Examen clinique
Une patiente de 22 ans, sans problème de santé, est adressée au cabinet par son chirurgien-dentiste traitant. Elle a présenté des épisodes infectieux au niveau de sa dent 22, qui ont été gérés par des antibiothérapies à trois reprises dans l’année. Depuis, une sensation de gêne persiste, localisée en palatin. Une lésion inflammatoire a été détectée par son praticien à l’examen rétro-alvéolaire, semblant selon lui concerner les apex des dents 21 et 22.
L’examen clinique montre une morphologie coronaire de la dent 22 légèrement atypique mais sans dysharmonie particulière. On note une tuméfaction palatine et cervicale, mais aucune anomalie vestibulaire. Une suppuration est observable lors de la pression muqueuse en palatin. La percussion axiale n’est pas douloureuse, ni la pression digitale. Le sondage parodontal est physiologique, la mobilité n’est pas augmentée.
Le test de sensibilité pulpaire (test au froid) est positif sur les dents 21 et 22.
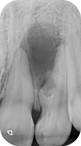
L’examen rétro-alvéolaire montre une anatomie atypique évoquant une invagination de l’émail communiquant avec le parodonte profond (dens invaginatus type III a selon Oehlers) [2] (fig. 1). L’analyse CBCT permet de mieux visualiser l’étendue de la lésion et l’anatomie radiculaire de la 22. L’invagination et le canal ont deux trajets indépendants sur toute leur longueur (fig. 2 et fig. 3a et b).
Diagnostic
Malgré l’image radiographique évoquant une parodontite apicale, les tests de sensibilité pulpaire indiquent ici la présence d’une pulpe saine sur les dents 21 et 22. Le diagnostic sera celui d’un abcès parodontal, consécutif à la colonisation bactérienne de l’invagination de l’émail.
Traitement proposé
Le traitement proposé est un traitement sélectif de l’invagination de l’émail, en gardant comme objectif la préservation de la vitalité pulpaire des dents 21 et 22. L’invagination…



