Cas clinique
Une patiente vient consulter en raison de douleurs dentaires diffuses qui s’intensifient au brossage. Gênée par des récessions gingivales qu’elle juge inesthétiques et contrainte à adapter son alimentation, elle évalue son confort buccal à 3 sur 10.
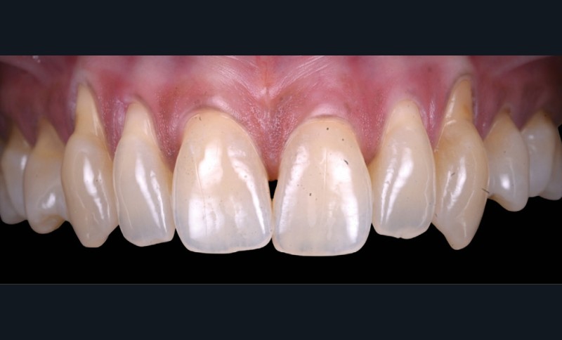
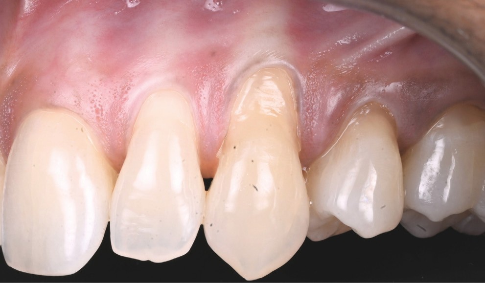
L’examen clinique révèle des récessions gingivales généralisées au maxillaire (fig. 1), de type RT1 et RT2 selon Cairo, responsables d’une hypersensibilité dentinaire marquée.
Objectif thérapeutique
Les traitements non invasifs (dentifrices désensibilisants, composites) offrent un soulagement temporaire mais ne traitent pas la cause. À l’inverse, les greffes gingivales à visée de recouvrement permettent de traiter l’étiologie de la douleur en recouvrant la dentine exposée, avec un taux de suppression complète de la douleur de 60 à 80 % [3].
Pour répondre à la demande de la patiente, une greffe gingivale est indiquée. En attendant la chirurgie, un dentifrice désensibilisant est recommandé à la patiente.
Le choix de la technique est guidé par un arbre décisionnel [4] prenant en compte le nombre de récessions, la quantité de tissu kératinisé et plusieurs points clés. Ici, ce sont les papilles qui vont guider notre décision :
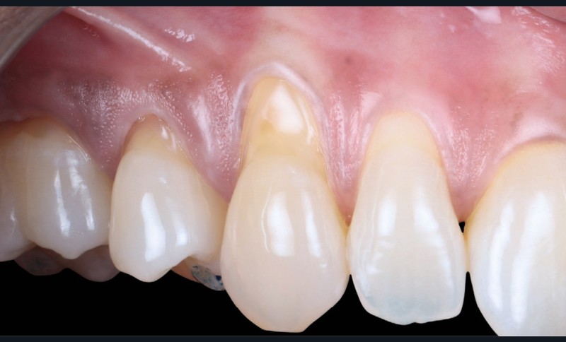
- secteur 1 : papilles étroites et rétruses (fig. 2) ➠ technique de tunnellisation ;
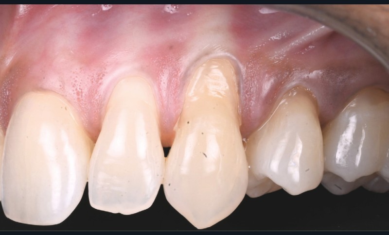
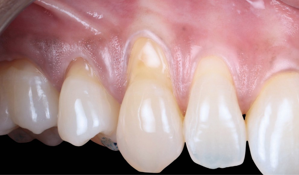
- secteur 2 : papille distale de 23 dodues et malposition de 24 (fig. 3) ➠ CAF (lambeau déplacé coronairement).
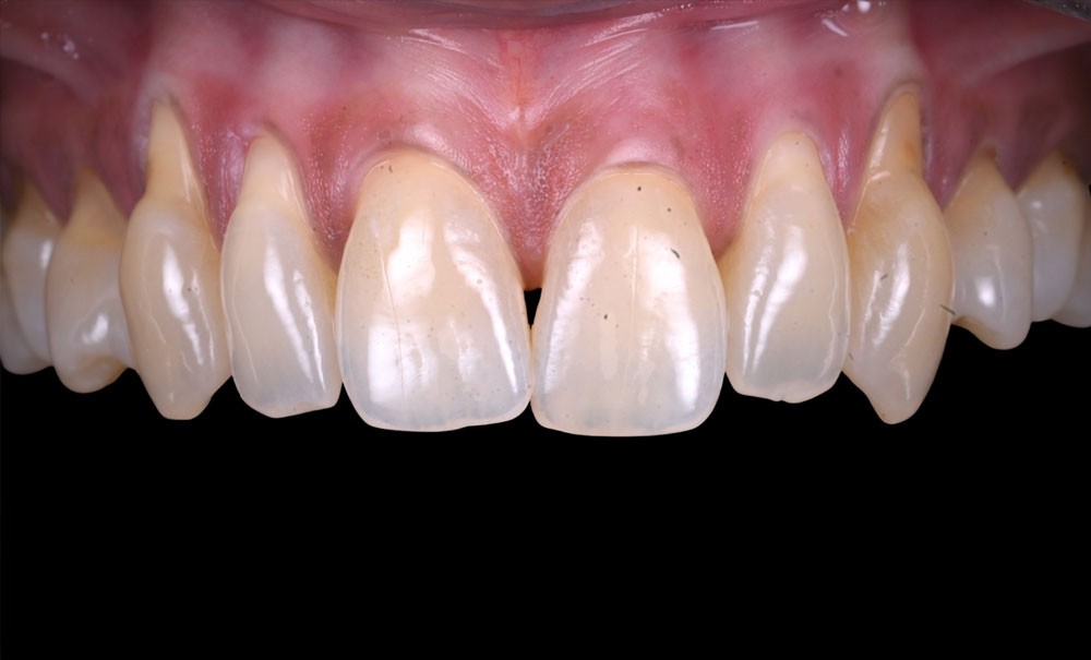
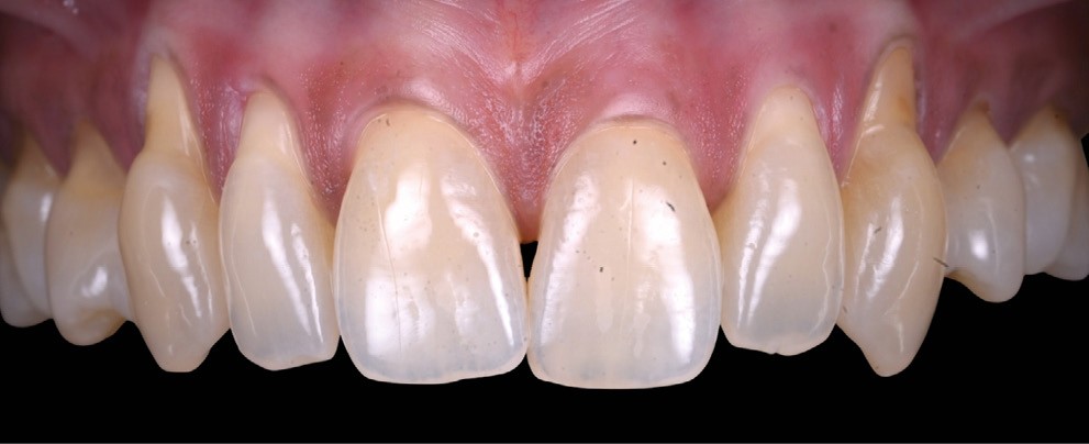
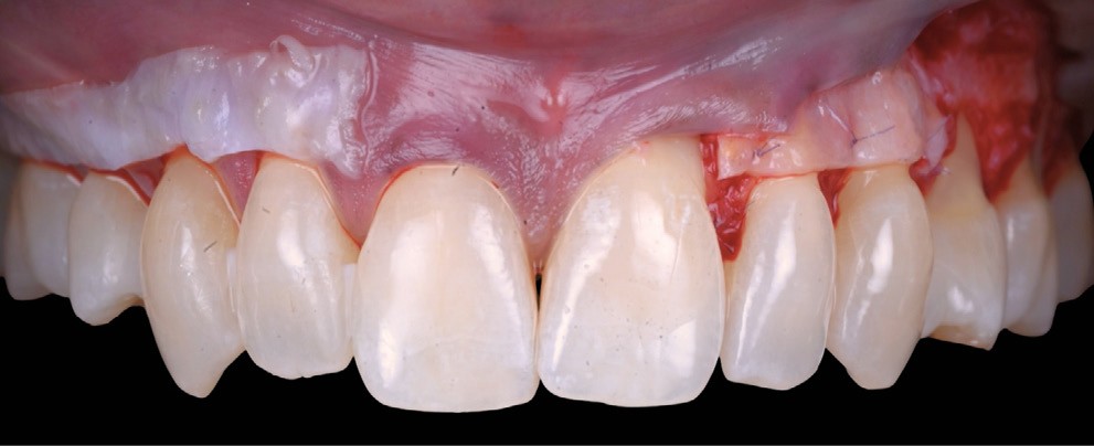
Une chirurgie combinée est réalisée (fig. 4) :
- tunnélisation secteur 1, élévation d’un lambeau secteur 2 ;
- prélèvement épithélio-conjonctif unilatéral au palais, désépithélialisé et divisé en deux ;
- greffon de lamina propria inséré dans le tunnel (secteur 1) et suturé au périoste (secteur 2) ;
- jeu de sutures au fil 6.0 : « double cross » en fils non résorbables secteur 1 / « suspendues » en fils résorbables secteur 2.
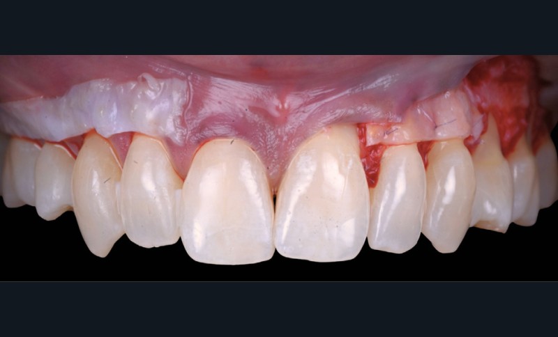
Résultat
Le…



