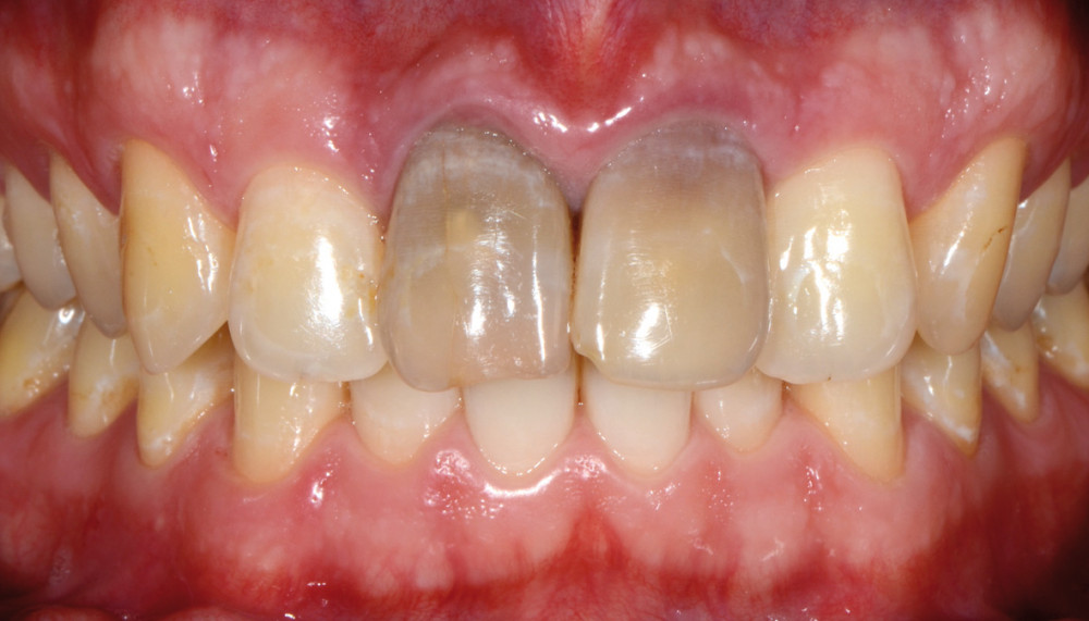
Eclaircissement et consolidation d’une dent dépulpée antérieure dyschromiée

  • Par
  • Publié le . Paru dans Réalités Cliniques n°3 - 15 septembre 2013 (page 199-204)
Information dentaire

L’éclaircissement interne est une technique simple qui permet de résoudre le problème de la couleur dans un grand nombre de dents dyschromiées. De plus, cette technique s’inscrit parfaitement dans la tendance actuelle de conservation et de respect des tissus dentaires. La simplicité apparente de ce traitement ne doit pas faire oublier la rigueur des différentes étapes qui se succèdent. Les résultats obtenus sont très convaincants et la maintenance de ces traitements doit être assurée par une obturation coronaire de qualité. Le caractère temporaire de ces traitements reste un point essentiel qu’il est important de connaître pour donner une information éclairée à notre patient.

Cet article est réservé aux abonnés.
Pour lire la suite :

Vous êtes abonné.e ? Connectez-vous
Mot de passe
oublié ?

Vous pouvez également :

Acheter l'article En version numérique
Acheter le numéro À l'unité

Thèmes abordés

Sur le même sujet

Esthétique

Article réservé à nos abonnés Réhabilitation esthétique et fonctionnelle d’un patient présentant une oligodontie

Présentation de la situation clinique Le patient est un adolescent de 15 ans, présentant une oligodontie d’origine non syndromique [1,2]....
Esthétique

Article réservé à nos abonnés Prise en charge de l’usure dentaire sévère

Situation initiale Un patient âgé de 85 ans, se présente pour une consultation de suivi. Il ne présente aucun antécédent...
Esthétique

Article réservé à nos abonnés Pronostic du résultat colorimétrique obtenu post-éclaircissement des dents vitales : Le Coefficient Potentiel d’Éclaircissement CPE – PARTIE 3

L’éclaircissement dentaire constitue l’un des traitements esthétiques les plus demandés en pratique clinique [1]. Cet intérêt croissant se reflète dans...
Esthétique

Article réservé à nos abonnés Éclaircissement dentaire sans empreinte. Une pratique moderne portée par l’assistant(e) dentaire

L’éclaircissement dentaire peut être réalisé à domicile (technique ambulatoire) à l’aide de gouttières porte-gel sur mesure fabriquées après prise d’empreinte...
Esthétique

Article réservé à nos abonnés Le collage des facettes : protocole et astuces

Responsable de séance : Romain Cheron Opérateur : Anthony Atlan Conférencier : Maxime Drossart Planification et préparation du cas clinique Une patiente consulte...
Esthétique

Article réservé à nos abonnés Production des aligneurs au cabinet

Le flux de production au cabinet Le flux de travail (fig. 1) commence par une empreinte optique réalisée à l’aide d’un...