Grand Prix éditorial 2025 – Prothèse implanto-portée, le numérique au service de la clinique
2e cas lauréat 2025
L’empreinte numérique et la puissance des logiciels de planification permettent de prévoir l’ensemble de la chirurgie à l’avance : on obtiendra un guide de forage implantaire et prothétique. On parle de guides à étages [5]. Nous verrons, dans le cas clinique suivant, comment l’apport du numérique, l’utilisation de nouveaux biomatériaux et l’évolution des concepts chirurgico-prothétiques nous ont permis de transformer une arcade maxillaire présentant des dents non conservables en un bridge complet implanto-porté sans phase provisoire amovible.
Objectif thérapeutique
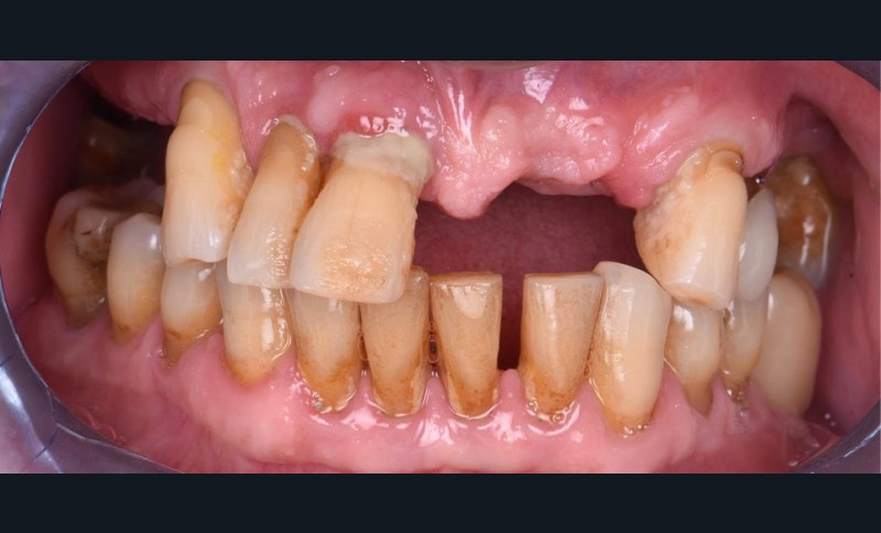
Un patient de 72 ans nous est adressé pour la prise en charge de son arcade maxillaire. Son motif de consultation est de retrouver un confort dentaire lors de la mastication et de préserver son diastème entre 11/21. À l’examen clinique, nous remarquons 6 dents non conservables pour raisons parodontales, présentant une mobilité de type 3 (fig. 1). Nous réalisons un examen tridimensionnel qui nous confirme un volume osseux suffisant pour la pose d’implants dentaires. Cependant, un déficit osseux sous sinusien gauche est observé. Nous proposons au patient de réaliser une technique d’extraction/implantation et mise en esthétique immédiate via un bridge provisoire. Après acceptation du plan de traitement par le patient, nous réalisons des empreintes numériques et une série de photographies exo-buccales afin de confectionner le projet prothétique. Le laboratoire élabore alors un wax-up virtuel, une planification implantaire selon celui-ci, un système de guide a étage et le bridge provisoire à rebaser lors de la chirurgie.
Séquence clinique
Nous positionnons le guide de positionnement (relié au guide de base) sur les dents restantes (fig. 2). Nous vérifions l’ajustage avant de fixer transitoirement ces derniers à l’arcade maxillaire via 6 clavettes de stabilisation MIS®. À ce stade, nous pouvons désolidariser le guide de positionnement, extraire les dents non conservables et positionner le guide de forage implantaire sur le guide base. Nous utilisons la séquence chirurgicale guidée de chez Mis implant® (Dentsply Sirona). Sept implants MIS® C1 sont positionnés à travers le guide (fig. 3) et sept piliers intermédiaires sont vissés sur ces derniers. À ce stade, nous positionnons le bridge en PMMA dans son « panier », sur le guide de base et nous le solidarisons avec les piliers provisoires via une résine fluide macro-chargée (fig. 4).
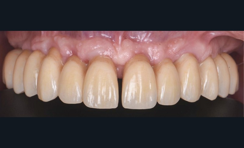
Notre laboratoire interne peut alors modeler les profils d’émergences implantaires, le temps de la réalisation des différents apports de tissus conjonctif sur les zones concaves. Puis nous mettons en place le bridge provisoire avec des sutures suspendues (fig. 5), en prenant soin d’équilibrer l’occlusion. Nous remarquons une simulation de diastème inter-incisif afin de satisfaire transitoirement la demande du patient. Trois mois après, le bridge provisoire a fait son travail de modelage gingival (fig. 6). Nous pouvons alors réaliser les acquisitions numériques pour la réalisation de la prothèse définitive (fig. 7). Nous remarquons deux bridges distincts séparés en inter-incisif afin de créer le diastème désiré par le patient (fig. 8).
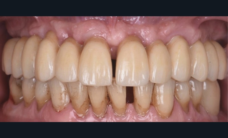
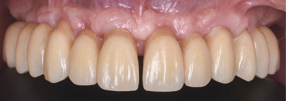
La segmentation permet également de limiter les erreurs d’empreintes implantaires et de diminuer les contraintes biomécaniques [6]. L’utilisation de la zircone Katana YML (Kuraray®) [7] permet de créer une extension mésiale et distale [8] en secteur 2, limitant alors la réalisation d’une augmentation sinusienne [7]. Nous remarquons, un an et demi après la pose, un maquillage naturel des bridges provisoires type « FP2 » (fig. 9) ainsi qu’une bonne intégration dans le visage de notre patient (fig. 10).
Conclusion
Ce cas clinique illustre toutes les possibilités qu’apportent les outils numériques d’aujourd’hui. Ils permettent des résultats plus prédictibles dans le temps, mais aussi un confort indéniable pour le patient. En effet, les réflexions prothético-chirurgicales sur le positionnement implantaire, combinées à des matériaux céramiques de plus en plus performants aboutissent à des simplifications d’actes tant pour le patient que pour le praticien.










Commentaires