Formation - Implantologie chirurgicale

Implantologie chirurgicale

Article réservé à nos abonnés L’efficacité des brossettes interdentaires
Optimisation de la prescription pour une meilleure hygiène parodontale

Contexte L’implication quotidienne du patient dans le contrôle de plaque conditionne sa santé parodontale et contribue à une bonne santé...
Implantologie chirurgicale

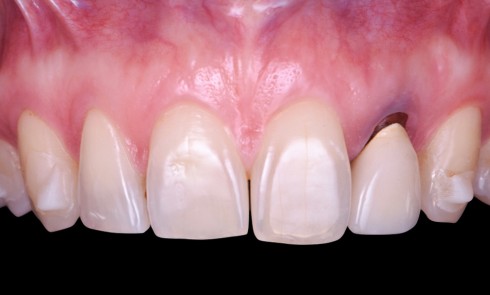
Article réservé à nos abonnés Implantation immédiate et pilier personnalisé : une solution face à l’absence de stabilité primaire

Dans un monde où la rapidité et l’efficacité sont des attentes croissantes, l’implantologie immédiate se positionne comme une solution attrayante,...
Implantologie chirurgicale

Article réservé à nos abonnés La chirurgie implantaire dynamique

Nous assistons aujourd’hui à une transformation numérique profonde de nombreux domaines, bouleversant les pratiques traditionnelles et introduisant des protocoles plus...
Implantologie chirurgicale

Article réservé à nos abonnés Greffe osseuse guidée dans la gestion des échecs implantaires

Du projet prothétique à la reconstruction osseuse guidée Un positionnement implantaire inadapté peut compromettre le rendu esthétique et empêcher une...
Implantologie chirurgicale

Article réservé à nos abonnés Réhabilitation immédiate du maxillaire atrophié

La prise en charge prothétique des maxillaires édentés à forte résorption osseuse présente des contraintes chirurgicales majeures. Dans les zones...
Implantologie chirurgicale

Article réservé à nos abonnés Réhabilitations totales sur implants. Un protocole numérique hybride optimisé, mis à l’épreuve

Réhabiliter une arcade complète par des implants exige une planification prothétique et chirurgicale parfois complexe ainsi qu’une retranscription clinique du...
Implantologie chirurgicale

Article réservé à nos abonnés Reconstructions osseuses par blocs osseux autogènes guidés et prélèvement navigué

La chirurgie implantaire nécessite fréquemment des procédures de greffe osseuse pour pallier les déficits volumétriques et permettre un positionnement idéal...
Implantologie chirurgicale

Article réservé à nos abonnés Chirurgie guidée dynamique : un seul objectif, plusieurs protocoles
Éléments de choix

Principes de fonctionnement Les guides statiques, faisant partie des techniques de robotique semi-active, se présentent sous la forme de gouttières...
Implantologie chirurgicale

Article réservé à nos abonnés Précision, sécurité et efficacité : retour d’expérience sur dix ans de chirurgie guidée

Pourquoi le virage vers la chirurgie guidée ? À ses débuts dans les années 2000, la chirurgie guidée (CG) reposait...
Implantologie, Implantologie chirurgicale

Article réservé à nos abonnés Traitement des péri-implantites : quelles solutions ?

Quelles sont les conditions pathologiques péri-implantaires ? La santé des tissus péri-implantaires Elle se définit par défaut, se traduit cliniquement...
Implantologie chirurgicale

Article réservé à nos abonnés Apport du concept Kloppins dans la stabilisation de la ROG

En termes de biologie osseuse, nous savons aujourd’hui que la stabilité de l’implant à long terme nécessite que le volume...
Implantologie chirurgicale

Article réservé à nos abonnés Wall technique et autres techniques de renfort conjonctif : une approche mucogingivale de la régénération parodontale

Une technique mucogingivale au service de la régénération parodontale Les lésions infra-osseuses (LIO) et les récessions gingivales (RG) sont deux types...
Implantologie, Implantologie chirurgicale

Article réservé à nos abonnés Prévention et gestion des déhiscences des tissus mous péri-implantaires : un défi esthétique

Les implants dentaires sont une option efficace et fiable pour remplacer des dents absentes [1, 2]. L’état des tissus mous...
Implantologie, Implantologie chirurgicale

Article réservé à nos abonnés Comblement sinusien : le matériau fait-il la différence ?

Les types de matériaux les plus courants pour la réalisation de greffes osseuses en chirurgie orale sont l’os d’origine autogène,...
Implantologie, Implantologie chirurgicale

Article réservé à nos abonnés Ma première chirurgie implantaire : maîtrise des facteurs humains et organisationnels

La chirurgie implantaire est aujourd’hui une procédure courante en odontologie, offrant une solution de réhabilitation fonctionnelle et esthétique aux patients...
Implantologie, Implantologie chirurgicale

Article réservé à nos abonnés Reconstructions postérieures mandibulaires : ROG, tissu kératinisé et prothèse

Grand Prix éditorial 2024 – implantologie, gérer le temps et la biologie 2e cas lauréat 2024 En présence d’une crête...