Cas n° 2
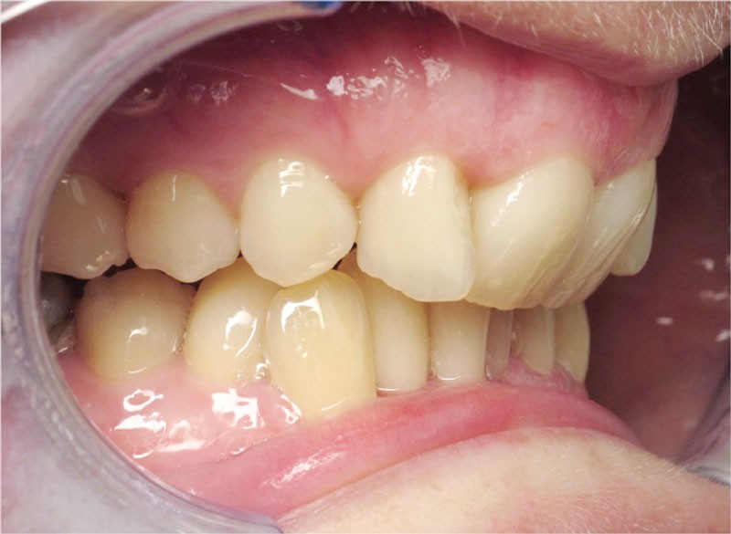
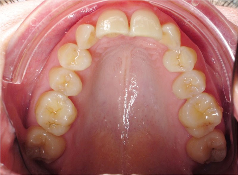
Nous lui avons donc proposé un traitement d’alignement avec maintien des 14 et 24 en position de 13 et 23 et optimisation du torque pour favoriser un développement des arcades et chercher à améliorer le sourire et le soutien labial.
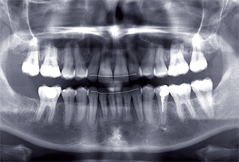
La patiente donne son accord pour un appareillage Damon Insignia métal qui permet une individualisation complète des brackets dans les 3 sens de l’espace.
Le projet thérapeutique
Un appareillage Damon métal a été mis en place, réalisé à partir d’un set up numérique Insignia pour obtenir un contrôle précis des torques et de la forme d’arcade et réduire le temps de finition grâce à un collage indirect très précis.
De larges surélévations postérieures étalées ont été mises en place et la patiente a porté des élastiques précoces suivant les principes de la technique Damon. Les 14 et 24 rempliront le rôle des 13 et 23.
L’objectif, en utilisant la technique Insignia est de réduire le temps de traitement de 28 à 18 mois avec 12 rendez-vous (fig. 5 à 14).
Conclusion
Les objectifs de traitement ont été remplis. Nous avons observé un excellent contrôle du torque et une absence de perte de l’occlusion postérieure grâce à la technique Insignia.


























