Les nouvelles technologies facilitent considérablement le travail du chirurgien et permettent de faire face à d’éventuels échecs [6, 7]. Associées à une technique chirurgicale rigoureuse et précise, à la maîtrise des techniques d’empreinte et de la manipulation du patient quant à l’enregistrement du rapport intermaxillaire, elles peuvent aboutir à d’excellents résultats, c’est-à-dire à la réussite clinique du projet implanto-prothétique.
Ces progrès nécessitent, d’une part de diviser le traitement implanto-prothétique en différentes étapes (pré- et post-chirurgicales) et, d’autre part, d’être extrêmement rigoureux lors de chacune de ces étapes.
La réalisation de la prothèse complète implanto-portée repose sur cinq étapes :
– réalisation de la PAC ;
– planification et prise de décision ;
– phase chirurgicale ;
– réalisation de la prothèse transitoire ;
– réalisation de la prothèse d’usage.
Leur respect rigoureux garantit la qualité du résultat final et la satisfaction du patient.
Cas Clinique
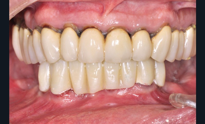
Monsieur C, 60 ans, se présente en consultation pour la réhabilitation prothétique de l’arcade mandibulaire, actuellement réhabilitée de manière provisoire (fig. 1).
L’examen clinique révèle :
– à la mandibule, un bridge provisoire dento-porté reposant sur deux piliers [33, 43] ;
– la présence d’un bridge dento-porté céramo-métallique maxillaire inesthétique. Du fait de l’absence de doléances de la part du patient concernant ce bridge, il est décidé de ne pas y toucher dans un premier temps, car il est cliniquement acceptable en termes de fonction et ne présente pas de symptomatologie ni de foyers infectieux.
Le rapport intermaxillaire est erroné.
Il est décidé de réaliser un bridge implanto-porté mandibulaire grâce à la chirurgie guidée [2, 3, 4, 5, 6, 9], en utilisant un guide stéréolithographique NobelGuide®.
Il est indispensable de…
