Le 13 juin dernier le Cercle Franco-Libanais d’Implantologie et de Parodontologie (CFLIP),
sous la présidence de Pierre Cherfane, recevait Nadim Aboujaoude dans le cadre des soirées trimestrielles. Cet éminent clinicien, maître de conférences, assistant clinique à l’hôpital universitaire américain de Beyrouth, pionnier de l’implantologie prothétique au Moyen-Orient, a partagé le fruit de son expérience concernant la dynamique du sourire et son traitement interdisciplinaire.
N’omettant pas que l’appréciation esthétique recouvre un cadre général qui englobe les créations de la nature et celles de l’humanité, Nadim Aboujaoude a gratifié l’assistance de photographies et vidéos récentes du Liban où il réside, transfiguré par d’impressionnantes précipitations neigeuses. Belle entrée en matière pour un sujet dont le fil conducteur interroge le naturel, les points de vue habituels et les situations exceptionnelles.
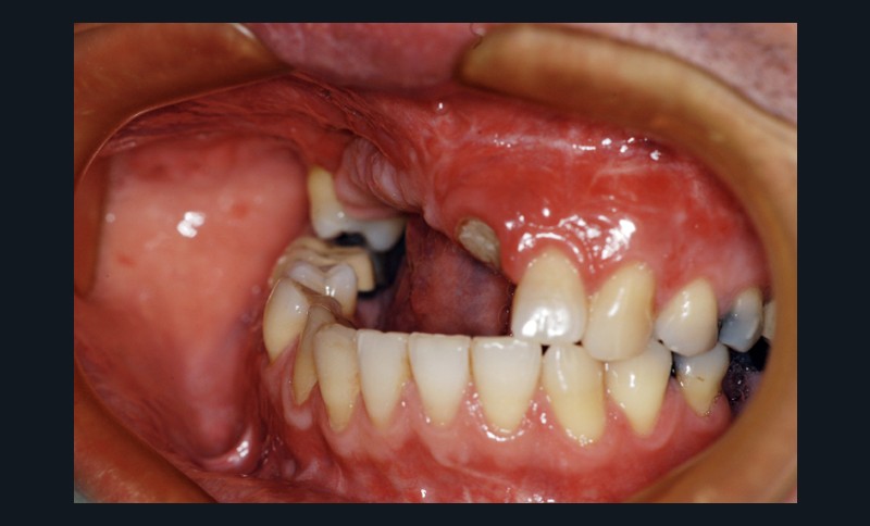
Car ce sont bien des situations cliniques exceptionnelles que ce conférencier a prises en charge, non pas seul, mais en constituant une équipe multidisciplinaire plus à même de relever les défis fonctionnels, structurels, biologiques et esthétiques en présence. Après avoir passé en revue les composants essentiels à l’obtention d’un sourire équilibré, Nadim Aboujaoude a évoqué les travers des traitements dits esthétiques mais conduits sans planification globale et qui engendrent des résultats disgracieux. Depuis de nombreuses années, l’engouement pour les solutions esthétiques ne faiblit pas. La divulgation médiatique des progrès technologiques et chirurgicaux réels encourage une part croissante de la population à recourir à des procédures souvent fiables, mais parfois portées au-delà des limites raisonnables. Ainsi, des traitements de médecine esthétique inadaptés engendrent un effet de « ligne de sourire basse » accompagné d’une exposition exagérée des incisives mandibulaires.
La demande de correction de cette anomalie esthétique incite les patientes à rechercher une compensation prothétique (à travers un abaissement des bords incisifs maxillaires visant à rendre sa visibilité au groupe incisivo-canin maxillaire) qui concoure à recomposer les rapports des étages de la face (en minorant l’étage inférieur et majorant l’étage moyen). La reprise de ces cas cliniques se révèle particulièrement délicate et repose sur une analyse rigoureuse des clefs esthétiques de l’harmonie du sourire et de son rayonnement au sein du visage.
Concernant le versant orthodontique des traitements multidisciplinaires, Nadim Aboujaoude intègre cette thérapeutique moins invasive à ses traitements multidisciplinaires sans rechercher une occlusion de classe 1 mais en privilégiant l’obtention de situations facilitant les solutions prothétiques, parodontales ou implantaires : en redistribuant et optimisant les espaces prothétiques, en corrigeant les malpositions dentaires, en remplaçant les dents compromises par les dents adjacentes, en harmonisant les contours gingivaux, en optimisant l’inclinaison des racines dentaires et en créant des volumes osseux favorables à la mise en place d’implants. À l’issue d’une présentation riche en prise en charge thérapeutique de cas complexes, le conférencier a clairement démontré que toute solution thérapeutique ne peut se concevoir et s’établir que dans une logique multidisciplinaire axée sur la concertation.
Emmanuel Gouët
Hadi Antoun
La prochaine soirée du CFLIP accueillera le Dr Pierre Keller : « De la reconstruction simple
à la reconstruction complexe, les clés de la stabilité de l’os autogène ».
Mercredi 2 octobre aux Salons de L’Étoile Hôtel Napoléon
38-40 avenue de Friedland 75008 Paris
Inscriptions et informations :
www.cflip.fr
 
	
	
						 
							
							
							
						





 
					 
					 
			 
			 
			 
			 
			 
			 
						 
	 
									 
													 
									 
									
Commentaires