Quelles sont les formes cliniques ?
Érythroplasie isolée : elle se caractérise par une macule (fig. 2a), une plage (fig. 2b), une plaque (fig. 2c) limitée sans cause évidente.
Érythroplasie associée à un lichen oral : elle se caractérise par des lésions kératinisées plus ou moins réticulées ou sous forme de plages et plaques associées à une macule, plage, plaque érythémateuse bien limitée (fig. 3).
Érythroplasie associée à une leucoplasie (érythro-leucoplasie) : il s’agit d’une lésion rouge bien limitée associée à une lésion kératinisée à potentiel malin (fig. 4).
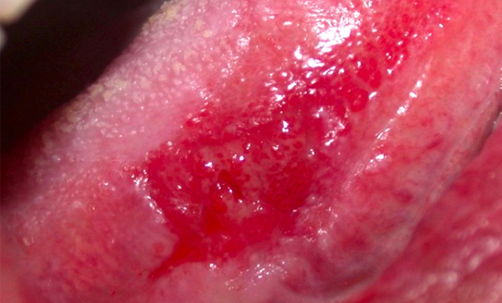
Érythroplasie associée à une ulcération : il s’agit le plus souvent d’un carcinome épidermoïde (fig. 5).
Érythroplasie associée à une tuméfaction : il s’agit d’un carcinome épidermoïde (fig. 6).
Quelle est la symptomatologie ?
L’érythroplasie isolée et l’érythroplasie associée à une leucoplasie sont le plus souvent révélées par une gêne muqueuse mineure chez un patient consommant du tabac (fumé ou non) et/ou de l’alcool et/ou du bétel mais peut aussi survenir sans facteur de risque exogène.
L’érythroplasie associée à un lichen oral survient le plus souvent sur un lichen ancien, inflammatoire et douloureux.
Comment poser un diagnostic ?
Diagnostic clinique de « coup d’œil » à confirmer systématiquement par un examen anatomopathologique à la recherche d’une dysplasie.
La biopsie révèle souvent un carcinome in situ ou micro invasif.
Quelle est la prise en charge ?
Réaliser une biopsie en première intention.
Réaliser l’exérèse complète en deuxième intention si une dysplasie est révélée par la biopsie.
Des marges d’exérèse sont souhaitables en cas de dysplasie sévère sur la biopsie initiale.
Demander…








