Quelles sont les conditions pathologiques péri-implantaires ?
La santé des tissus péri-implantaires
Elle se définit par défaut, se traduit cliniquement par « l’absence d’inflammation, de saignement au sondage, d’œdème et de suppuration », sans tenir compte des profondeurs de sondage [4-6] (fig. 1).
La mucosite
La mucosite, stade précédant la péri-implantite, se caractérise par un syndrome inflammatoire autour des implants avec des valeurs de sondage variables sans perte osseuse (fig. 2).
La péri-implantite
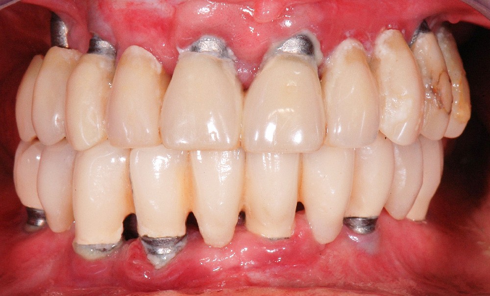
La plaque bactérienne (biofilm) pénètre et envahit les tissus muqueux autour des implants dentaires (fig. 3). S’installent une inflammation de la muqueuse péri-implantaire et la perte progressive et asynchrone du tissu osseux [4]. La péri-implantite survient au cours des premières années de mise en fonction de l’implant [4] et en l’absence de traitement, la maladie progresse (fig. 4) de manière non linéaire et rapide [4, 7].
Les facteurs de risque des maladies péri-implantaires
Facteurs modifiables
Hygiène buccale insuffisante – Influence du biofilm bactérien
L’hygiène bucco-dentaire irrégulière multiplie par 3,8 le risque de développer une péri-implantite [8, 9].
Absence de suivi thérapeutique
La compliance des patients et leur suivi thérapeutique repoussent l’apparition de maladies péri-implantaires [10]. La prévalence des péri-implantites double chez les patients qui n’ont pas consulté de chirurgien-dentiste au cours de cinq premières années après le traitement implantaire, par rapport à ceux qui consultent au moins une fois par an.
Historique de maladie parodontale non traitée
Le risque de développer une péri-implantite double chez des patients ayant un historique de maladie parodontale non traitée et de perte osseuse crestale associée [11]. La…








