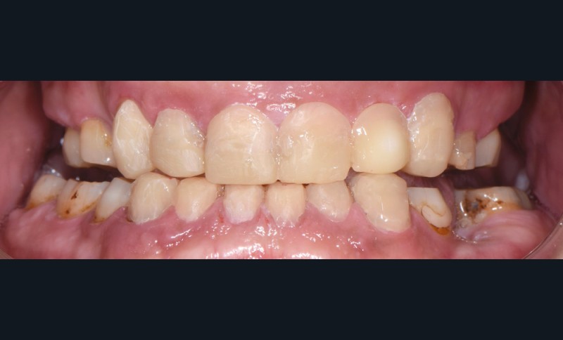
Traitement
Au vu du contexte para-fonctionnel et de l’étendue de la perte tissulaire, des coiffes périphériques minimalement invasives ont été choisies afin de restaurer l’esthétique et la fonction. Actuellement, aucun consensus n’est fait sur le choix du matériau d’infrastructure à privilégier. Les matériaux hybrides usinables présentent des propriétés mécaniques, physiques et biologiques intéressantes en contexte d’usure sévère (e.g., module d’élasticité, résistance à la propagation de fêlures, facilité de réintervention). Une réhabilitation globale avec remontée de dimension verticale d’occlusion (DVO) par l’intermédiaire de coiffes composites renforcés en nano-céramiques est décrite.












Les auteurs remercient le laboratoire Bertin, Bordeaux, ainsi que Madame Delphine Bibard pour leur précieuse aide dans la réalisation de ce cas.





















