Réhabilitations totales sur implants. Un protocole numérique hybride optimisé, mis à l’épreuve

  • Par
  • Publié le . Paru dans L'Information Dentaire n°37 - 29 octobre 2025 (page 36-44)
Information dentaire
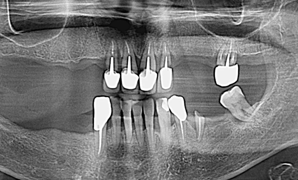
Cet article présente le protocole GuideX combinant planification virtuelle, chirurgie guidée statique, et empreinte physique. Il permet, de manière parfaitement reproductible, la conception et la réalisation de mises en charge immédiates contrôlées.

Réhabiliter une arcade complète par des implants exige une planification prothétique et chirurgicale parfois complexe ainsi qu’une retranscription clinique du projet virtuel compliquée par des erreurs d’enregistrement et/ou par l’utilisation des différents dispositifs de guidage. Les outils numériques ont gagné en maturité, mais l’écart entre validations in vitro et performances cliniques persiste en arcade complète.

La mise en charge immédiate s’appuie aujourd’hui sur deux familles de stratégies : convertir une prothèse provisoire préparée en amont ou enregistrer, de façon per ou post-opératoire, les positions implantaires pour concevoir le provisoire. Chacune offre des atouts, mais impose aussi des contraintes organisationnelles et métrologiques, surtout en contexte édenté complet.

Dans ce cadre, l’objectif de cet article est de présenter un protocole numérique hybride appelé GuideX, d’en préciser la logique et le déroulé clinique, puis d’en discuter la place par rapport aux scanners intra-oraux et à la photogrammétrie selon des critères de précision, de reproductibilité et de coût/usage. Ce protocole hybride GuideX simplifie l’acte chirurgical tout en garantissant une fidélité élevée de l’empreinte des positions implantaires et du projet prothétique provisoire.

Enjeux cliniques et métrologiques

La littérature montre une reproductibilié des résultats constante en arcade complète : la stéréophotogrammétrie (SPG) délivre des écarts 3D moyens plus faibles et des dispersions plus serrées que les scanners intra-oraux (IOS), avec un écart type dans les déviations angulaires variant de ~0,2 à 0,8° et des erreurs de surface de l’ordre de 10-90 µm, souvent proches des empreintes conventionnelles solidarisées bien conduites [1] ; les IOS restent fiables pour des distances interimplantaires courtes, mais présentent des variations plus élevées dans le cas d’empreinte d’arcade complète (jusqu’à…

Cet article est réservé aux abonnés.
Pour lire la suite :

Vous êtes abonné.e ? Connectez-vous
Mot de passe
oublié ?

Vous pouvez également :

Acheter l'article En version numérique
Acheter le numéro À l'unité

Thèmes abordés

Sur le même sujet

Implantologie chirurgicale

Article réservé à nos abonnés Rencontre avec Pierre Keller :
gestion des tissus mous péri-implantaires

Responsable de séance : Franck Afota Extraction–implantation immédiate (EII) : volumes osseux et gingivaux suffisants Lorsque les volumes osseux et gingivaux sont...
Implantologie Implantologie chirurgicale

Article réservé à nos abonnés Gestion d’un défaut de cicatrisation du plancher sinusien à l’aide d’une membrane en magnésium : rapport de cas

L’élévation sinusienne par voie latérale est une technique fréquemment utilisée en implantologie pour compenser une perte osseuse verticale au niveau...
Implantologie chirurgicale

Article réservé à nos abonnés De l’hypersensibilité à la stabilité : une situation mucogingivale

Cas clinique Une patiente âgée de 34 ans, ne présentant aucune pathologie systémique connue et sans antécédents de tabagisme, consulte...
Implantologie chirurgicale

Article réservé à nos abonnés Récessions, hypersensibilité dentinaire et impact sur la qualité de vie

Cas clinique Une patiente vient consulter en raison de douleurs dentaires diffuses qui s’intensifient au brossage. Gênée par des récessions...
Implantologie chirurgicale

Article réservé à nos abonnés L’efficacité des brossettes interdentaires
Optimisation de la prescription pour une meilleure hygiène parodontale

Contexte L’implication quotidienne du patient dans le contrôle de plaque conditionne sa santé parodontale et contribue à une bonne santé...
Implantologie chirurgicale

Article réservé à nos abonnés Implantation immédiate et pilier personnalisé : une solution face à l’absence de stabilité primaire

Dans un monde où la rapidité et l’efficacité sont des attentes croissantes, l’implantologie immédiate se positionne comme une solution attrayante,...