Une alternative fiable pour traiter l’édentement unitaire antérieur

  • Par
  • Publié le . Paru dans Profession Assistant(e) Dentaire n°5 - 15 décembre 2025 (page 30-35)
Information dentaire
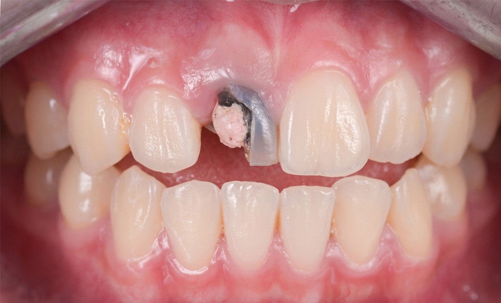
Depuis plus de vingt ans, les bridges collés à une seule ailette – dits cantilevers ou mono-ailettes – n’ont cessé d’évoluer. Solution souvent choisie en deuxième intention quand l’implant n’était pas envisageable ou à titre temporaire, ces bridges sont considérés aujourd’hui comme faisant partie intégrante de l’arsenal thérapeutique permettant le remplacement d’une incisive.

LE MOT DU RÉDACTEUR EN CHEF

Remplacer une dent absente sans recourir à un implant n’est plus aujourd’hui une solution de compromis. Grâce aux progrès des matériaux et du collage, le bridge collé cantilever s’impose comme une solution fiable, esthétique et respectueuse des tissus dentaires. Cette technique, longtemps considérée comme transitoire,
a aujourd’hui acquis sa légitimité scientifique et clinique pour devenir une option thérapeutique à part entière.

Pour l’assistant(e) dentaire, comprendre ce concept est essentiel, du fait de son rôle déterminant dans la réussite du traitement, de la mise en place du champ opératoire à la gestion du collage. C’est dans cette perspective que nous reprenons ici l’article du Dr Marin Pomperski paru dans L’Information Dentaire n° 25/26 du 25 juin 2025. Cette publication, rigoureuse et pédagogique, mérite d’être portée à votre connaissance afin d’enrichir votre compréhension clinique et de renforcer votre rôle auprès des praticiens.

 

Si, au début, le choix des matériaux et des protocoles étaient assez empiriques, la technique est aujourd’hui bien codifiée, portée par les progrès en sciences des matériaux et en adhésion. Le Professeur Matthias Kern [1], pionnier de la technique des bridges collés cantilevers, a ouvert une voie que la dentisterie contemporaine ne cesse d’affiner. Aujourd’hui, les indications et la mise en œuvre de ces bridges sont validées aussi bien scientifiquement qu’administrativement. Ils figurent même depuis 2018 à la nomenclature de la sécurité sociale sous le code HBLD093.

Comme pour tout traitement prothétique, le clinicien est confronté à des choix qui ne sont pas toujours simples. Dans le cas de l’édentement unitaire antérieur, le choix du bridge collé face à l’implant doit répondre à des critères stricts.

Les deux techniques, implants unitaires et bridges collés cantilevers, présentent aujourd’hui des taux…

Cet article est réservé aux abonnés.
Pour lire la suite :

Vous êtes abonné.e ? Connectez-vous
Mot de passe
oublié ?

Vous pouvez également :

Acheter l'article En version numérique
Acheter le numéro À l'unité

Thèmes abordés