L’architecture gingivale joue un rôle prépondérant dans le succès des traitements en prothèse fixée, biologiquement bien sûr, mais également au niveau esthétique [1, 2].
Lorsque des modifications de cette architecture sont imposées par le projet prothétique, comment mener ces modifications en respectant le projet avec un minimum de risque et un maximum de fidélité ? En effet, ces modifications sont souvent en conflit avec la notion d’espace biologique. L’objectif de cet article est de présenter une approche systématique au travers de cas cliniques associant prothèse fixée et modification de l’architecture gingivale.
Cette approche repose sur :
- une analyse esthétique ;
- la réalisation d’un projet prothétique ;
- la confrontation des objectifs esthétiques aux paramètres biologiques.
Cas n° 1 (fig. 1 à 8)
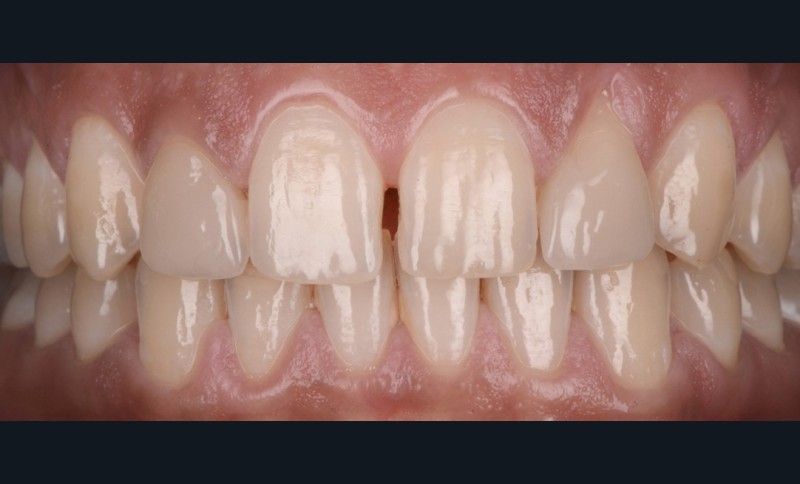
Une patiente est adressée par un orthodontiste pour des doléances esthétiques liées à son diastème. Elle rapporte avoir déjà eu un traitement orthodontique avec une contention fixe, mais celle-ci s’est fracturée et le diastème s’est rouvert.
La patiente craint une nouvelle récidive en cas de deuxième correction orthodontique. Elle rapporte également la présence de facettes céramiques sur 12 et 22 réalisées pour masquer un défaut de forme.
L’analyse esthétique montre notamment (fig. 1 et 2) :
- un ratio des incisives centrales de 78 % ;
- un diastème inter-incisif de 1 mm considéré comme disgracieux par la patiente ;
- un décalage des collets de 12 et 22 ;
- un défaut de teinte des facettes existantes sur 12 et 22.
Afin de valider le résultat esthétique de la correction des diastèmes et du décalage des collets, un mock-up de motivation est réalisé en technique directe (fig. 3).
La patiente valide le projet et le plan de traitement suivant est proposé :
- éclaircissement ;
- modifications…


