Comment échouer dans la réalisation des restaurations en résine composite dans le secteur antérieur ?

  • Par
  • Publié le . Paru dans L'Information Dentaire n°1 - 13 janvier 2026 (page 22-28)
Information dentaire
Réussir une restauration en résine composite dans le secteur antérieur ne relève ni de la chance, ni d’un simple enchaînement de gestes automatiques. C’est une procédure exigeante, guidée par une méthodologie rigoureuse à chaque étape. Pourtant, certains échecs, trop fréquents en pratique, ne sont pas le fruit du hasard, mais celui d’un enchaînement d’erreurs évitables. Dans cet article, nous adoptons un regard volontairement inversé : en montrant « comment échouer » de manière certaine. Nous mettons en lumière les étapes clés qui conditionnent le succès, de l’analyse initiale à la finition. Comme un pilote suit sa check-list pour garantir la sécurité de son vol, le praticien, durant la réalisation de sa thérapeutique, se doit de respecter scrupuleusement chaque phase pour espérer un résultat à la fois esthétique, fonctionnel et durable [1].

En inversant par analogie le célèbre principe d’Adam Smith, philosophe et économiste écossais, selon lequel plus le travail est divisé, plus sa productivité augmente – « Dans chaque art, la division du travail, aussi loin qu’elle peut y être portée, donne lieu à un accroisement proportionnel dans la puissance productive du travail » – [2], on pourrait dire, à l’inverse, que l’imprudence conduit à une répartition anarchique des tâches… et mène droit à l’échec !

Il est tentant de penser qu’une restauration en résine composite dans le secteur antérieur ne demande que des gestes simples, mécaniques, sans réelle réflexion. Pour ceux qui souhaitent sciemment compromettre le résultat final, il suffit de s’affranchir de toute méthode rigoureuse et de négliger les fondements techniques et scientifiques.

Cet article propose, en suivant le principe de décomposition, un mode d’emploi pour échouer systématiquement dans la réalisation de ce type de restaurations…
Nous verrons comment une succession d’erreurs, même mineures, peut transformer une procédure en apparence complexe (mais en réalité composée d’étapes simples et ordonnées [3]) en un véritable fiasco, tant sur le plan esthétique que fonctionnel.

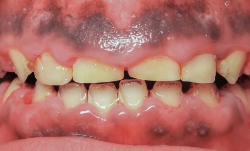
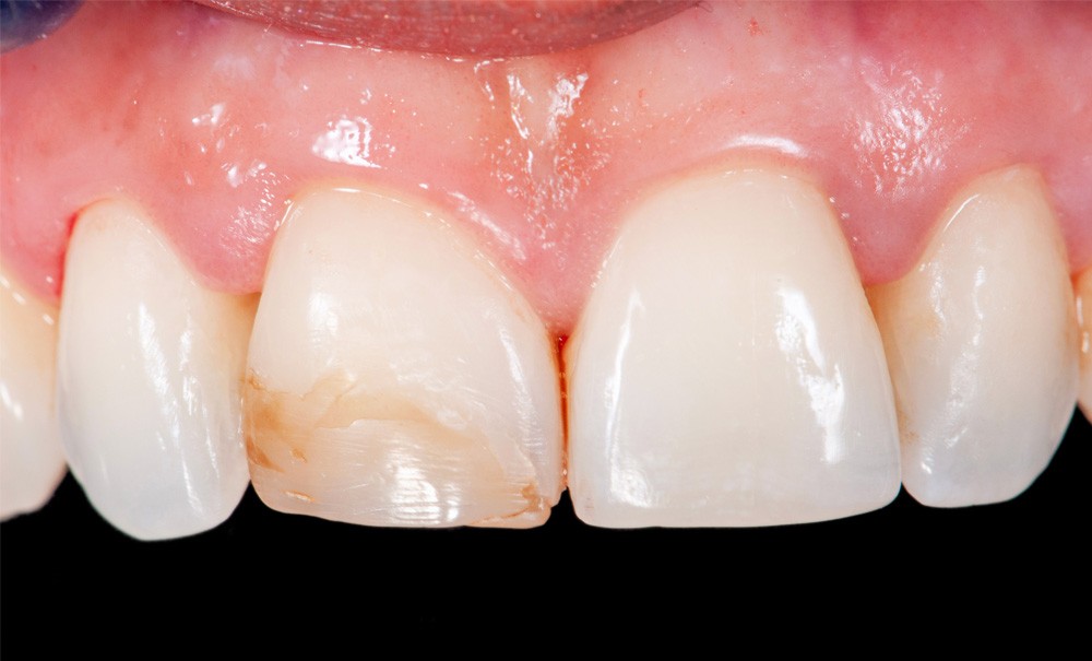
Pour garantir le succès d’une restauration directe aux résines composites dans le secteur antérieur, il convient de suivre une procédure stricte [4] (fig. 1) :

  • analyse et relevé de la couleur, des formes et textures [5, 6] ;
  • isolation des dents avec un champ opératoire étanche [7] ;
  • conditionnement tissulaire des surfaces dentaires à restaurer après avoir éventuellement déposé d’anciennes restaurations inadaptées [8] ;
  • stratification des différents incréments de résines composites amélo-dentinaires, associés aux masses effets afin d’imiter les dimensions colorimétriques observées [9] ;
  • étape cruciale des finitions (contourage, macro/micro-anatomies, polissage…

Cet article est réservé aux abonnés.
Pour lire la suite :

Vous êtes abonné.e ? Connectez-vous
Mot de passe
oublié ?

Vous pouvez également :

Acheter l'article En version numérique
Acheter le numéro À l'unité

Thèmes abordés

Sur le même sujet

Odontologie restauratrice

Article réservé à nos abonnés Réhabilitation fonctionnelle et esthétique d’une amélogenèse imparfaite hypoplasique

L’amélogenèse imparfaite (AI) constitue un ensemble de pathologies génétiques rares affectant la formation de l’émail, avec une prévalence estimée à...
Odontologie restauratrice

Article réservé à nos abonnés Réfection d’un bridge de type Rochette par un bridge collé cantilever antérieur en disilicate de lithium

Les bridges collés en cantilever, à la lumière du travail des pionniers, le Pr Mathias Kern de l’université de Kiel...
Odontologie restauratrice

Article réservé à nos abonnés Risque de récidive orthodontique et bridge cantilever : quid de la contention ?

La proportion de patients présentant une ou des agénésies d’incisives latérales maxillaires est fréquente, touchant environ 4,6 % des hommes et...
Odontologie restauratrice

Article réservé à nos abonnés Les bridges collés cantilevers en céramique antérieurs à l’épreuve du temps

L’édentement unitaire du secteur antérieur constitue l’une des situations cliniques parmi les plus délicates à prendre en charge, tant sur...
Odontologie restauratrice

Article réservé à nos abonnés Réhabilitations postérieures minimalement invasives : complémentarité entre bridges collés cantilevers en céramique et implants

En France, la géométrie des cantilevers en céramique a d’abord été formalisée et diffusée dans le secteur antérieur par les...
Odontologie restauratrice

Article réservé à nos abonnés Évolution des lampes à photopolymériser couplées aux outils de diagnostic en dentisterie restauratrice

Depuis plusieurs décennies, la dentisterie restauratrice connaît un essor considérable grâce aux progrès des matériaux composites et des sources lumineuses...