Formation

Endodontie

Article réservé à nos abonnés La fracture instrumentale en endo : faute ou aléa thérapeutique ?

Chaque année, la MACSF publie un rapport sur la sinistralité des professionnels de santé. En 2019, 225 sinistres de fractures...

Article réservé à nos abonnés Les biais cognitifs qui conduisent aux erreurs médicales

Tous les professionnels de santé, y compris les odontologistes, quel que soit leur niveau d’expérience ou leur spécialité, sont un...
Parodontologie

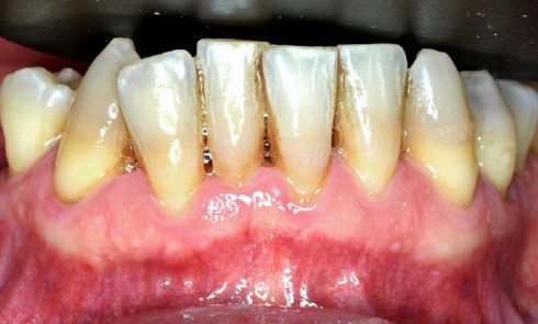
Article réservé à nos abonnés Intérêt de la greffe de conjonctif dans le traitement des lésions infra-osseuses : revue narrative

RÉSUMÉ Objectif : Résumer les preuves actuelles concernant les traitements de régénération parodontale combinées qui intègrent un greffon conjonctif (CTG) dans...
Parodontologie

Article réservé à nos abonnés Repulper la papille : indications, mise en œuvre et résultats

RÉSUMÉ La perte papillaire et l’apparition de triangles noirs constituent un motif de consultation fréquent du fait des conséquences esthétiques...
Implantologie, Parodontologie

Article réservé à nos abonnés L’implantologie en secteur esthétique : importance du contexte parodontal

De nombreuses études ont montré que la stabilité dans le temps des tissus mous péri-implantaires est primordiale et conditionnée par...
Dermatologie buccale

Article réservé à nos abonnés Pigmentations buccales : quand les médicaments laissent leurs traces

Anamnèse Un homme de 71 ans, non-fumeur, est référé par son médecin traitant pour l’apparition récente de pigmentations au niveau...
Implantologie

Article réservé à nos abonnés L’utilisation de l’ancrage squelettique avec des miniplaques pour maximiser les résultats des traitements orthodontiques

L’ancrage a toujours constitué un défi majeur en orthodontie. Afin de limiter ou d’éliminer les effets indésirables de la troisième...
Dermatologie buccale

Article réservé à nos abonnés La biopsie/exérèse de la muqueuse buccale en pratique de cabinet

Indications Les indications de la biopsie et de l’exérèse sont présentées dans la figure 1. Matériel nécessaire (fig. 2 à...
Odontologie restauratrice

Article réservé à nos abonnés Évaluation du risque carieux

La maladie carieuse (MC) est une maladie multifactorielle d’origine bactérienne, caractérisée par un changement du microbiote oral déterminé par un...
Chirurgie orale

Article réservé à nos abonnés La gestion de l’alvéole d’extraction

Responsable scientifique : Pierre Cherfane Intervenants : Patrice Margossian, François Vigouroux Anatomie de l’os alvéolaire L’os alvéolaire qui entoure la dent est...
Chirurgie orale

Article réservé à nos abonnés Séance SFCO – De la préservation à la régénération tissulaire en chirurgie orale
Reconstruction des tissus mous et des tissus durs

Responsable scientifique : Anne-Laure Ejeil Intervenantes : Alice Guyon, Kinz Bayet Photos : © Kinz Bayet Préserver ou reconstruire ? Une question qu’il...
ODF

Article réservé à nos abonnés Fente faciale : plus-value de la multidisciplinarité d’un CCMR

8e Grand Prix en orthodontie avec Orthoplus Grand prix Catégorie Enfants/adolescents de moins de 16 ans Troisième lauréat Objectifs et...
ODF

Article réservé à nos abonnés Traitement avec avulsion des premières molaires atteintes de MIH : ajuster l’ancrage

8e Grand Prix en orthodontie avec Orthoplus Grand prix Catégorie Enfants/adolescents de moins de 16 ans Premier lauréat   L’Hypominéralisation...
ODF

Article réservé à nos abonnés Traitement par plaques d’ancrage d’une classe III squelettique asymétrique en croissance

8e Grand Prix en orthodontie avec orthoplus Grand prix Catégorie Enfants/adolescents de moins de 16 ans Deuième lauréat Présentation du...
Implantologie, Implantologie chirurgicale

Article réservé à nos abonnés Reconstructions postérieures mandibulaires : ROG, tissu kératinisé et prothèse

Grand Prix éditorial 2024 – implantologie, gérer le temps et la biologie 2e cas lauréat 2024 En présence d’une crête...
Occlusodontologie

Article réservé à nos abonnés Le triangle de Slavicek : recouvrement, surplomb, pente de guidage

Dans les populations contemporaines, les dents maxillaires surplombent et recouvrent en vestibulaire les dents mandibulaires. Ce phénomène est plus accentué...