Responsable de séance : Franck Afota
Extraction–implantation immédiate (EII) : volumes osseux et gingivaux suffisants
Lorsque les volumes osseux et gingivaux sont suffisants, l’extraction est réalisée de façon atraumatique. Un forage sans irrigation permet de récupérer de l’os autogène, appliqué en vestibulaire de l’implant avant le comblement du « gap ». La fermeture du site repose sur l’utilisation d’un greffon para- ou tubérositaire désépithélialisé, positionné par sutures ou glissement « en pantalon », assurant la stabilité du biomatériau (fig. 1). En cas de prélèvement tubérositaire, une désépithélialisation rigoureuse, voire l’inversion du greffon, est nécessaire pour limiter la prolifération tissulaire.
Récession gingivale associée
En présence d’une récession gingivale sur un support osseux suffisant, un greffon épithélio-conjonctif palatin est utilisé dans une poche élargie, avec une exposition partielle contrôlée pour favoriser la revascularisation et compenser la perte tissulaire.
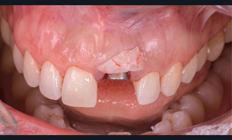
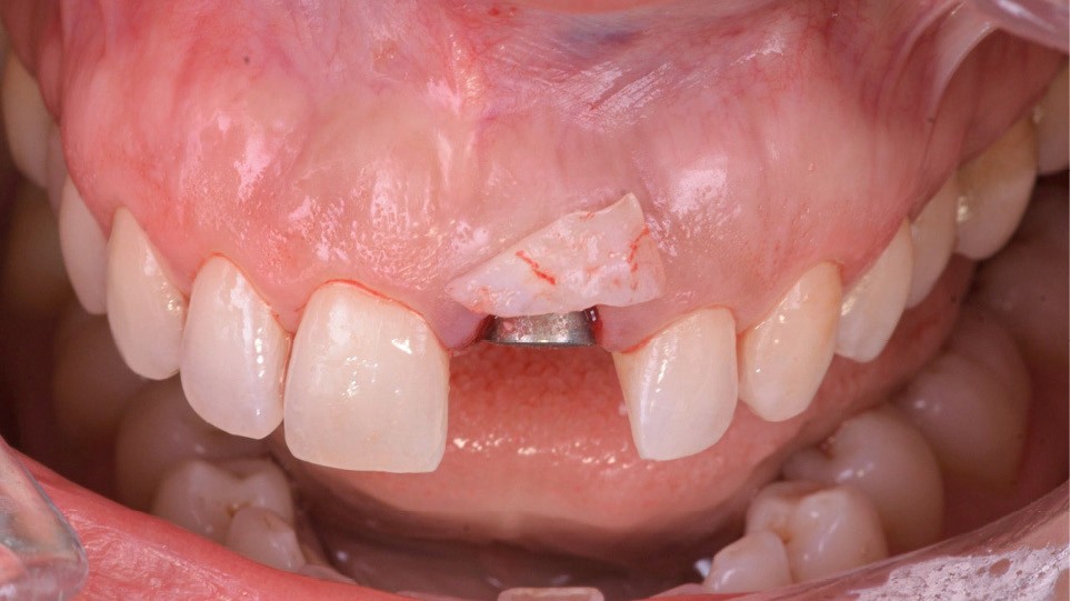
Déficit osseux vestibulaire limité : la technique IDR (Immediate Dentoalveolar Restoration)
Lorsque le déficit osseux vestibulaire est modéré, la technique IDR décrite par Da Rosa [1] peut être envisagée. Elle repose sur un prélèvement osseux tubérositaire sous forme de bloc cortical, ajusté et stabilisé au niveau du défaut (fig. 2), complété par de l’os particulaire tubérositaire, sans recours à un biomatériau. Un greffon conjonctif est positionné en vestibulaire, et la mise en place d’une prothèse provisoire en sous-occlusion est indispensable pour stabiliser le volume reconstruit.
En cas de déficit osseux et gingival associé, la technique du « triple graft » combine un prélèvement osseux et gingival tubérositaire solidaire.
Extraction–implantation immédiate (EII) impossible
Dans les secteurs antérieurs…

