Syndrome du fil

ODF

Article réservé à nos abonnés Le syndrome du fil, d’une détection précoce difficile au repérage aisé des cas sévères

Historique de la découverture du syndrome du fil (tableau 1) En 2007, Katsaros et al. [1] publient le rapport d’un cas...
ODF

Article réservé à nos abonnés Conduite à tenir face à un syndrome du fil, illustration au travers d’un cas clinique

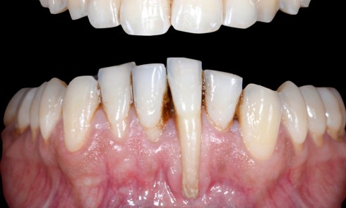
Définition du syndrome du fil Un traitement orthodontique est usuellement suivi de la mise en place d’une contention fixe collée...
ODF, Parodontologie

Article réservé à nos abonnés Le « syndrome du fil » de contention collé en orthodontie

Les effets indésirables des fils de contention collés Les contentions par fils collés maintiennent l’esthétique dans les régions antérieures sans...