Grand Prix éditorial 2025 – Prothèse implanto-portée, le numérique au service de la clinique
1er cas lauréat 2025
Séquence clinique
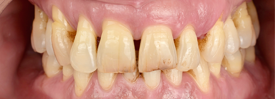
Avant toute intervention chirurgicale, un assainissement parodontal a été effectué. Les deux arcades ont été traitées afin de stabiliser l’environnement biologique (fig. 1). L’analyse complète du volume osseux et gingival a donc été réalisée à partir d’une situation clinique compatible avec une prise en charge implantaire ; un parodonte sain réduit (fig. 2).
Analyse et planification virtuelle
L’empreinte optique, les photographies et le CBCT ont permis une fusion précise des données numériques pour planifier les axes et positions implantaires en fonction du projet prothétique final (fig. 3, 4).
Cette planification a ainsi intégré la future ligne d’émergence et la gestion anticipée des tissus mous [2].
Conception du guide chirurgical
Le guide chirurgical, conçu à partir du projet numérique, a été imprimé en 3D. Il a permis de transférer fidèlement le plan virtuel à la clinique, garantissant une chirurgie précise, respectueuse du capital osseux et des structures anatomiques.
Mise en place implantaire
Les implants ont été positionnés, sous guidage complet, dans le volume idéal anticipé avant les extractions, assurant un contrôle tridimensionnel précis (fig. 5). Cette approche a permis une procédure minimalement invasive et une préservation tissulaire optimale. Une prothèse immédiate imprimée a été adaptée aux contours gingivaux et au positionnement implantaire (fig. 6).
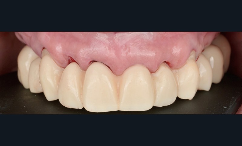
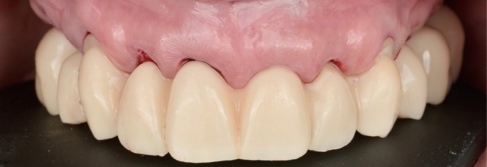
Phase prothétique et modelage tissulaire
Une empreinte numérique du positionnement des implants a été réalisée pour la conception d’une seconde prothèse transitoire guidant la cicatrisation. Cette restauration a permis de sculpter progressivement les tissus mous pour obtenir une émergence harmonieuse (fig. 7). Ces ajustements successifs ont favorisé la stabilité des papilles et la continuité du contour gingival (fig. 8) [3].
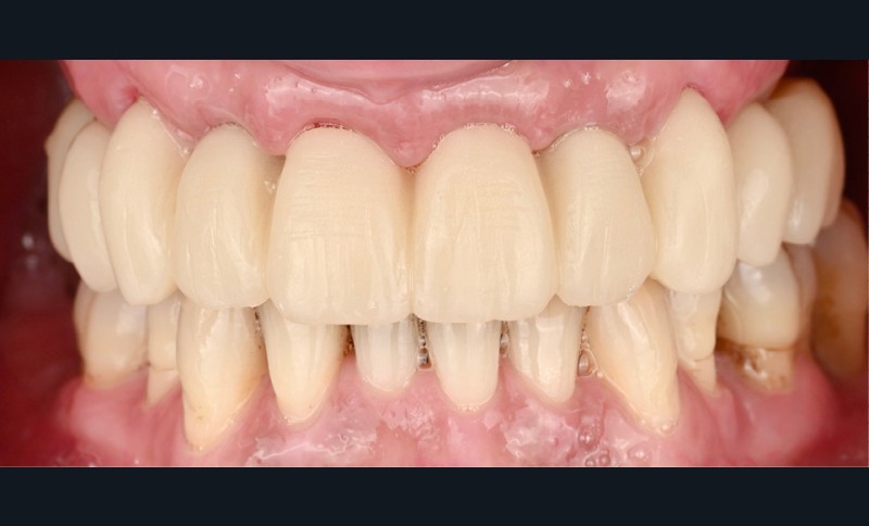
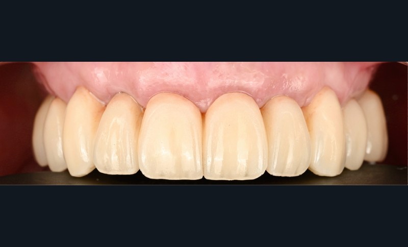
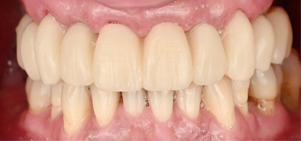
Prothèse d’usage
Elle est réalisée en zircone monolithique usinée puis stratifiée manuellement (fig. 9). Dans cette approche hybride numérique-analogique, la CFAO assure la précision de la structure, tandis que la stratification manuelle apporte la personnalisation esthétique et la vitalité du rendu [4]. Le résultat illustre la convergence entre précision technologique et sensibilité clinique (fig. 10).
Conclusion
Ce cas démontre l’apport du numérique dans la planification implantaire guidée avant extraction. La chaîne numérique complète, de la conception prothétique initiale à la mise en forme tissulaire, permet d’anticiper, guider et stabiliser les tissus péri-implantaires. La prothèse devient un élément actif du traitement, orientant la cicatrisation et participant à la réussite esthétique et fonctionnelle à long terme. La réussite de ce type de prise en charge repose sur une collaboration étroite entre le chirurgien et les prothésistes. Le choix des partenaires de laboratoire est déterminant : il s’appuie sur les compétences complémentaires de chacun. Cette coordination garantit la cohérence du flux numérique et la qualité du résultat final.












Commentaires