Un patient de 81 ans se présente en consultation dans le cadre d’une demande de réhabilitation prothétique mandibulaire. L’anamnèse indique qu’il souffre d’une hypertension artérielle, d’une dyslipidémie et de reflux gastro-œsophagiens dans un contexte général de dépression chronique et de syndrome de Ménière. La recherche d’antécédents révèle une hospitalisation en 2011 pour le traitement urgent d’un accident vasculaire ischémique cérébral sylvien superficiel droit sur sténose carotidienne. Le patient est actuellement traité par antiagrégant plaquettaire (Kardegic® 160 mg/j), inhibiteur de l’angiotensine II (Aprovel® 150 mg/j) et statine (Tahor® 20 mg/j) dans le cadre préventif des récidives d’accident ischémique et de la régulation de la tension artérielle et de la lipidémie. Les reflux gastro-œsophagiens sont traités par un inhibiteur de la pompe à protons (Inexium® 20 mg/j).
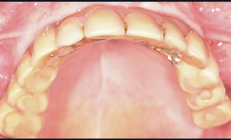
L’examen clinique exo-buccal de face montre une légère dysharmonie des étages moyens et inférieurs de la face et une altération de la dimension verticale (fig. 1). L’examen clinique exo-buccal de profil met en évidence une classe III squelettique dans un contexte d’hypo-divergence [1, 2]. L’examen clinique endo-buccal révèle l’existence d’une réhabilitation totale fixée supra-implantaire au maxillaire nécessitant des manœuvres de maintenance et un édentement mandibulaire subtotal de classe I.1 [3, 4] conservant les dents 33 et 43 (fig. 2). La crête osseuse mandibulaire résiduelle présente une résorption osseuse limitée en hauteur et en largeur, correspondant à une classe topographique 3 [5, 6].
Le patient déclare ne plus porter sa prothèse mandibulaire provisoire depuis plusieurs années et souhaite une solution pérenne pour compenser son édentement mandibulaire sans faire appel à la chirurgie implantaire. Il se déclare néanmoins satisfait de sa réhabilitation…



