En mai 2019, un patient d’une trentaine d’années se présente au cabinet. Pendant qu’il expose les motifs qui l’amènent à consulter, nous observons ses multiples tatouages qui tranchent avec son phrasé confus, marque de timidité. Cette phase d’écoute et d’observation est essentielle, indispensable pour apprécier la personnalité du patient, comprendre ses demandes non verbalisées et, in fine, proposer un traitement adapté.
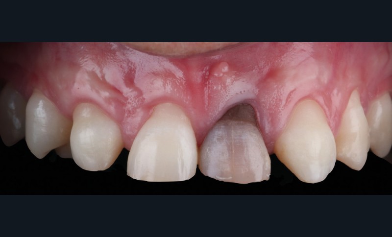
Acte 1 : consultation (fig. 1)
Le patient présente des agénésies génétiques multiples : sur le secteur maxillaire antérieur, il lui manque les deux latérales 12 et 22 ainsi que la canine droite 13 (fig. 1).
De prime abord, nous ne savons que lui proposer. De l’orthodontie ? Le patient vient d’en avoir deux années durant et, à l’évidence, le résultat n’est pas concluant.
Pour cette première séance, nous décidons de ne rien décider. De nous limiter au triptyque photographies-radiographies-empreintes, tout en nous efforçant de cerner précisément ses attentes. En toute transparence, nous lui expliquons qu’un temps de réflexion nous est nécessaire pour déterminer le traitement adapté et trouver une solution [1].
Acte 2 : réflexion et planification (fig. 1 et 2)
Capitale, cette étape s’ouvre par l’observation à différentes échelles.
Celle du visage d’abord, qui met en évidence un décalage des axes importants : la ligne horizontale maxillaire et la ligne bipupillaire sont loin d’être parallèles. La ligne interincisive part en diagonale, induisant un effet largement inesthétique [2].
L’analyse du sourire du patient révèle une difficulté supplémentaire : haute, la ligne du sourire expose les collets et la gencive, ce qui rend le cas complexe.
Au niveau endobuccal sont observés un défaut des proportions dentaires et une dyschromie importante sur 21.
À partir de ces premières observations, la ligne générale du plan de traitement se dégage :
– gestion du parodonte : élongations coronaires de 13 à 24 et épaississements muqueux ciblés ;
– gestion des tissus dentaires : réalisation de céramiques avec modification des formes et de la teinte. Les canines seront transformées en latérales et les premières prémolaires en canines.
Acte 3 : gestion du rose soustractive (fig. 3 et 4)
Le laboratoire réalise d’abord un montage en cire (wax-up) à partir duquel une gouttière thermoformée sera préparée au cabinet. L’emplacement des futures dents, et surtout des futurs collets, est objectivé et nous guidera pour notre élongation coronaire. Cette chirurgie correctrice soustractive débute par une gingivectomie. Les collets une fois alignés, nous réalisons une ostéotomie/ostéoplastie. L’os vestibulaire est resséqué et positionné à 3 mm des futurs collets.
Acte 4 : préparation dentaire et gestion du rose additive (fig. 5 et 6)
À trois mois, les tissus en cours de cicatrisation se stabilisent ; nous passons à la préparation des dents [3].
Au vu des larges plages de cément exposées, nous optons pour une préparation de type couronne sur 53, 11, 21 et 23, afin de privilégier un assemblage prothétique de type scellement. Pour 15, 14, 24 et 25, nous resterons essentiellement dans l’émail et en vestibulaire. Ce choix nous oriente sur une préparation de type facette dont l’assemblage prothétique se fera par collage.
Nous observons que les tissus mous autour de la dent dyschromiée 21 se sont affinés et laissent transparaître le substrat radiculaire [4]. Un épaississement des tissus mous à l’aide d’une greffe de conjonctif s’impose. Dernières retouches également pour la ligne des collets par de petites gingivectomies au bistouri électrique. Des couronnes provisoires, basées sur le nouveau profil d’émergence, sont ensuite posées afin d’obtenir une cicatrisation guidée.
Acte 5 : choix des chapes pour la future stratification (fig. 7 et 8)
Nous faisons face à une double difficulté : il s’agit d’obtenir la similitude entre les deux centrales (dents miroir), mais aussi entre les chapes zircone à sceller sur les quatre couronnes antérieures et les chapes disilicate de lithium à coller en secteur postérieur.
Les chapes choisies doivent être assez translucides pour laisser passer la lumière mais suffisamment opaques pour masquer les défauts des substrats et les différences de préparations dentaires sous-jacentes.
Pour ce faire, nous choisissons, en accord avec le technicien de laboratoire, les techniques et matériaux suivants.
- Pour l’incisive centrale 21 présentant une forte dyschromie (la difficulté majeure du rendu colorimétrique globale finale), deux pièces sont réalisées. Une première chape en zircone LT (light translucidity) a pour but d’harmoniser les substrats, tout en masquant la dyschromie sans que cela ne soit trop opaque et ainsi pouvoir finir sur une limite cervicale, en zircone polie qui puisse s’intégrer de façon esthétique à la zone cervico-gingivale et créer une meilleure attache épithéliale à ce niveau. Pour la chape secondaire 21, notre choix se porte sur un matériau zircone MT1 (middle translucidity), une zircone claire mais néanmoins translucide, apportant, contrairement à un matériau opaque, une diffusion de la lumière et, de ce fait, un rendu naturel.
- Pour les chapes des dents 11, 12, 22 le même matériau (zircon middle translucidity) est choisi, complétant ainsi l’accord de couleur avec la chape 21.
- Pour les armatures facettes 13, 23, 14 et 24, nous optons pour du disilicate (lt bleach 3), ce matériau étant celui qui se rapproche le plus de l’aspect des armatures zircone MT en termes de teinte, de translucidité et de luminosité. Ceci dans un souci d’harmonie des armatures et du résultat final.
Acte 6 : assemblage et résultat (fig. 9 et 10)
Nous assemblons les céramiques selon la technique choisie (scellement pour les couronnes et collage pour les facettes). Le patient est revu à quinze jours pour contrôle de la cicatrisation.
Acte 7 : motivation à l’hygiène et maintenance
Tout travail prothétique doit être complété par une information insistante sur l’importance de l’hygiène et de l’entretien [5].
Une motivation à l’usage quotidien de brossettes interdentaires, soigneusement calibrées aux embrasures, nous semble particulièrement profitable à l’obtention de résultats pérennes.
Conclusion
L’écoute et la compréhension des desiderata des patients, ainsi que notre recadrage en fonction des possibilités techniques, nous permettent de visualiser le cas dans sa finalité.
De cette visualisation, nous pourrons tisser l’histoire du cas à travers un plan de traitement adapté et détaillé puis le séquencer en une multitude d’actes simples.
Ainsi, tout cas complexe est une succession d’actes simples…










Commentaires