Grand Prix éditorial 2025 – Prothèse implanto-portée, le numérique au service de la clinique
3e cas lauréat 2025
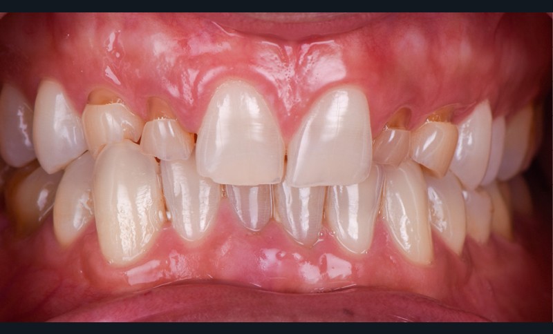
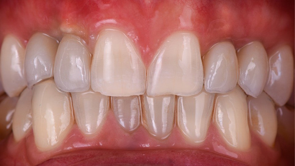
Présentation du cas
Un homme de 38 ans se présente en consultation d’implantologie pour le remplacement de ses 4 dents lactéales 52 53 62 63. Il ne présente pas d’antécédents médicaux, chirurgicaux, pas d’allergie, est non-fumeur. L’analyse clinique, radiologique et préprothétique fait apparaître (fig. 1) :
- les agénésies de 12 13 22 23 46 ;
- des usures marquées des bords libres des dents lactéales ;
- une égression compensatrice de certaines dents antérieures mandibulaires ;
- un parodonte sain et épais.
Les solutions retenues sur le plan thérapeutique sont les suivantes :
- extraction de 52 53 62 63 ;
- implantation immédiate sur les sites d’extractions à l’aide d’un guide chirurgical ;
- temporisation à l’aide d’une prothèse amovible partielle (mise en esthétique immédiate non retenue dans ce contexte occlusal d’articulé serré) ;
- améloplastie bloc incisivo-canin et équilibration occlusale (solution orthodontique non retenue par le patient) ;
- réalisation des prothèses d’usages par restauration transvissée associant Ti-base ASA et couronnes zircone.
Cheminement thérapeutique
Une empreinte numérique et un CBCT préopératoire ont permis de planifier la mise en place des implants dans le couloir prothétique idéal via le logiciel RealGuide (fig. 2) et de demander la confection d’un guide chirurgical à appui dentaire. La chirurgie est réalisée selon le protocole suivant :
- anesthésie locale: articaïne 1/200 000’ ;
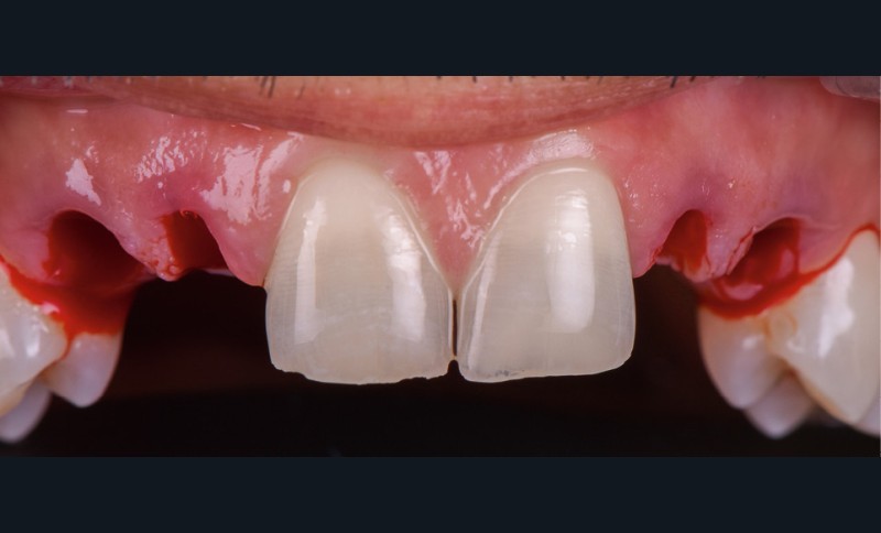
- extraction des dents 52 53 62 63 de manière « atraumatique » (fig. 3) ;
- installation du guide et forage implantaire à travers les canons de forage (fig. 4) ;
- mise en place de 4 implants Primetaper Dentsply (diamètre 3.6/ longueur 13 mm) ;
- vérification du positionnement implantaire et du torque à la clef dynamométrique : 45 Newton ;
- mise en place d’une vis de couverture sur les implants ;
- comblement du gap à l’aide d’un biomatériau combinant hydroxyapatite et trame collagénique (Ossix Bone Dentsply) ;
- dévissage des vis de couvertures ;
- mise en place des vis de cicatrisation (fig. 5) ;
- vérification de l’adaptation de la prothèse amovible partielle évidée en regard des vis (fig. 6).
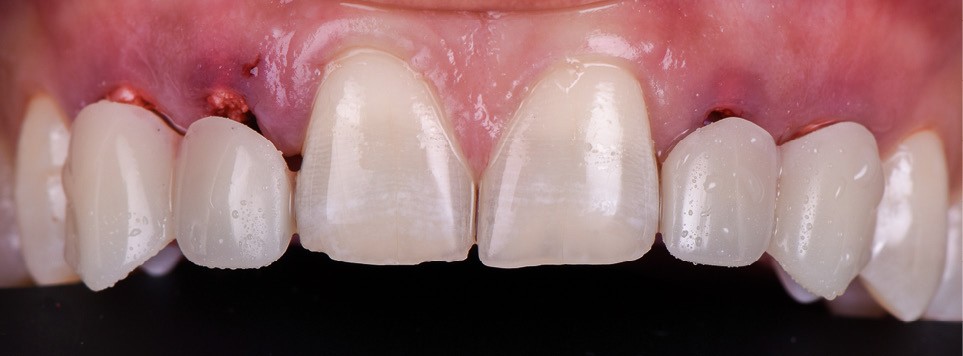
Sur le plan prothétique à 3,5 mois postopératoires :
- réalisation de l’empreinte optique pour enregistrer la position implantaire (Scanbody IOFlO) (fig. 7) ;
- demande d’un wax-up numérique pour validation par le patient (fig. 8) ;
- envoi du fichier numérique au patient et validation de ce dernier ;
- lancement de la production des couronnes d’usage (Laboratoire Genesis Bordeaux) ;
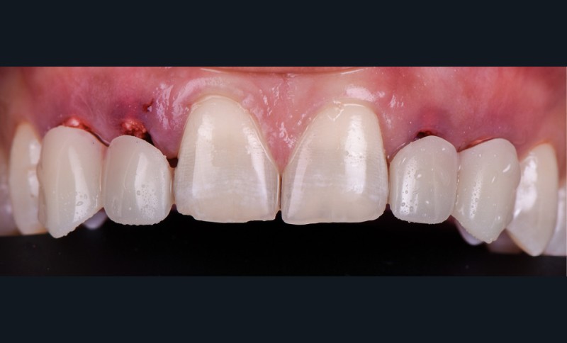
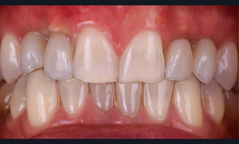
- pose des couronnes d’usage selon le protocole classique (fig. 9 et 10a) ;
- radiographies de contrôle (fig. 10b).
Discussion
Ce cas clinique met en exergue les possibilités grandissantes qu’offre le flux digital dans la prise en charge du secteur antérieur [3]. Ce dernier confère précision et prédictibilité du résultat final, tant pour le praticien (guide chirurgical) que pour le patient (modélisation via un wax-up numérique). L’alliance du numérique et de la chirurgie dans un contexte particulier d’agénésie avec une occlusion perturbée permet de répondre aux doléances fonctionnelles et esthétiques du patient avec une prothèse parfaitement intégrée aux tissus périphériques dentaires et muqueux.











Commentaires