Préserver sans compromis : réhabilitation esthétique par facettes no-prep et bridge collé canin en disilicate de lithium

  • Par
  • Publié le . Paru dans Stratégie Prothétique n°1 - 15 février 2026 (page 62-70)
Information dentaire

– Quelles sont les différentes anomalies dentaires pouvant impliquer l’esthétique du secteur antérieur maxillaire ?

– Pourquoi la canine maxillaire joue-t-elle un rôle déterminant dans l’équilibre occlusal et la perception du sourire ?

– Le bridge collé cantilever canin est-il une alternative fiable à l’implant unitaire ?

– Comment les facettes no-prep s’intègrent-elles dans une approche restauratrice ultra-conservatrice, et quelles sont leurs limites biologiques et techniques ?

– Quels sont les avantages de la vitrocéramique renforcée au disilicate de lithium dans ce type de thérapeutiques ?

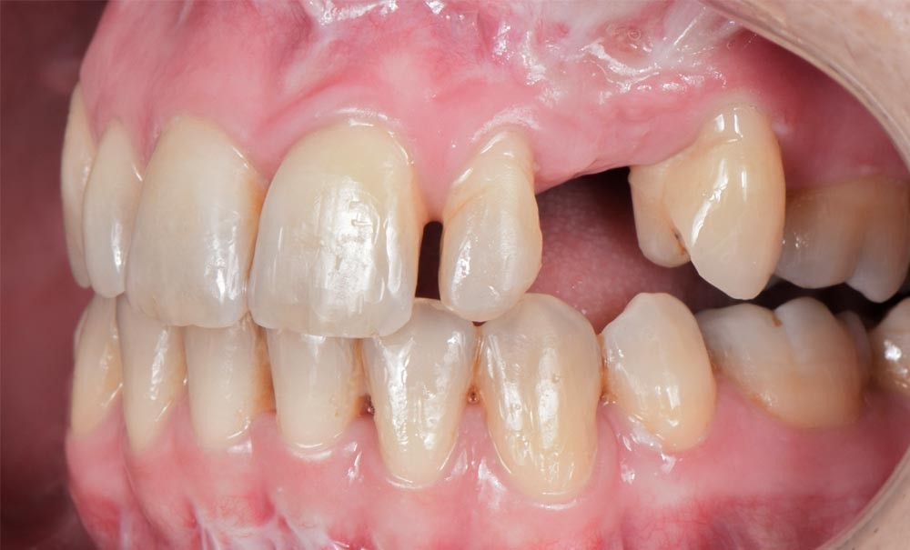
Parmi les anomalies de nombre, l’inclusion présente un intérêt clinique majeur en raison de la complexité de ses étiologies et de ses répercussions fonctionnelles et esthétiques. Au maxillaire, les canines constituent, après les 3es molaires, les dents les plus fréquemment incluses avec une prévalence estimée entre 1 et 2,5 % [1], dont plus de 90 % des atteintes sont unilatérales [2]. Sur le plan esthétique, la canine maxillaire occupe une position stratégique : véritable clé de voûte de l’arcade, elle participe à la définition de la ligne du sourire et au soutien de la lèvre supérieure. Sa morphologie et son positionnement influencent directement la perception de l’individualité faciale [3, 4]. Lorsque la désinclusion échoue et que la dent concernée est laissée en place ou extraite, la prise en charge repose alors sur la gestion d’un édentement unitaire.

Les bridges collés cantilevers (BCC) ont démontré leur fiabilité, devenant une option de première intention avant 40 ans lorsqu’il est question de remplacer une incisive absente [5]. Les données cliniques rapportent des taux de survie de 100 % à 6-10 ans pour les restaurations en vitrocéramique renforcée en disilicate de lithium (VRDL) [6], et de 95,4 % à 15 ans pour celles en zircone de haute ténacité (3Y-TZP) [7].

Bien que l’implantologie conserve sa prédominance, plusieurs études récentes soulignent l’intérêt croissant des BCC dans la gestion des édentements canins et postérieurs [8-10]. Cette stratégie présente plusieurs avantages : l’absence d’intervention chirurgicale, une exécution rapide, une préservation tissulaire globale et une réversibilité [6, 11]. Elle permet également d’éviter certaines complications associées aux implants, telles que l’infracclusion secondaire à la croissance faciale continue [11] et notamment en place de canine.

Concernant le matériau d’infrastructure, la littérature oriente plus volontiers…

Cet article est réservé aux abonnés.
Pour lire la suite :

Vous êtes abonné.e ? Connectez-vous
Mot de passe
oublié ?

Vous pouvez également :

Acheter l'article En version numérique
Acheter le numéro À l'unité

Thèmes abordés

Sur le même sujet

Prothèse amovible

Article réservé à nos abonnés L’implantologie au service de la prothèse amovible partielle

L’édentement partiel constitue un défi majeur dans les réhabilitations prothétiques, tant sur le plan esthétique que fonctionnel. En effet, la...
Prothèse fixée

Article réservé à nos abonnés Les couronnes périphériques : vertiprep versus préparations horizontales

Responsable de séance : Adrien Lavenant Intervenants : Olivier Etienne, Dorian Bonnafous De quoi parle-t-on ? Préparations horizontales Les préparations horizontales reposent...
Prothèse fixée

Article réservé à nos abonnés La couronne périphérique : monolithique ou stratifiée ?

Responsable de séance : Olivier Leroux Intervenant : Philippe Boitelle   Matériaux Les alliages métalliques historiquement utilisés sont aujourd’hui dépassés en raison...
Prothèse fixée

Article réservé à nos abonnés Usures et DVO : 100 % clinique

Responsable de séance : Emmanuel d’Incau Intervenants : Emmanuel d’Incau, Jean-Christophe Paris, William Pacquet, Romain Ducassé Dépistage et étiologies des usures dentaires pathologiques...
Prothèse

Article réservé à nos abonnés Agénésies antérieures : apport du flux numérique dans la réhabilitation implantaire

Grand Prix éditorial 2025 – Prothèse implanto-portée, le numérique au service de la clinique 3e cas lauréat 2025 Présentation du cas...
Prothèse

Article réservé à nos abonnés Prothèse numérique : précision implantaire et guidage tissulaire

Grand Prix éditorial 2025 – Prothèse implanto-portée, le numérique au service de la clinique 1er cas lauréat 2025 Séquence clinique Avant...