Réhabilitation minimalement invasive d’une incisive centrale par une facette unitaire en céramique

  • Par
  • Publié le . Paru dans Stratégie Prothétique n°3 - 15 juin 2025 (page 6-14)
Information dentaire
– Pourquoi la réhabilitation d’une incisive centrale unitaire représente-t-elle un défi clinique majeur en dentisterie esthétique ?
– Quels sont les principaux critères esthétiques à prendre en compte pour une intégration harmonieuse de la restauration ?
– Pourquoi l’éclaircissement préalable et la préparation guidée sont-ils essentiels dans la réussite d’un traitement par facette ?
– Quelles sont les étapes clés du protocole clinique permettant d’assurer un résultat esthétique et fonctionnel optimal ?

La restauration d’une incisive centrale unitaire constitue un défi clinique majeur en raison de son rôle fondamental dans l’esthétique du sourire. La symétrie, la forme, la couleur et la translucidité influencent fortement l’harmonie et la perception du sourire. Lorsqu’un trauma ou des restaurations antérieures altèrent son intégration dans l’arcade, il est essentiel de proposer une solution à la fois esthétique et conservatrice [1].

Les facettes en céramique représentent aujourd’hui une option thérapeutique de choix, combinant longévité, biomimétisme et préservation tissulaire. L’objectif principal de cette approche est de limiter l’invasion biologique en conservant un maximum d’émail, ce qui améliore l’adhésion et la longévité de la restauration [2].

Cet article illustre les étapes dans le cas de la réhabilitation d’une incisive centrale maxillaire à l’aide d’une facette en céramique. L’analyse esthétique, la prise de teinte, la préparation et le protocole de collage, afin d’obtenir le meilleur résultat esthétique possible, sont détaillés.

Présentation du cas et anamnèse

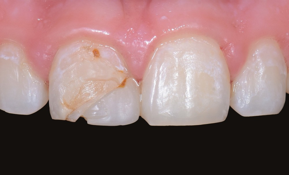
Une patiente de 18 ans est adressée au cabinet en raison d’une gêne esthétique liée à sa centrale maxillaire droite, qu’elle considère comme inesthétique. Son état général est satisfaisant et aucun antécédent médical majeur n’est rapporté. L’examen clinique révèle la présence d’une gingivite légère liée à une hygiène bucco-dentaire insuffisante. Des taches blanches généralisées évocatrices d’une fluorose modérée, ainsi que des taches blanches localisées sur 11 et 23, caractéristiques d’une hypominéralisation incisivo-molaire (MIH), sont également observées [3]. La dent #11 a subi un traumatisme en 2015, ayant nécessité plusieurs restaurations en composite successives et sa dévitalisation. Une radiographie rétro-alvéolaire confirme la réalisation satisfaisante du traitement canalaire.

Cet article est réservé aux abonnés.
Pour lire la suite :

Vous êtes abonné.e ? Connectez-vous
Mot de passe
oublié ?

Vous pouvez également :

Acheter l'article En version numérique
Acheter le numéro À l'unité

Thèmes abordés

Sur le même sujet

Esthétique

Article réservé à nos abonnés Éclaircissement dentaire sans empreinte. Une pratique moderne portée par l’assistant(e) dentaire

L’éclaircissement dentaire peut être réalisé à domicile (technique ambulatoire) à l’aide de gouttières porte-gel sur mesure fabriquées après prise d’empreinte...
Esthétique

Article réservé à nos abonnés Le collage des facettes : protocole et astuces

Responsable de séance : Romain Cheron Opérateur : Anthony Atlan Conférencier : Maxime Drossart Planification et préparation du cas clinique Une patiente consulte...
Esthétique

Article réservé à nos abonnés Production des aligneurs au cabinet

Le flux de production au cabinet Le flux de travail (fig. 1) commence par une empreinte optique réalisée à l’aide d’un...
Esthétique

Article réservé à nos abonnés Fermer les triangles noirs grâce à l’ODF

Le mot de la rédaction Les triangles noirs : voilà un sujet qui suscite tout notre intérêt ! En tant qu’orthodontistes, quels sont les facteurs...
Esthétique

Article réservé à nos abonnés Réhabilitation esthétique globale et correction d’un plan esthétique oblique

L’équilibre esthétique du sourire repose sur l’alignement des structures dentaires et gingivales avec les lèvres et certains repères faciaux. Face...
Esthétique

Article réservé à nos abonnés Esthétique et réhabilitation globale : l’omnispécialité

Aujourd’hui, de plus en plus de praticiens réalisent des actes qui étaient auparavant réservés aux spécialistes comme la parodontologie, l’implantologie,...