INDICATION GÉNÉRALE DES FACETTES PALATINES
RÈGLES DE PRÉPARATION
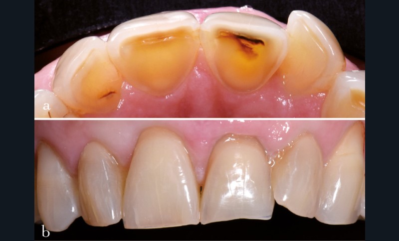
ILLUSTRATION À TRAVERS UN CAS CLINIQUE
La patiente, âgée de 59 ans, présente une érosion marquée (classe III de la classification ACE) des faces palatines de ses deux incisives centrales (fig. 2a). Elle se plaint de sensibilités importantes au niveau de ces incisives et souhaite corriger la différence de niveau du bord libre de 21 (fig. 2b).
Après élimination des excès de matériau d’assemblage à l’aide d’un pinceau à usage unique, la colle composite est photopolymérisée pendant vingt secondes à 1 200 mW/cm2. Les résidus de colle sont ensuite éliminés à l’aide d’une lame de bistouri n° 12. Un gel de glycérine est alors appliqué sur les joints de collage et une seconde photopolymérisation de quarante secondes à 1 200 mW/cm2 est effectuée. Après retrait de la digue, les crochets sont supprimés à l’aide d’une fraise multilames sur turbine (H 135 Q – Komet). Cette étape est grandement simplifiée par la couleur bleue de la résine appliquée en début de séance sur les faces vestibulaires (fig. 18).
Les finitions sont réalisées par polissage des limites. L’ajustage des bords libres permet de corriger la différence de longueur des deux incisives centrales. La faible inocclusion initiale s’en trouve comblée sans qu’il y ait besoin d’effectuer une coronoplastie mandibulaire. Le polissage final des faces palatines et vestibulaires est ensuite effectué à l’aide de polissoirs caoutchoutés de granulométrie décroissante (Optrafine – Ivoclar Vivadent, Twist Polishers – Meisinger, Compoline Spiral – Komet). Le résultat final montre une très bonne intégration esthétique de la restauration du bord libre de 21 (fig. 19).
La durée totale du traitement aura été de l’ordre d’une heure et demie, répartie comme suit :
– anesthésie loco-régionale, application de la résine bleue, préparation des dents : 15 minutes ;
– empreinte optique, modélisation des facettes palatines : 10 minutes ;
– usinage des facettes palatines : 10 minutes. Le cabinet dans lequel ces soins ont été réalisés étant équipé de deux machines-outils à commande numérique, les deux facettes ont été usinées simultanément ;
– essayage, finitions et traitement de surface des facettes avant assemblage : 10 minutes ;
– mise en place de la digue : 5 minutes ;
– traitement de surface des surfaces dentaires : 5 minutes ;
– assemblage des deux facettes : 15 minutes ;
– dépose de la digue, finitions, contrôles occlusaux : 10 minutes.
CONCLUSION
La maîtrise des outils de CFAO dentaire permet d’adapter le protocole clinique à des situations complexes tout en ouvrant la voie à l’utilisation de nouveaux matériaux, plus performants. Cette technique met en avant un des intérêts de la CFAO directe, puisque l’ensemble du traitement est réalisé en une seule séance. En effet, il n’est pas envisageable de laisser en place la résine bleue apposée sur les faces vestibulaires dans le cas d’un traitement semi-direct (réalisé en deux séances).












Commentaires