3e cas lauréat 2022 du grand prix Endodontie au quotidien
La mise en forme canalaire, étape essentielle pour l’obturation
Renaud Jourdan
Chirurgien-dentiste, Lattes (34)
La compréhension de ces instruments, des biomatériaux et des différentes techniques est essentielle, et doit nous guider dans nos prises de décision en fonction des situations cliniques. Dans le cas clinique présent, suivi sur 24 mois, le patient se présente avec des douleurs à la mastication sur la dent 36. Tous les signes cliniques (test au froid négatif, test à la percussion positif, sondage parodontal positif en vestibulo-distal avec présence de fistule) et les examens radiologiques (LIPOE sur la racine distale, lésion inter-radiculaire) convergent vers un diagnostic de nécrose pulpaire due à une fracture longitudinale non complète (type 3 : Classification AAD) [1] (fig. 1).
Les objectifs de notre traitement vont être d’éradiquer, autant que possible, les bactéries et leurs toxines du système canalaire responsables de la lésion inflammatoire, d’être le moins invasif afin de ne pas fragiliser cette dent fissurée, et enfin de la renforcer par un overlay qui permettra de parfaire l’étanchéité du continuum endo-prothétique.
La procédure clinique est construite en deux séances. Lors de la première séance, d’une durée de 3 h, nous effectuons l’endodontie, la base intermédiaire, la préparation de l’overlay, et l’empreinte optique. La cavité d’accès réalisée est aussi petite que possible, mais aussi large que nécessaire afin de favoriser un maximum de préservation tissulaire tout en permettant un accès raisonnable aux canaux (fig. 2).
Une partie de la crête marginale distale est éliminée pour traiter la fissure. Une reconstruction pré-endodontique définitive est préférable à ce stade, afin de maximiser les valeurs d’adhérence du composite en évitant les contaminants endodontiques (fig. 3).
De par sa préparation conique et son action chimio-mécanique, la mise en forme canalaire est une étape essentielle de l’obturation, en permettant d’abaisser la charge bactérienne, d’éliminer les résidus pulpaires et les débris dentinaires. Une obturation tridimensionnelle en toute sécurité peut alors être effectuée.
Afin de respecter nos objectifs, un instrument de conicité variable 7 %, de diamètre apical 25/100, flexible, travaillant en réciprocité, est utilisé. Le choix de la conicité variable est dicté par la nécessité de réduire l’évasement coronaire et ainsi de favoriser une économie tissulaire dans la zone peri-cervicale sur cette dent déjà fragile. L’instrument a été modifié par traitement thermique, lui conférant une flexibilité accrue et permettant moins de contrainte lors de la préparation. Cette flexibilité permet également de mieux respecter la trajectoire initiale du canal et diminue le risque de fracture de l’instrument [3].
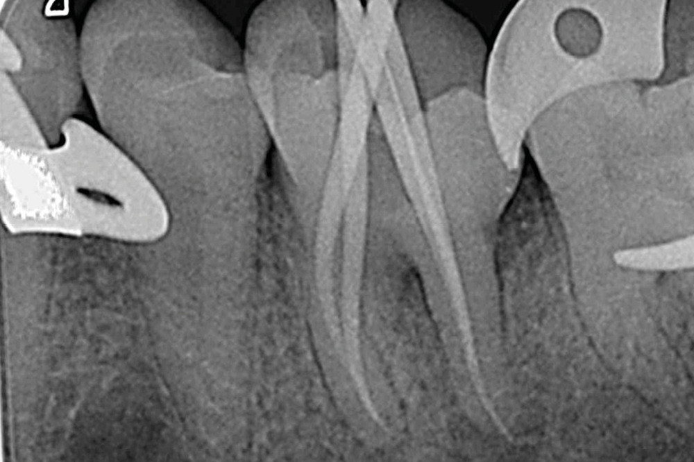
La mise en forme doit également s’adapter aux singularités anatomiques. Pour ce cas clinique, le canal mésio-lingual a été mis en forme en premier jusqu’à la longueur de travail. Puis le test du cône a été réalisé (fig. 4 et 5) afin de voir si les deux canaux se rejoignaient. Ces deux canaux se rejoignant à 3 mm de l’apex, le canal mésio-vestibulaire a été mis en forme à sa longueur de travail moins 3 mm afin d’éviter la zone de confluence et le risque accru de fracturer un instrument. De plus, cette mise en forme longueur de travail-3 mm a son importance pour la précision de l’obturation et l’ajustage des cônes. Pour le canal distal, qui était un canal « en 8 », nous appliquons le même raisonnement que pour les canaux mésiaux, avec un canal principal, test du cône, et ajustage des maîtres-cônes (fig. 6).
Un rinçage à l’hypochlorite de sodium 3 % est réalisé entre chaque passage d’instrument. Enfin, nous faisons un rinçage final avec une activation sonique, à l’EDTA 17 % (phase minérale), puis à l’hypochlorite de sodium 3 % (phase organique). Le séchage avant l’obturation est réalisé avec une micro-aspiration et des cônes de papier calibrés.
Les 2 objectifs principaux de l’obturation sont de prévenir une nouvelle entrée bactérienne et d’emmurer les bactéries résiduelles [4]. Nous avons réalisé une technique d’obturation à chaud en trois vagues, avec de la gutta percha et du ciment oxyde de zinc-eugenol. La question d’une obturation technique monocône-biocéramique s’est posée afin de ne pas exercer de contraintes mécaniques supplémentaires par application de technique de compactage de gutta-percha sur cette racine fragile. Bien que certaines études ne montrent aucune différence significative sur la technique d’obturation et la création de fissure [5], l’utilisation d’une technique d’obturation intuitivement la moins traumatique possible aurait pu s’avérer plus pertinente dans cette situation clinique [6] (fig. 7 et 8).
Concernant la reconstruction prothétique, nous avons réalisé une base intermédiaire avec du composite fibré afin de limiter la propagation de la fissure (Sablage, MR3, composites Flow, composite fibré, composite microhybride) [7]. On décide de recourir à un overlay de renforcement en disilicate de lithium afin de réaliser un recouvrement cuspidien pour deux raisons principales. La première étant la profondeur de la cavité d’accès, qui dépasse le plan d’inflexion de la dent et qui amplifie le risque de fracture. La deuxième étant que, de par sa préparation en biseau, l’overlay va diriger les forces occlusales principalement vers le centre de la dent et donc contenir au mieux cette fissure [8] (fig. 9 et 10).
La deuxième séance, d’une durée de 1 h, comprend l’assemblage et les réglages occlusaux.
Lors du suivi clinique et radiologique à 24 mois, nous observons une cicatrisation de la LIPOE, et la dent est asymptomatique (fig. 11 et 12).
Si les principes de mise en forme, d’obturation canalaire, ainsi que d’étanchéité coronaire sont respectés, vraisemblablement la guérison serait également au rendez-vous avec un protocole différent. Il est cependant nécessaire de réfléchir dès le départ à la préservation tissulaire, et l’endodontie ne fait pas exception. Le gradient thérapeutique doit prévaloir. Si dans 15 ans, nous devons refaire un traitement sur cette dent, on peut alors penser qu’avoir réalisé une petite cavité d’accès, d’avoir préservé les tissus dentaires dans la zone peri-cervicale, d’avoir obturé avec un matériau aisé à désobturer et avec une technique éprouvée, d’avoir conservé un maximum d’émail en réalisant un Overlay de renforcement, permettra de refaire un traitement conservateur.










Commentaires