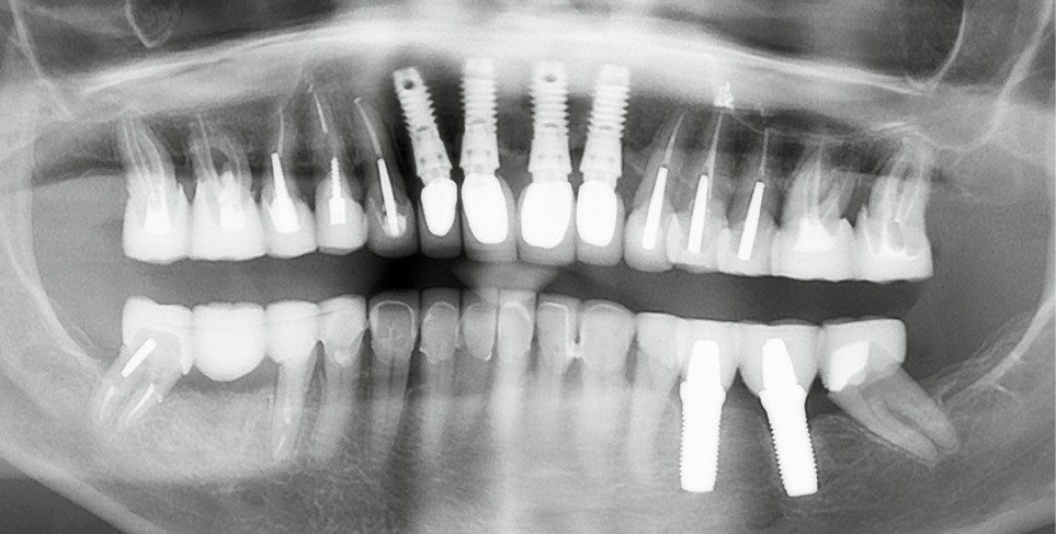
Une patiente ayant perdu ses incisives maxillaires à la suite d’un traumatisme quelques années auparavant, consulte en 2015 pour un inconfort occlusal persistant. Elle a été traitée par diverses gouttières occlusales, sans résultat notable. En 2017, une reconstruction globale est réalisée, toujours sans résolution de la plainte d’inconfort occlusal. Après avoir consulté de très nombreux praticiens et bénéficié de multiples traitements, en 2024 la patiente a perdu l’ensemble de ses dents ! En octobre 2025, après plusieurs prothèses globales sur implants, la plainte est toujours la même dans un contexte psycho-émotionnel de plus en plus difficile (fig. 1).
Cet exemple d’historique dramatique n’est malheureusement pas exceptionnel. Il illustre la problématique de la dysesthésie occlusale et l’impérieuse nécessité d’établir, avant tout traitement « occlusal », un diagnostic clair dans le contexte global biopsychosocial du patient.
L’objectif de cet article est de décrire les données actuelles sur la Dysesthésie Occlusale (DO) et de proposer un rationnel de prise en charge visant à aider les patients concernés à se sortir de cette situation très difficile.
De quoi s’agit-il ?
Définition
Décrit pour la première fois en 1976 sous le terme de « Phantom bite » [1], et après différentes appellations, le terme de Dysesthésie Occlusale (DO) [2] s’est imposé dans la littérature internationale [3].
Cette fixation de l’attention du patient sur son occlusion évoque un Trouble Obsessionnel Compulsif (TOC) [4] en rapport avec un état d’hypervigilance occlusale souvent générée par une occlusoconscience exacerbée [5]. Il ne s’agit pas d’un Dysfonctionnement Temporo-Mandibulaire (DTM) à proprement parler, mais un DTM peut y être associé.
La dysesthésie occlusale est un trouble chronique somatoforme (somatisation) caractérisé par un inconfort occlusal…


