Traitement de l’agénésie d’une incisive mandibulaire par un bridge cantilever

  • Par
  • Publié le . Paru dans Réalités Cliniques n°1 - 15 mars 2018
Information dentaire

La présence d’une ou plusieurs agénésies en secteur antérieur constitue un motif de consultation fréquent de nos jeunes patients. Une prévalence de 10 à 25% est rapportée dans la littérature [1].
Si la solution implantaire fait référence dans la gestion de ces cas, il persiste de nombreuses contre-indications à celle-ci (âge du patient, notamment si l’on considère les risques de croissances tardives, espaces réduits, défaut osseux) [2]. Le recours à un bridge collé métallique est alors une alternative largement décrite. Face au défi que représente l’intégration prothétique sur le plan esthétique et grâce à l’évolution des matériaux, certains auteurs ont proposé la confection de bridge collé en céramique. Ces derniers seront réalisés préférentiellement en cantilever, des études ayant démontré de meilleurs résultats avec une ailette par rapport à l’approche plus conventionnelle à deux ailettes [3].
 

Examen clinique

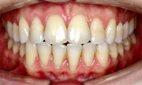
Une patiente de 22 ans se présente au cabinet pour un avis esthétique relatif à ses incisives centrales mandibulaires (fig.1).
La patiente présente une agénésie de 31. À la suite d’un traitement orthodontique à l’adolescence, une résine composite avait été réalisée en technique directe sur la dent lactéale. Une contention post-
orthodontique a permis le maintien de cette dent sur l’arcade. Cette thérapeutique représentait alors une solution esthétique et fonctionnelle transitoire.
Le vieillissement de la résine composite associé à la mobilité de la 71 constitue le motif de consultation principal. La patiente est également gênée par la présence d’une tâche blanche disgracieuse sur la 41 (fig.1).
L’examen clinique révèle une anomalie de forme et de teinte de la restauration, un décollement partiel de la contention linguale et une mobilité terminale de la dent lactéale associée à une importante inflammation gingivale. L’examen radiographique confirme l’agénésie de 31 et…

Cet article est réservé aux abonnés.
Pour lire la suite :

Vous êtes abonné.e ? Connectez-vous
Mot de passe
oublié ?

Vous pouvez également :

Acheter l'article En version numérique
Acheter le numéro À l'unité

Thèmes abordés

Sur le même sujet

Esthétique

Article réservé à nos abonnés Éclaircissement dentaire sans empreinte. Une pratique moderne portée par l’assistant(e) dentaire

L’éclaircissement dentaire peut être réalisé à domicile (technique ambulatoire) à l’aide de gouttières porte-gel sur mesure fabriquées après prise d’empreinte...
Esthétique

Article réservé à nos abonnés Le collage des facettes : protocole et astuces

Responsable de séance : Romain Cheron Opérateur : Anthony Atlan Conférencier : Maxime Drossart Planification et préparation du cas clinique Une patiente consulte...
Esthétique

Article réservé à nos abonnés Production des aligneurs au cabinet

Le flux de production au cabinet Le flux de travail (fig. 1) commence par une empreinte optique réalisée à l’aide d’un...
Esthétique

Article réservé à nos abonnés Fermer les triangles noirs grâce à l’ODF

Le mot de la rédaction Les triangles noirs : voilà un sujet qui suscite tout notre intérêt ! En tant qu’orthodontistes, quels sont les facteurs...
Esthétique

Article réservé à nos abonnés Réhabilitation minimalement invasive d’une incisive centrale par une facette unitaire en céramique

La restauration d’une incisive centrale unitaire constitue un défi clinique majeur en raison de son rôle fondamental dans l’esthétique du...
Esthétique

Article réservé à nos abonnés Réhabilitation esthétique globale et correction d’un plan esthétique oblique

L’équilibre esthétique du sourire repose sur l’alignement des structures dentaires et gingivales avec les lèvres et certains repères faciaux. Face...