Responsable de séance : Emmanuel d’Incau
Intervenants : Emmanuel d’Incau, Jean-Christophe Paris, William Pacquet, Romain Ducassé
Dépistage et étiologies des usures dentaires pathologiques
Usure dentaire physiologique versus pathologique
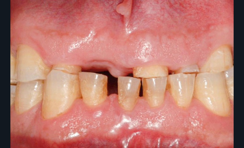
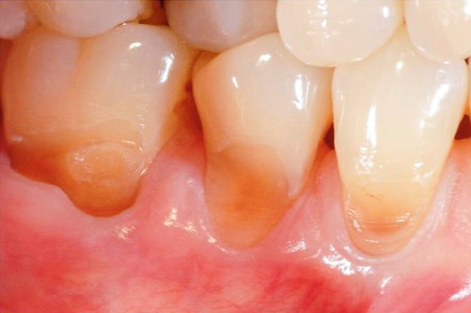
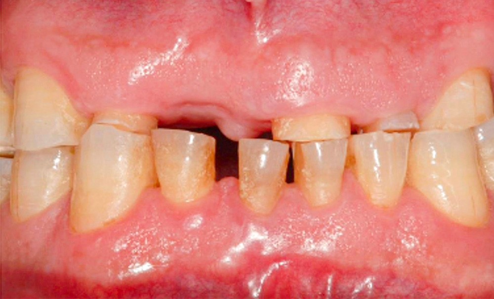
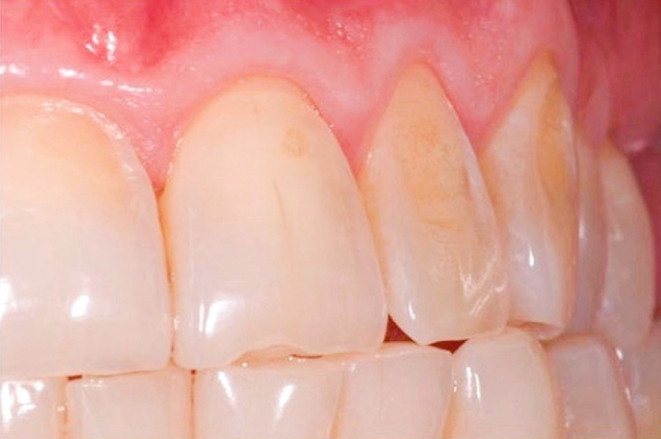
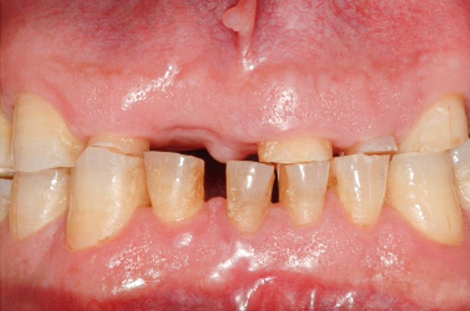
L’usure dentaire correspond à une perte progressive des tissus dentaires liée à l’usage. Longtemps considérée comme un phénomène exclusivement pathologique, elle est aujourd’hui reconnue comme un processus le plus souvent physiologique, cumulatif et étroitement corrélé au vieillissement [1]. L’aspect des lésions est polymorphe et peut concerner toutes les faces dentaires. Elle résulte de mécanismes multifactoriels agissant de façon concomitante, parmi lesquels l’attrition, l’abrasion, l’érosion et, de manière plus controversée, l’abfraction [2] (fig. 1).
L’attrition est une usure mécanique par contact dento-dentaire direct, localisée ou généralisée, souvent associée au bruxisme lié au sommeil, caractérisée par des surfaces planes et des stries parallèles, avec atteinte concomitante et similaire de l’émail et de la dentine.
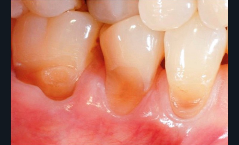
L’abrasion est liée à l’action de particules exogènes, aujourd’hui principalement iatrogènes (brossage traumatique), caractérisée par des lésions cervicales d’usure. Ces lésions sont physiologiques chez le sujet âgé mais potentiellement pathologiques chez le patient jeune en raison de la symptomatologie douloureuse associée.
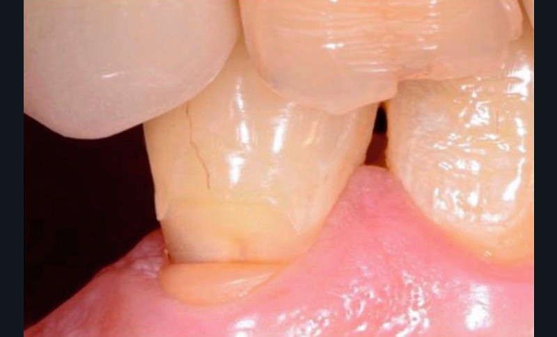
L’abfraction, dont la validité physiopathologique reste débattue, correspondrait à des lésions cervicales profondes liées à des contraintes de flexion, souvent associées à l’abrasion et à un environnement acide. Cliniquement, elles sont caractérisées par des surfaces en « coups de hache ».
L’érosion, distincte de l’usure mécanique, résulte d’attaques chimiques des tissus minéralisés, favorisées par les acides alimentaires, le reflux…



