Toujours des épulis ?

  • Par
  • Publié le . Paru dans L'Information Dentaire
Information dentaire
Nous avons vu précédemment (Id n° 3 du 24 janvier 2018, en pages 25 à 27) que les épulis constituaient la majeure partie des tumeurs gingivales bénignes. Dans un autre article (Id n° 10 du 14 mars 2018 en pages 19-21), nous avons précisé qu’il existait bien d’autres tumeurs bénignes sur la gencive ; elles sont certes rares, mais elles présentent une grande variété. Dans certains cas, elles constituent l’expression clinique d’une lésion développée dans le chorion ou l’os sous-jacent.

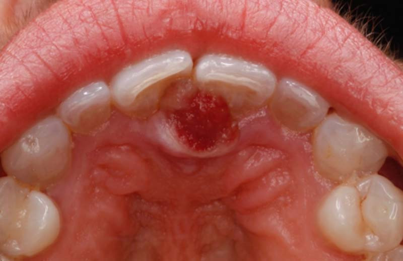
Cas 1

Motif de la consultation. Patiente de 55 ans venue consulter pour une tumeur gingivale palatine.
 
 


 

Histoire de la maladie. La patiente a constaté l’apparition 3 mois auparavant d’une tumeur juste en arrière de 11 et 21. La tumeur, qui était initialement asymptomatique, a augmenté très lentement de volume, puis elle a présenté des épisodes de saignement et de douleurs pulsatiles.
 
Interrogatoire. La patiente était en bonne santé et ne présentait pas d’antécédents médico-chirurgicaux particuliers.
 
Examen clinique. On observait une tumeur gingivale sessile, hémisphérique, de 8 mm de diamètre, siégeant sur la gencive palatine, au contact de 11 et 21. Elle donnait l’impression de refouler la muqueuse saine et sa surface rouge était occupée par une ulcération.
 
Examen paraclinique. Sur la radiographie, il n’y avait pas de lyse osseuse sous-jacente. L’examen histopathologique de la pièce d’exérèse a montré que la lésion était constituée par une prolifération cellulaire non encapsulée mais relativement bien limitée, siégeant dans le chorion. Presque toute la surface était le siège d’une ulcération recouverte par un enduit fibrinoleucocytaire. Cette prolifération était constituée par des cellules, le plus souvent arrondies ou cubiques, avec un cytoplasme assez large, intriquées avec des petits vaisseaux et un infiltrat inflammatoire discret comportant quelques lymphocytes et polynucléaires neutrophiles et de rares éosinophiles. L’épithélium des berges était par endroits hyperkératosique, mais il était dépourvu d’altérations dysplasiques. L’étude immunohistochimique a montré que les cellules lésionnelles étaient négatives pour l’AML, le CD34 et le CD31 ; ce dernier a toutefois souligné la richesse de la vascularisation. Le MIB-1 marquait quelques cellules éparses, siégeant principalement sous l’ulcération. Cette tumeur palatine correspondait donc à un histiocytofibrome.
 
Synthèse. L’histiocytofibrome…

Cet article est réservé aux abonnés.
Pour lire la suite :

Vous êtes abonné.e ? Connectez-vous
Mot de passe
oublié ?

Vous pouvez également :

Acheter l'article En version numérique

Thèmes abordés