Responsable de séance : Romain Cheron
Opérateur : Anthony Atlan
Conférencier : Maxime Drossart
Planification et préparation du cas clinique
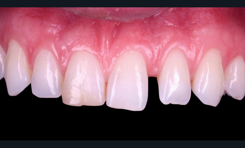
Une patiente consulte pour une doléance esthétique par rapport à la forme de ses dents et à la présence de diastèmes antérieurs. Elle rapporte un diastème récidivant entre 21 et 22 (fig. 1). L’analyse initiale montre qu’une fermeture du diastème par composite seul conduirait à une dissymétrie esthétique.
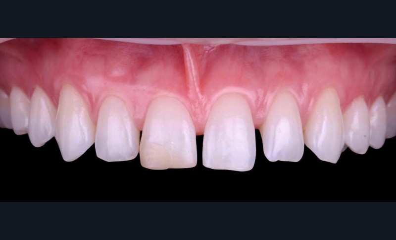
La planification esthétique repose sur une modélisation numérique 2D/3D avec un logiciel d’analyse du sourire, intégrant des masques dento-gingivaux pour définir l’harmonie du sourire, anticiper les écueils cliniques (profil d’émergence, retouche gingivale) et valider le projet par une prévisualisation photoréaliste. Le wax-up virtuel, imprimé puis validé en bouche par un mock-up, met en évidence qu’une fermeture directe du diastème par facette induirait un porte-à-faux, un profil d’émergence défavorable et une zone difficilement nettoyable. Pour optimiser la situation clinique tout en limitant les préparations, une solution orthodontique simplifiée a été retenue (fig. 2).
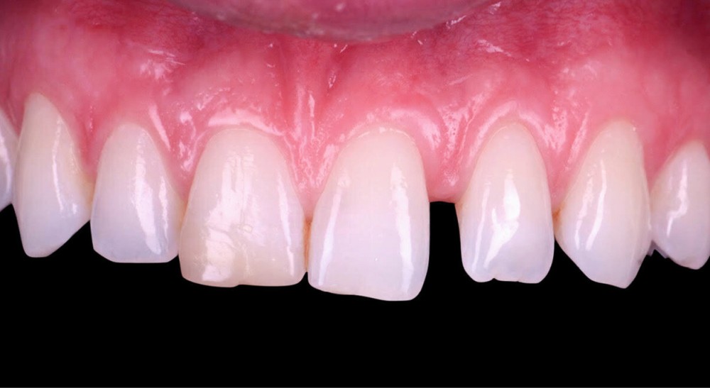
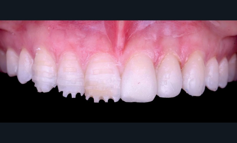
Une fois le déplacement dentaire stabilisé, les préparations sont réalisées a minima à travers le mock-up (fig. 3).
Les empreintes sont réalisées majoritairement en numérique par le praticien. Il a recours à des empreintes physico-chimiques, en complément, en cas de limites profondes ou de proximité des préparations.
Étapes préliminaires avant collage
Les facettes provisoires en PMMA, ici scellées à l’oxyphosphate de zinc, sont retirées avec précaution à l’aide d’une pince hémostatique, en appui sur le bord libre et la zone cervicale, par un mouvement de rotation vers le vestibule. Les excès de ciment sont éliminés aux ultrasons. Une anesthésie palatine est privilégiée pour le confort sans altérer…


