Bridge collé

Prothèse

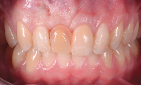
Article réservé à nos abonnés Préserver sans compromis : réhabilitation esthétique par facettes no-prep et bridge collé canin en disilicate de lithium

Parmi les anomalies de nombre, l’inclusion présente un intérêt clinique majeur en raison de la complexité de ses étiologies et...
Prothèse

Article réservé à nos abonnés Le bridge collé cantilever postérieur en céramique – Partie 1.

Pour la restauration des édentements unitaires du secteur antérieur, l’introduction en France des bridges collés cantilever en céramique a été...
Prothèse

Article réservé à nos abonnés À propos d’un bridge collé cantilever en céramique antérieur

Dans les descriptions classiques, le bridge collé est composé d’un intermédiaire et de deux ailettes métalliques qui sont collées sur...
Prothèse

Article réservé à nos abonnés Il était une fois… le bridge collé en extension

Quel est le parcours clinique et scientifique qui a permis de faire émerger puis de valider ce concept esthétique et...
Prothèse

Article réservé à nos abonnés Bridge collé canin tout numérique : apport de la zircone multicouche

Le remplacement prothétique d’une canine maxillaire chez l’adolescent est délicat en raison des fortes contraintes esthétiques et fonctionnelles. Cette clé...
Biomatériaux

Article réservé à nos abonnés L’évidence du bridge collé à une ailette pour le remplacement d’une incisive… ou pas !

Le remplacement d’une dent unitaire antérieure est toujours un défi, étant donné les objectifs esthétiques et fonctionnels (phonatoire et masticatoire)...
Odontologie pédiatrique

Article réservé à nos abonnés Bridge collé cantilever : pour une optimisation muco-gingivale de l’intégration esthétique

Le bridge collé cantilever représente une thérapeutique de choix dans le cadre de la prise en charge de l’édentement unitaire...
Biomatériaux

Article réservé à nos abonnés L’évidence du bridge collé à une ailette pour le remplacement d’une incisive (partie 1)

Depuis l’avènement, au milieu des années 1990, des bridges collés à une ailette, des situations d’édentement antérieur avec une contre-indication...