possible d’assembler deux types de matériaux céramiques différents sur les Ti-bases, soit en mode scellé ou transvissé, en unitaire ou plural (en plural, uniquement en zircone).
Quatre formes sont possibles.
1. Pilier zircone ou disilicate de lithium (Ls2) (forme de moignon qui nécessitera, dans un deuxième temps, la confection d’une chape ou d’une couronne en zircone ou Ls2).
Le pilier sera transvissé et la chape ou la couronne sera scellée ou collée par-dessus une fois stratifiée ou maquillée. La technique de la couronne scellée est moins favorable que la transvissée, car les excès de ciment ou de colle non retirés dans l’espace biologique peuvent engendrer des problèmes futurs comme une péri-implantites ou une mucosite [2].
2. Élément monobloc sous forme de chape zircone ou Ls2 stratifiée partiellement ou totalement, puis transvissée.
3. Couronne monolithique zircone ou Ls2, maquillée (application de colorants) en une seule application ou subissant une deuxième cuisson de glaçure afin de protéger le maquillant en dessous, cette pièce sera transvissée par la suite [4].
4. Pilier-Prep zircone, stratifié sous la forme de préparation de facette, recouvert dans un second temps d’une facette monolithique ou stratifiée réalisée en Ls2, cette facette sera par la suite collée sur le pilier-Prep.
Nous utilisons cette technique dans le cas de deux restaurations côte à côte (exemple : deux incisives centrales) : l’une des deux est un support naturel dont la préparation est minimale et sa voisine est une dent prothétique transvissée sur implant.
La technique a surtout pour but d’adapter la luminosité générée par la zircone, mais aussi le volume, et la couleur de cette future dent prothétique sur implant. Le pilier-Prep sera stratifié puis préparé sous la forme d’une préparation facette (étape 1). Par la suite, nous réaliserons deux facettes Ls2 (étape 3) sur ces deux supports différents (implantaire et naturel). Elles devront avoir la même épaisseur, ainsi que le même degré d’opacité (lingotin identique) (fig. 1).
Les facettes pourront être recouvertes d’une fine stratification d’épaisseur égale de céramique cosmétique. Cela permet d’équilibrer optiquement les deux éléments.
À défaut, si on prend le même exemple d’une stratification sur deux supports différents, l’une en zircone (élément implantaire transvissé) et l’autre, une seule facette juste côte à côte, nous nous retrouvons confrontés à trois problèmes optiques :
– la couleur des différents supports n’est jamais identique. De plus, il n’y aura pas de correspondance en degrés d’opacité entre les deux matériaux ;
– dans le cas d’une réhabilitation de dents claires, la zircone étant naturellement plus lumineuse, dépourvue de fluorescence (zircone nue sans cosmétique), cela cause une difficulté de gestion de luminosité pendant et après stratification (sur le modèle de travail et en bouche) ;
– l’épaisseur du cosmétique de stratification entre les deux restaurations ne sera pas identique, ni homogène. Par conséquent, cela complique la perception optique entre les deux restaurations.
Notre astuce
Il est possible de personnaliser en caractérisant le pilier-Prep. Le but est d’imiter la couleur de la dent voisine, elle aussi préparée, en stratifiant le pilier-Prep d’une fine couche de céramique avec de la dentine plus ou moins saturée ou plus ou moins lumineuse, suivi d’incisal dans les zones proximales, comme nous le constatons assez souvent sur des préparations de facettes de dents naturelles.
Cela a d’abord une efficacité au niveau optique par effet de mimétisme dentinaire, et, en outre, cela offre la possibilité de mordancer cette fine couche de céramique, ce qui optimisera l’adhésion de la facette au collage.
Après validation clinique sur le plan esthético-fonctionnel de cette facette sur le pilier-Prep, il sera possible de coller la facette sur le pilier-Prep en clinique avec un adhésif, soit juste avant sa mise en place définitive (extra-oral, milieu sec), dans le cas où la facette ne recouvre pas le puits de serrage, soit en bouche, en même temps que les facettes voisines si le puits est recouvert par la facette (à risque en cas de desserrage du pilier) ou directement au laboratoire au moment du glaçage, avec de la glaçure, évidemment sans la base-titane.
Cas clinique
Il a été réalisé avec le Dr Michel Becker, de Neuilly-sur-Seine.
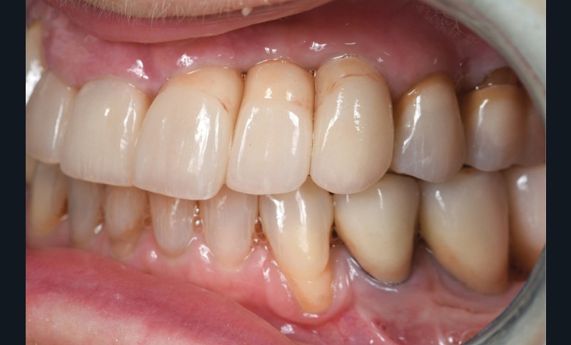
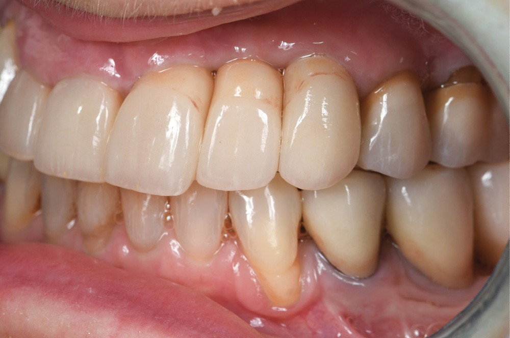
Il s’agit de la réalisation de 5 facettes et d’une couronne transvissée sur implant, qui sera modifiée en pilier-Prep recouvert d’une facette collée.
• Étape 1. Pilier Ti-Base.
• Étape 2. Après la fabrication du pilier-Prep en zircone, la couleur de la dent préparée à côté du pilier est sélectionnée.
• Étapes 3 et 4. Stratification du pilier-Prep, avec différentes masses céramiques (fig. 2).
• Étape 5. Pilier-Pep après cuisson du cosmétique céramique.
• Étape 6. Pilier-Pep après usinage sous forme de préparation en bout à bout (butt margin) pour facette (fig. 3).
• Étape 7a-b. Cire de diagnostic de six facettes, technique CPC (coque de résine photopolymérisable) [3].
• Étape 8a-b. Facettes en disilicate de lithium pressé sur supports dentaire et implantaire (fig. 4).
Pour ce cas, l’usinage du pilier a été fait en préparation butt-margin [4] avec les parties proximales plus reculées en palatin, afin de pouvoir mieux gérer les zones de contacts interproximaux (fig. 5).
Une coque de résine photopolymérisable (CPC) [3] et calcinable sera réalisée sur tous les éléments, puis pressée en par disilicate de lithium LTA2 (fig. 6).
La technique offre une épaisseur régulière de Ls2 sur tous les supports dento et implanto-portés, la stratification aura la même cartographie de montage, et sera sensiblement d’une même épaisseur de céramique sur l’ensemble de la restauration (fig. 7).
Après la validation de l’essayage biscuit des 6 facettes, vient le moment de la finition par un double collage.
– Le 1er collage est celui de la facette sur le pilier-Prep à l’aide d’un film de glaçure au moment du glaçage. Il ne faut pas hésiter à mettre un cordon de glaçure un peu épais sur la limite, pour ne pas avoir de manque après la cuisson du glaçage (fig. 8).
– Le 2e collage est celui du variobase dans le pilier-Prep, avec une colle spécifique à cette liason céramique pilier en titane en haute opacité (HO) [10].
Le fût de serrage n’étant pas recouvert par la facette, cela facilitera une réintervention en cas de besoin. De même, si cette facette devenue une couronne nécessite une modification, par exemple pour forcer un point de contact ou d’occlusion, cela sera possible. Elle pourra être recollée sur sa Ti-base, puis revissée sur l’implant par la suite (fig. 9 et 10).
Conclusion
Les possibilités en prothèse implantaire sont très variées, la technique de collage d’une Ti-base, qui se démocratise de plus en plus pour différentes raisons, nécessite une analyse poussée de tous les différents paramètres décrits dans cet article. Elle doit être faite avant de se positionner sur le choix du matériau ou de la technique. Il arrive très souvent que le choix se fasse une fois l’empreinte préparée (en technique analogique) en échange avec le chirurgien-dentiste, et en tenant compte de tous ces divers points.
L’artisan prothésiste aura très souvent une solution à proposer afin d’optimiser la pérennité et l’esthétique de la prothèse. Dans cet article, nous avons pu détailler la technique du pilier-Prep, une technique mise au point au laboratoire, qui nous rend de grands services. Encore une fois, la complémentarité entre la machine et la main de l’homme réalise de belles choses.
Les auteurs adressent leurs remerciements au Dr Michel Becker, Neuilly-sur-Seine.




















Commentaires