Les bridges collés en cantilever, à la lumière du travail des pionniers, le Pr Mathias Kern de l’université de Kiel et du Pr Mikael Bothelo, à l’université de Hong Kong ainsi que de notre propre expérience personnelle (scientifique et clinique) depuis 2006, mais aussi des principales évaluations cliniques disponibles, apparaissent aujourd’hui comme une alternative subtile, contemporaine et réaliste à l’implant unitaire antérieur. En particulier dans les situations d’agénésie des latérales ou de trauma avec perte d’une dent antérieure, que ce soit prioritairement chez des sujets jeunes, mais aussi chez des sujets adultes ou seniors.
Présentation
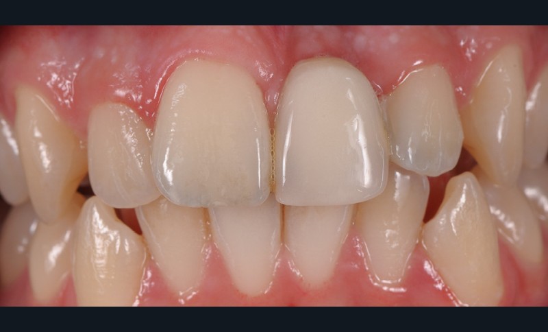
La demande du patient âgé de 20 ans au moment de cette première consultation portait sur la réfection de son bridge collé de type Rochette remplaçant sa 21. Nous avons indiqué dans cette situation clinique la réalisation d’un autre bridge collé, mais de type cantilever en céramique pour tous les avantages qu’ils possèdent.
1/ Qu’anticipez-vous dans le cas de la réfection de ce bridge collé de type Rochette (fig. 1 à 5) ?
- L’analyse des rapports d’occlusion (overjet/overbite) : La présence dans cette situation d’une légère béance antérieure est favorable à la réalisation d’un nouveau bridge collé.
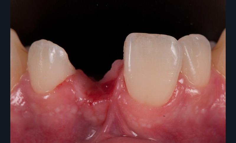
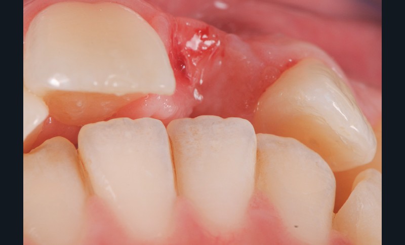
- Il faut aussi anticiper la nécessité d’une greffe de conjonctif au niveau du futur nouveau pontique compte tenu de la perte de tissus (effondrement en vestibulaire de la crête)
- De même, il faut anticiper le mode de temporisation en se servant de cet ancien bridge collé en temporisation (assemblé au CVIMAR avec un peu de glycérine pour en faciliter la dépose) pendant la phase de cicatrisation parodontale (12 semaines post-opératoires environ), puis la réalisation d’une gouttière avec une centrale du commerce en résine à l’issue du temps de maturation parodontale pour la préparation…




