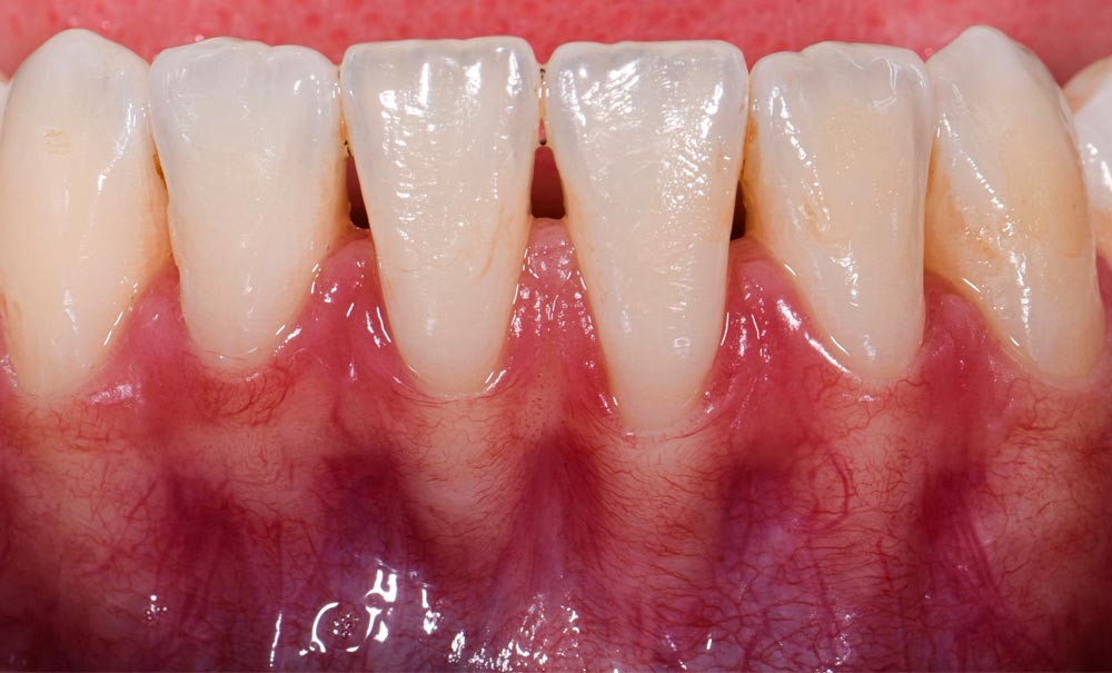
Accueil > Vidéos > « Plus jamais mal au brossage : quand une greffe change tout » video « Plus jamais mal au brossage : quand une greffe change tout » Cette vidéo est réservée aux abonnés. Connectez-vous ou abonnez-vous pour y accéder. « Plus jamais mal au brossage : quand une greffe change tout » par Virginie Monnet-Corti et Angéline Antezack Durée : 4:00 Publié le 10/03/2026 Vidéo en accès réservé Cette vidéo est réservée aux abonnés à Parodontologie Implantologie Orale, un nouveau regard.Abonnez-vous pour y accéder ! Se connecter M'abonner Newsletter Inscrivez-vous à la newsletter pour recevoir chaque semaine l’essentiel de L’Information Dentaire Je m'inscris Librairie dentaire Retrouvez dans notre librairie toute une gamme d'ouvrages spécialisés pour revoir ou approfondir les différents domaines de l'odontologie. Voir les ouvrages