L’inlay-core soumis au principe de la dentisterie fondée sur les preuves

  • Par
  • Publié le . Paru dans L'Information Dentaire n°4 - 15 décembre 2025 (page 86-101)
Information dentaire
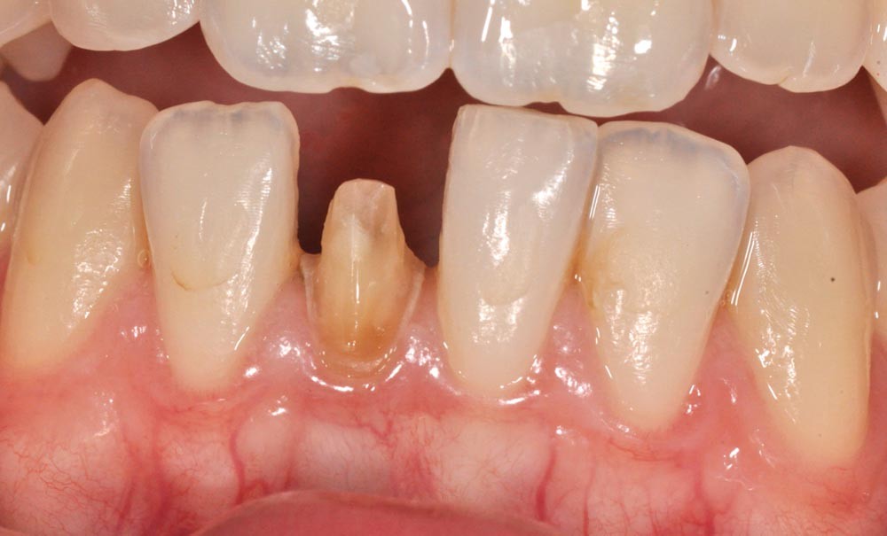
L’indication d’un inlay-core est-elle encore d’actualité ? Les problématiques d’indications identifiées pour les restaurations corono-radiculaires (RCR) concernent leur résistance mécanique intrinsèque, leur impact sur la résistance de la dent, leur rétention ou adhésion, leur résistance à la dégradation, leur biocompatibilité. La comparaison des caractéristiques de l’inlay-core par rapport à celles des RCR directes associant résine et tenon fibré révèle que les deux systèmes présentent des qualités différentes et des exigences de mise en œuvre spécifiques. L’étude de la littérature sur laquelle repose le principe de dentisterie fondée sur les preuves montre des limites contextuelles aux résultats des études expérimentales. La synthèse de cinq revues systématiques de littérature avec méta-analyse montre qu’au plus haut niveau de preuve scientifique, les inlay-cores constituent toujours une thérapeutique cliniquement fiable avec des qualités spécifiques et un taux de succès au moins aussi élevé que les RCR directes. Ils sont toujours indiqués dans un domaine d’indication clinique spécifique qui considère tout de même le principe d’économie tissulaire.

Avec les progrès de la dentisterie adhésive et mini-invasive, des matériaux polymères, des techniques de collage, avec l’évolution des consciences en faveur d’une dentisterie plus conservatrice vis-à-vis des tissus dentaires, plus adhésive et donc moins « mécanique », le recours à un système d’ancrage radiculaire métallique tel que l’inlay-core est-il encore d’actualité ? Parce qu’elle confronte une évolution des paradigmes, voire parfois une idéologie, en faveur des techniques adhésives réputées conservatrices à une option thérapeutique encore très largement pratiquée par une grande majorité de praticiens pour soutenir les restaurations corono-périphériques (RCP, couronnes prothétiques), l’actualité de cette question ne fait pas débat. En revanche, sa réponse ne fait encore l’objet d’aucun consensus ni chez les praticiens ni chez les enseignants-chercheurs ou chez ceux que l’on considère comme des leaders d’opinions. La question continue donc d’alimenter les programmes des congrès ou des revues odontologiques. Pour essayer de dégager des arguments concrets et d’y apporter des réponses les plus objectives possibles, nous avons décidé de nous tourner vers le principe de la dentisterie fondée sur les preuves. Initié par Archie Cochrane en 1972, le concept de médecine fondée sur les preuves ne fut reconnu comme base d’enseignement médical qu’en 1992. Il fut appliqué à la dentisterie en 1995 pour s’y généraliser à partir des années 2000. Son principe, tel que défini par la très influente Association Dentaire Américaine (ADA), consiste à rationaliser et à sécuriser les prises de décisions thérapeutiques et les pratiques en s’appuyant principalement sur les résultats des recherches ou d’études scientifiques, mais en y intégrant aussi l’expérience clinique du praticien, les besoins de traitement du patient et ses préférences. Sur cette base, l’objectif principal de cet…

Cet article est réservé aux abonnés.
Pour lire la suite :

Vous êtes abonné.e ? Connectez-vous
Mot de passe
oublié ?

Vous pouvez également :

Acheter l'article En version numérique
Acheter le numéro À l'unité

Thèmes abordés

Sur le même sujet

Odontologie restauratrice

Article réservé à nos abonnés Prévention de la carie : Réévaluer le bénéfice-risque des fluorures dans une approche fondée sur les preuves

Les ions fluorures constituent un élément trace non essentiel dont le rôle prophylactique contre la carie repose sur trois mécanismes...
Odontologie restauratrice

Article réservé à nos abonnés L’élongation coronaire esthétique à l’ère du numérique

L’analyse esthétique du sourire constitue une étape déterminante dans la planification d’un traitement du secteur antérieur. L’équilibre entre la composante...
Odontologie restauratrice

Article réservé à nos abonnés Recul clinique et vieillissement des restaurations esthétiques
Entre science et réalité

L’expérience du praticien : un apprentissage sur plusieurs décennies Après plus de trente ans de pratique clinique, une certitude s’impose à...
Odontologie restauratrice

Article réservé à nos abonnés Prise en charge thérapeutique des usures sévères par méthodes indirectes

L’usure dentaire est un phénomène multifactoriel, progressif et irréversible, résultant de la perte des tissus durs de la dent en...
Odontologie restauratrice

Article réservé à nos abonnés Restauration directe des lésions d’usure érosive : stratégies cliniques pour une prise en charge efficiente

Diagnostic et indications des restaurations directes L’érosion dentaire se caractérise par une dégradation progressive des tissus dentaires en lien avec...
Odontologie restauratrice

Article réservé à nos abonnés L’usure dentaire à l’épreuve des algorithmes : prédire, prévenir, reconstruire

Récemment, des approches par IA ont permis de détecter l’usure dentaire à partir de simples photographies intra-orales [2]. La méthode...