Samedi 29 novembre – 9h/12h –
Atelier de travaux pratiques E99
Responsable scientifique : Benjamin Woloszczyk
Conférenciers : Christèle Labe, Simon Labe, Frédérique Perrin, Audrey Vandaele
Objectifs
• Connaître les différentes indications des gouttières occlusales
• Connaître les différents matériaux, les réglages ainsi que la maintenance
• Savoir réaliser et équilibrer une gouttière occlusale
Le chirurgien-dentiste est régulièrement sollicité pour diagnostiquer et prendre en charge des dysfonctionnements temporo-mandibulaires (DTM) ou pour gérer les usures pathologiques attritives liées au bruxisme.
Si l’orthèse occlusale est un outil thérapeutique reconnu dans ces situations, sa prescription, sa conception et son ajustement peuvent soulever des interrogations pratiques. Face à la diversité des cas cliniques et des dispositifs proposés, comment faire le bon choix et assurer une efficacité optimale ?
Cet article pose les bases didactiques des bonnes pratiques qui feront l’objet d’une mise en application concrète lors de la séance de travaux pratiques, visant la maîtrise de cet outil indispensable.
Savoir poser les bonnes indications
La prescription d’une orthèse occlusale, dans un contexte de DTM ou afin de protéger les dents des effets du bruxisme, doit s’appuyer sur une démarche diagnostique rigoureuse. Celle-ci intègre une anamnèse, l’analyse des signes cliniques (douleurs, bruits, dyscinésie, usures), mais aussi la compréhension du contexte multifactoriel propre à chaque patient.
Concernant les DTM, des critères diagnostiques précis existent (DC/TMD) pour distinguer les atteintes musculaires (myalgies) des atteintes articulaires (arthralgies, déplacements discaux) [1]. L’orthèse occlusale ne sera pas indiquée systématiquement. Conformément aux recommandations [2], pour les DTM douloureux, une approche conservatrice (ré-assurance, éducation, autogestion, kinésithérapie) est à privilégier en première intention. L’orthèse trouve ensuite sa place en cas de persistance des douleurs. L’initiation précoce du traitement semble améliorer le pronostic, notamment pour les douleurs installées depuis moins de 3 mois.
Elle sera également indiquée dans la protection des arcades face au bruxisme avéré, ou encore pour tester une position thérapeutique.
La motivation et la coopération du patient sont des facteurs clés dans la décision.
Quelle orthèse choisir ? Type, matériau et conception
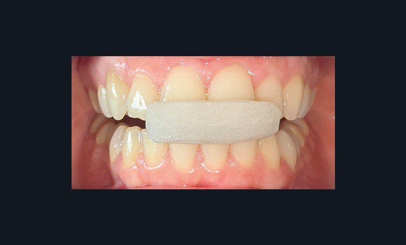
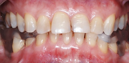
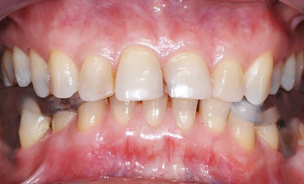
Parmi les différents dispositifs, l’orthèse de reconditionnement musculaire (ORM), équivalent très proche de la gouttière de libération occlusale ou « gouttière Michigan », est la plus indiquée dans les DTM musculo-articulaires et la protection des dents face au bruxisme (fig. 1).
Elle vise à stabiliser les articulations, protéger les dents, redistribuer les forces occlusales et relaxer les muscles [3]. Les recommandations et la littérature plaident pour une orthèse :
- rigide : en résine acrylique dure, ou semi-rigide, les orthèses souples peuvent favoriser le serrement exacerbé et sont impossibles à équilibrer précisément ;
- à recouvrement complet : évite les migrations dentaires.
Remarque : La butée occlusale antérieure (BOA), bien qu’efficace à très court terme (myalgie aiguë), présente des risques (migrations, compression articulaire) à long terme (fig. 2) ;
- lisse : la surface occlusale est lisse ; elle doit présenter des contacts occlusaux ponctuels et simultanés avec l’ensemble des dents antagonistes et un guide antérieur permettant une désocclusion immédiate des dents postérieures lors des mouvements excentrés (fig. 1) ;
- mandibulaire ou maxillaire ? : la mandibule est souvent préférée (proprioception antéro-maxillaire préservée, moins d’interférence linguale). La gouttière maxillaire est pertinente pour les contraintes anatomiques (exemple : Classe II.1) et dans le cas de mobilités dentaires maxillaires pour son effet de contention. L’arcade la plus édentée peut être préférée (stabilité, majoration des points d’occlusion) [3, 4].
Autre type : l’orthèse de décompression. Elle vise à réduire la pression intra-articulaire (troubles intra-articulaires/ostéoarthrose) en créant une « surocclusion postérieure » (fig. 3). Elle est rigide ou semi-rigide, à recouvrement complet [2, 3].
L’orthèse d’antéposition (OAP) ou gouttière d’antéposition (GAP)
L’OAP repositionne la mandibule dans une position antérieure (fig. 4). Elle est indiquée dans le traitement de certains troubles intra-articulaires (déplacement discal réductible symptomatique). Réalisée en résine dure et indentée pour guider et stabiliser la mandibule, l’OAP est confectionnée à la mandibule et ne recouvre que les dents cuspidées afin de préserver la proprioception antérieure utile au guidage et au positionnement mandibulaire [2-4].
Réglages : les clés du succès
L’objectif du réglage d’une ORM est d’obtenir des contacts bilatéraux, simultanés et d’intensité égale, ainsi qu’un guidage antérieur fonctionnel assurant la désocclusion immédiate des secteurs postérieurs lors des mouvements excentrés [4].
Le réglage est effectué à l’aide de papiers marqueurs (8 à 40 µm).
Le protocole sera affiné lors du TP. L’expérience pratique, telle que proposée, où chaque participant réalise sa propre orthèse sur ses modèles, offre un apprentissage kinesthésique irremplaçable pour maîtriser ces ajustements et mieux communiquer avec les patients. La séance aborde également les spécificités du flux numérique pour la réalisation de ces dispositifs.
Conclusion
L’orthèse occlusale demeure un outil précieux pour la prise en charge des DTM et des usures liées au bruxisme, à condition d’être utilisée à bon escient, dans le cadre d’une approche thérapeutique globale et graduée. La maîtrise de sa conception, et de son réglage précis, est déterminante pour son efficacité et son innocuité. Seule une approche didactique combinant connaissances actualisées et mise en pratique permet d’acquérir la confiance et les compétences nécessaires pour optimiser la prise en charge de nos patients.




Commentaires