Cet article présente les étapes de prise en charge d’une patiente de 16 ans atteinte d’un diabète de type I non équilibré et à risque carieux élevé. Il développe notamment les stratégies de prévention et celles de préservation pulpaire dans un contexte de lésions carieuses profondes et extrêmement profondes. En effet, si ces dernières font consensus chez les jeunes patients en bonne santé, tant dans un cadre de pulpite réversible qu’irréversible, elles sont, cependant, peu décrites pour les patients atteints de pathologies chroniques.
Présentation du cas clinique
Une adolescente de 16 ans se présente au Centre de Soins dentaires de Lyon pour une prise en charge après une consultation d’urgences (pulpite sur 16). Elle souffre d’un diabète insulino-dépendant de type I non équilibré (HbA1c = 11,4 %). Bien qu’elle soit suivie par une nutritionniste, l’interrogatoire médical révèle des grignotages et un journal alimentaire lui est alors remis. Par ailleurs, elle a suivi des cours d’éducation thérapeutique en endocrinologie et possède de solides connaissances, mais elle n’arrive pas réellement à les appliquer. Pour l’aider à changer de comportement, un suivi psychologique lui a aussi été proposé.
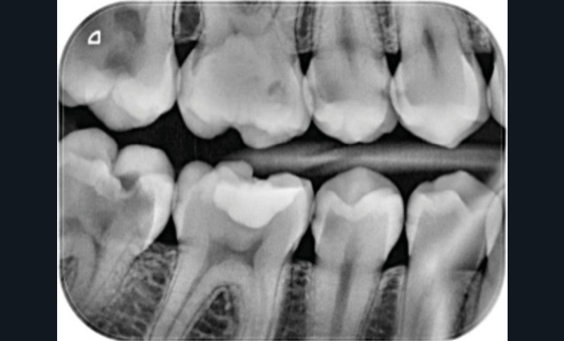
À l’examen dentaire, des lésions carieuses cavitaires de type ICDAS 5 (cavité franche avec dentine exposée sur moins de la moitié de la surface occlusale) sont visibles sur 37, 47, 27 et 26 (fig. 1) [2]. Une lésion ICDAS 4 (changement de teinte de la dentine visible à travers l’émail apparemment intact ou présentant des signes de rupture localisée) est visible sur 17. Des lésions ICDAS 2 (déminéralisation de la totalité de l’émail visible sur surfaces non séchées) sont mises en évidence au niveau des zones cervicales vestibulaires de 35 et 36.
L’examen parodontal révèle une absence de mobilité dentaire et de perte d’attache…





