De l’hypersensibilité à la stabilité : une situation mucogingivale

  • Par
  • Publié le . Paru dans Parodontologie Implantologie Orale, un nouveau regard n°4 - 15 novembre 2025 (page 60-63)
Information dentaire

Cas clinique

Une patiente âgée de 34 ans, ne présentant aucune pathologie systémique connue et sans antécédents de tabagisme, consulte pour une hypersensibilité dentaire localisée au niveau des incisives inférieures. Elle décrit une douleur aiguë et transitoire au contact de boissons froides ainsi qu’un inconfort lors du brossage.

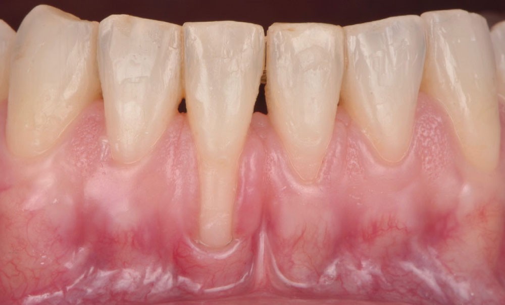
L’examen clinique révèle la présence de récessions gingivales vestibulaires affectant les dents 3.1 et 4.1 (fig. 1a). Selon la classification de Cairo, il s’agit de récessions de type RT2, caractérisées par une perte d’attache interproximale inférieure à la perte d’attache vestibulaire [1]. La ligne amélo-cémentaire (LAC) est identifiable (A) sans perte de substance dentaire (-) [2].

L’analyse du phénotype parodontal met en évidence une gencive fine et transparente (phénotype fin), associée à une bande kératinisée réduite, voire absente. Le sondage parodontal confirme la stabilité du parodonte. La récession la plus profonde, observée sur la dent 4.1, mesure 6 mm (fig. 1b).

Objectifs thérapeutiques

Dans un premier temps, des mesures conservatrices ont été instaurées, incluant une correction de la technique de brossage et l’utilisation quotidienne d’un dentifrice désensibilisant. Une nette amélioration est observée, bien que les symptômes persistent. En conséquence, le plan thérapeutique retenu repose sur une approche chirurgicale combinant un tunnel fermé latéralement et avancé coronairement associé à un greffon de tissu conjonctif enfoui. L’objectif principal est d’obtenir un recouvrement radiculaire complet et le renforcement du phénotype gingival, selon la technique initialement décrite par Azzi & Etienne (1998) [3], puis modifiée par Aroca et al. (2010) [4] et Sculean et al. (2021) [5].

Sous anesthésie locale, des incisions intrasulculaires légèrement biseautées sont pratiquées au niveau des dents concernées et prolongées d’une dent mésiale et…

Cet article est réservé aux abonnés.
Pour lire la suite :

Vous êtes abonné.e ? Connectez-vous
Mot de passe
oublié ?

Vous pouvez également :

Acheter l'article En version numérique
Acheter le numéro À l'unité

Thèmes abordés

Sur le même sujet

Implantologie chirurgicale

Article réservé à nos abonnés Rencontre avec Pierre Keller :
gestion des tissus mous péri-implantaires

Responsable de séance : Franck Afota Extraction–implantation immédiate (EII) : volumes osseux et gingivaux suffisants Lorsque les volumes osseux et gingivaux sont...
Implantologie Implantologie chirurgicale

Article réservé à nos abonnés Gestion d’un défaut de cicatrisation du plancher sinusien à l’aide d’une membrane en magnésium : rapport de cas

L’élévation sinusienne par voie latérale est une technique fréquemment utilisée en implantologie pour compenser une perte osseuse verticale au niveau...
Implantologie chirurgicale

Article réservé à nos abonnés Récessions, hypersensibilité dentinaire et impact sur la qualité de vie

Cas clinique Une patiente vient consulter en raison de douleurs dentaires diffuses qui s’intensifient au brossage. Gênée par des récessions...
Implantologie chirurgicale

Article réservé à nos abonnés L’efficacité des brossettes interdentaires
Optimisation de la prescription pour une meilleure hygiène parodontale

Contexte L’implication quotidienne du patient dans le contrôle de plaque conditionne sa santé parodontale et contribue à une bonne santé...
Implantologie chirurgicale

Article réservé à nos abonnés Implantation immédiate et pilier personnalisé : une solution face à l’absence de stabilité primaire

Dans un monde où la rapidité et l’efficacité sont des attentes croissantes, l’implantologie immédiate se positionne comme une solution attrayante,...
Implantologie chirurgicale

Article réservé à nos abonnés La chirurgie implantaire dynamique

Nous assistons aujourd’hui à une transformation numérique profonde de nombreux domaines, bouleversant les pratiques traditionnelles et introduisant des protocoles plus...