Les prothèses amovibles partielles métalliques sont-elles traumatisantes pour les dents supports ?

  • Par
  • Publié le . Paru dans Stratégie Prothétique n°1 - 28 février 2014 (page 55-58)
Information dentaire
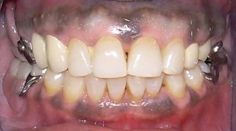
Comment suivre et évaluer le devenir des dents supports de prothèses amovibles partielles ? Y a-t-il une différence significative de reprises de caries entre les dents porteuses de crochets et les autres dents ?

En raison de l’augmentation de l’espérance de vie, la proportion de la population partiellement édentée est plus importante (1). Plusieurs solutions thérapeutiques permettent de compenser les pertes dentaires : la prothèse amovible partielle, la prothèse fixée, la prothèse implanto-portée. Les indications de la prothèse fixée concernent des édentements, le plus souvent de faibles étendues, bordés par des dents

d’indices parodontaux élevés. L’implantologie nous offre la possibilité de réaliser de la prothèse fixée dans des conditions où seule la prothèse amovible pouvait être envisagée auparavant. Cependant, elle demande un investissement important tant financier que temporel et présente des contre-indications d’ordre général et local, en particulier lors

de perte osseuse importante. À ce titre, la prothèse amovible partielle demeure indiquée dans de multiples cas d’édentement.

Cependant, certains auteurs (2, 3, 4) relèvent à moyen terme, une survenue accrue de problèmes parodontaux, carieux ou de fractures sur les dents supports de crochets. Le contrôle permanent et la prévention sont donc nécessaires. Pour cette raison, un suivi et une évaluation des dents supports de prothèses amovibles partielles métalliques (PAPM) deux ans après leur pose ont été réalisés dans le service de prothèse du département d’odontologie de Dakar.

POPULATION ÉTUDIÉE ET MÉTHODE D’ÉVALUATION

Il s’agit d’une étude de suivi réalisée auprès de patients réhabilités par une PAPM au niveau de la clinique de prothèse du département d’odontologie de Faculté de médecine, de pharmacie et d’odontologie de Dakar, Sénégal. Tous les patients porteurs de PAPM, conçues et réalisées entre 1996 et 2009 ont été inclus dans cette évaluation. Un total de 47 patients a été répertorié à partir des dossiers du service. Parmi ces patients, dix-huit n’ont pas pu être contactés en raison de renseignements incomplets…

Cet article est réservé aux abonnés.
Pour lire la suite :

Vous êtes abonné.e ? Connectez-vous
Mot de passe
oublié ?

Vous pouvez également :

Acheter l'article En version numérique
Acheter le numéro À l'unité

Thèmes abordés

Sur le même sujet

Prothèse

Article réservé à nos abonnés Arguments cliniques dans le choix d’un flux numérique utilisé en PFSI chez l’édenté complet

Le traitement implanto-prothétique des édentements complets mandibulaires en présence de résorptions sévères représente un défi chirurgical et prothétique majeur. Cet article...
Prothèse amovible

Article réservé à nos abonnés L’implantologie au service de la prothèse amovible partielle

L’édentement partiel constitue un défi majeur dans les réhabilitations prothétiques, tant sur le plan esthétique que fonctionnel. En effet, la...
Prothèse

Article réservé à nos abonnés Préserver sans compromis : réhabilitation esthétique par facettes no-prep et bridge collé canin en disilicate de lithium

Parmi les anomalies de nombre, l’inclusion présente un intérêt clinique majeur en raison de la complexité de ses étiologies et...
Prothèse fixée

Article réservé à nos abonnés Les couronnes périphériques : vertiprep versus préparations horizontales

Responsable de séance : Adrien Lavenant Intervenants : Olivier Etienne, Dorian Bonnafous De quoi parle-t-on ? Préparations horizontales Les préparations horizontales reposent...
Prothèse fixée

Article réservé à nos abonnés La couronne périphérique : monolithique ou stratifiée ?

Responsable de séance : Olivier Leroux Intervenant : Philippe Boitelle   Matériaux Les alliages métalliques historiquement utilisés sont aujourd’hui dépassés en raison...
Prothèse fixée

Article réservé à nos abonnés Usures et DVO : 100 % clinique

Responsable de séance : Emmanuel d’Incau Intervenants : Emmanuel d’Incau, Jean-Christophe Paris, William Pacquet, Romain Ducassé Dépistage et étiologies des usures dentaires pathologiques...