La grande majorité des travaux montrant que l’occlusion n’a rien à voir avec rien revendique avec raison une méthodologie scientifique rigoureuse ; mais encore faut-il qu’elle s’appuie sur des données initiales pertinentes. Souvent, occlusion rime avec confusion, discréditant beaucoup de publications. La profession serait dans un « chaos majeur à propos de l’occlusion » [1] ; il y a donc des précisions à apporter ; c’est l’objectif de cet article.
Le calage
Ne pas confondre perte de calage et perte de DVO
La variation de la dimension verticale d’occlusion (DVO) est une rotation antérieure autour de l’axe de bi-condylien, elle est sans contrainte pour l’ATM. La perte de calage postérieur correspond, au contraire, à une rotation mandibulaire postérieure autour du point de contact occlusal distal, cette situation peut être critique pour l’ATM [24] (fig. 1).

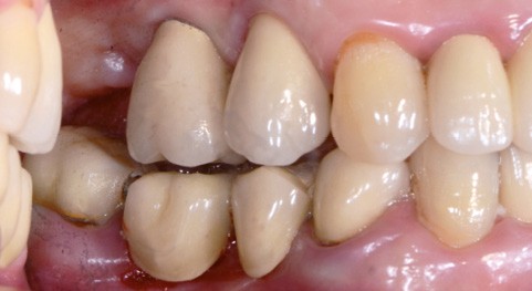
Ne pas confondre sous-occlusion et perte de calage
On pourrait penser que l’absence de calage postérieur provoque un risque de compression de l’ATM.
Mais, en fait, l’absence de calage génère plutôt une inhibition de la capacité de serrement [2-4]. Ainsi, l’absence de calage postérieur serait moins pathogène que la création iatrogène d’une prothèse terminale en sous-occlusion. Dans ce cas, le sujet peut mastiquer des aliments avec un risque de compression de l’ATM. Mais, surtout, il peut, dans des phases de bruxisme ou de mastication, trouver un contact occlusal postérieur grâce à la dépressibilité articulaire et à la souplesse de l’os mandibulaire, et développer alors un fort risque de compression articulaire (fig. 2a et b).
Ne pas confondre arcade courte ou arcade réduite
L’absence de dents postérieures augmente la charge…

