Apports des inlay-cores en technique Press On Metal
Problématiques de la reconstruction des dents antérieures dépulpées
Pour les dents antérieures, les pertes de substanceverticales sont souvent importantes et associées à des forces de cisaillement élevées. D’autre part, les canaux sont généralement de diamètre important, impliquant la réalisation de tenons anatomiques. Pour ces raisons, sur les dents antérieures très délabrées, certains auteurs préconisent toujours les reconstructions coronoradiculaires coulées de type inlay-core [2].
Réalisé en alliage métallique, ce type de pièce associé à une couronne en disilicate de lithium (IPS e.max® Ivoclar Vivadent ) a tendance à donner un aspect « grisâtre » à la restauration finale [3].
Des inlay-cores spécifiques pour ces indications ont été développés. Une partie radiculaire anatomique et coronaire réduite de soutien est réalisée en alliage métallique. Puis une partie coronaire de recouvrement en vitrocéramique pressée est ajoutée pour reconstituer la forme du pilier. Cette céramique IPS Inline Press On Metal (POM® Ivoclar Vivadent) est une vitrocéramique renforcée à la leucite, mise en œuvre par technique de pressée et spécialement conçue pour le recouvrement du métal.
Cas clinique
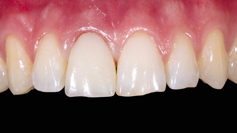
Un patient d’une trentaine d’années consulte afin de changer une ancienne couronne céramométallique sur la 11 (fig. 1). La couronne présente un problème d’adaptation et ne satisfait pas le patient sur le plan esthétique notamment l’aspect « grisâtre » au niveau du collet. Le traitement commence par la réalisation d’empreintes d’études et d’un wax-up de la dent à traiter (fig. 2). La couronne d’usage ainsi que la reconstruction coronoradiculaire coulée sous jacente sont déposées par découpe (fig. 3). Une couronne provisoire « coquille » issue du wax-up est réadaptée à la situation clinique par rebasage (fig. 4).
Une empreinte…



