Quelles sont les 7 formes cliniques des épulis ?
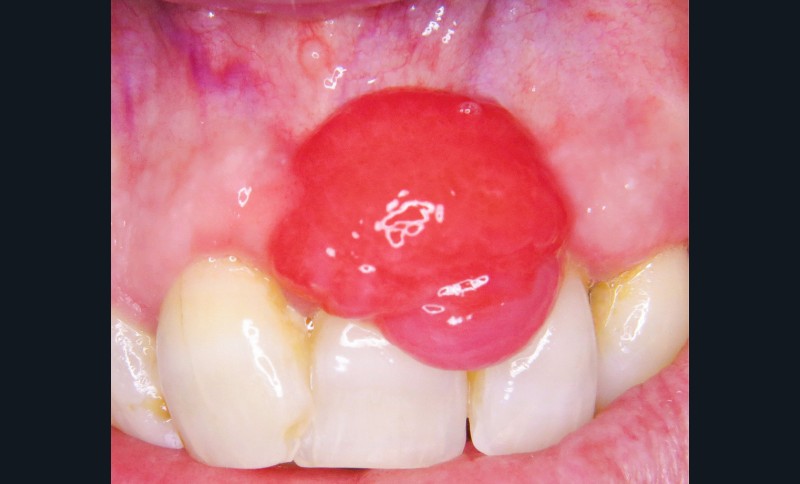
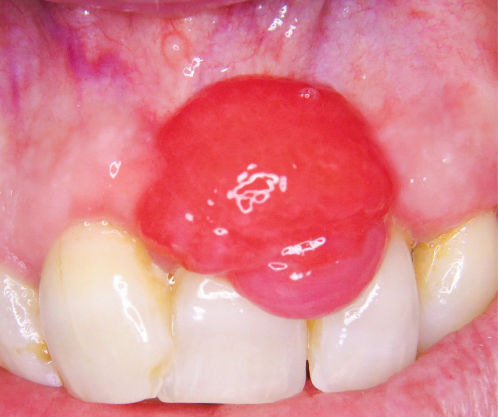
1. Épulis inflammatoire (plasmocytaire)
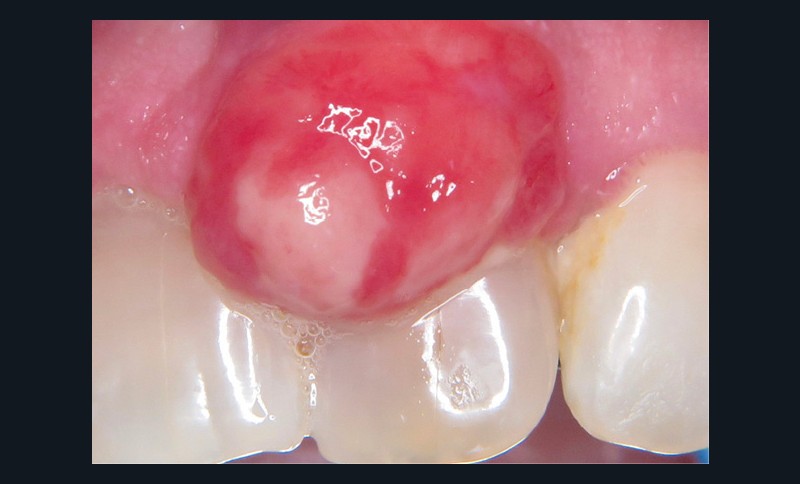
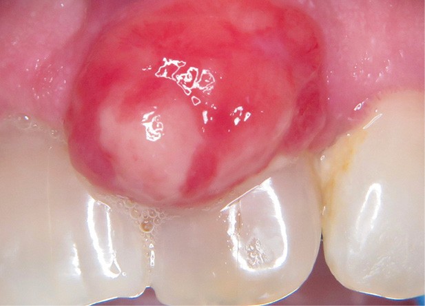
- Nodule indolore, pédiculé, érythémateux, parfois ulcéré (fig. 1a).
- Forme gravidique fréquente au 2e et 3e trimestres (fig. 1b). Favorisée par l’augmentation du taux de progestérone, œstrogènes, prostaglandines entraînant une vasodilatation.
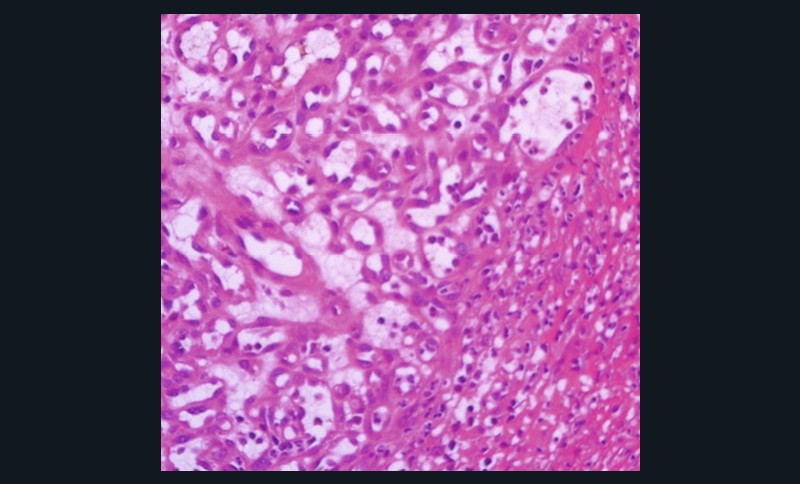
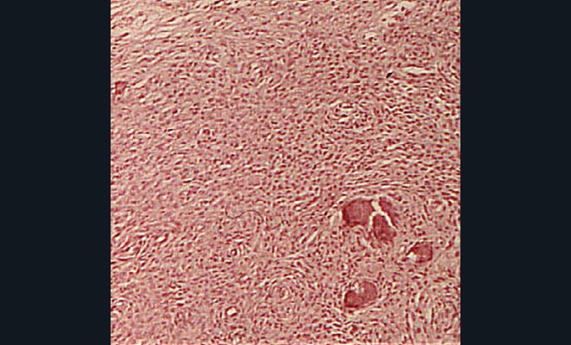
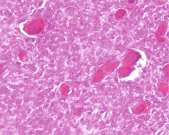
- Histologie : tissu conjonctif richement vascularisé + infiltrat massif de plasmocytes (fig. 1c).
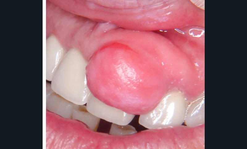
2. Épulis fibreux
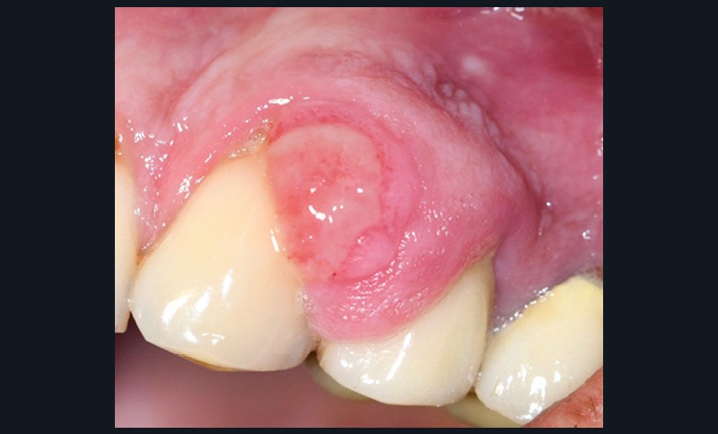
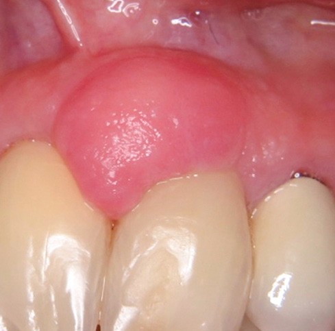
- Nodule ferme, muqueuse de couleur normale (fig. 2a et b).
- Stade évolutif tardif de la forme inflammatoire.
- Histologie : collagène abondant, vascularisation réduite, infiltrat discret. Il peut s’agir d’une forme transitionnelle avec épulis fibroblastique ulcéré calcifiant. On observe alors des fibroblastes nombreux, moins de collagène, possible métaplasie osseuse (fig. 2c).
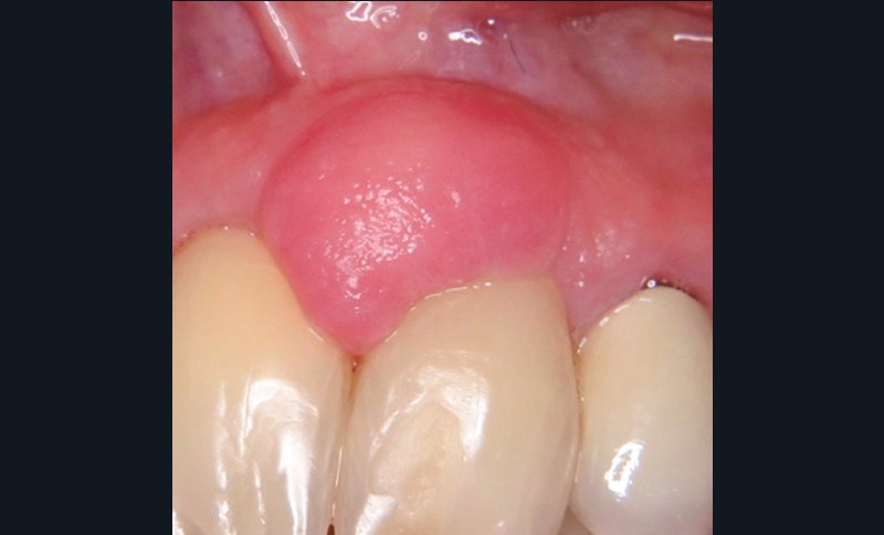
3. Épulis fibroblastique ulcéré calcifiant/ossifiant également appelé fibrome ossifiant périphérique.
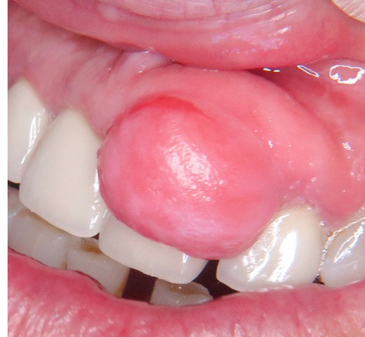
- Lésion souvent ulcérée, présentant un risque de récidive (fig. 3a et b).
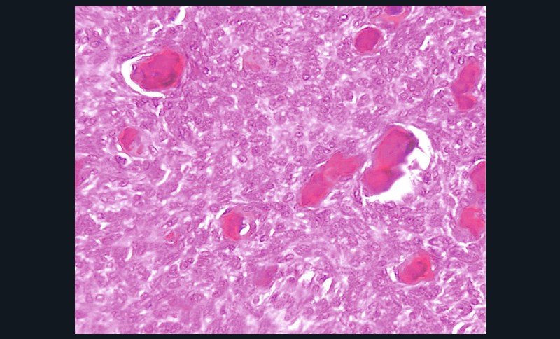
- Histologie : ulcération recouvrant une zone inflammatoire polymorphe associée à une zone fibreuse contenant de petites calcifications plus ou moins associées à de l’os trabéculaire métaplasique, parfois bordées d’ostéoclastes (fig. 3c).
4. Épulis postextractionnel
- Granulome intra-alvéolaire à la suite d’une avulsion dentaire (fig. 4a et b).
- Absence de cicatrisation spontanée.
5. Épulis fissuratum (hyperplasie fibro-épithéliale sous-prothétique)
- Réaction hyperplasique due à une prothèse amovible mal adaptée (fig. 5a et b).
- Localisation vestibulaire, formant un ou plusieurs bourrelets fibreux parallèles à la crête alvéolaire.
- Favorisée par la résorption osseuse chez le sujet âgé.
[gallery…










