Autotransplantation assistée par impression 3D

  • Par
  • Publié le . Paru dans L'Information Dentaire n°16 - 29 avril 2026 (page 42-45)
Information dentaire
L’autotransplantation dentaire est une technique chirurgicale visant à remplacer une dent absente ou non conservable par une autre dent du même patient. Cette approche connaît un regain d’intérêt grâce à la démocratisation de l’impression 3D.

Cas clinique

Une patiente de 17 ans a été adressée par son chirurgien-dentiste traitant pour avulsions des 16 et 26. Elle ne présentait aucun antécédent médical notable, aucun traitement médicamenteux en cours et aucune allergie connue. L’autorisation de soins sur mineur était obtenue. L’examen exobuccal n’a rien révélé de particulier. L’examen endobuccal montrait des lésions carieuses au niveau des quatre premières molaires. L’hygiène orale était perfectible.

L’orthopantomogramme a confirmé une atteinte carieuse des quatre premières molaires, et a révélé des traitements endodontiques déjà réalisés sur 36 et 46 (fig. 1). Les quatre germes des dents de sagesse étaient présents, avec une couronne formée et un tiers de la racine édifiée (Stade 7 de Nolla).

Après enseignement d’une hygiène orale adaptée et la patiente semblant motivée, il a été décidé de réaliser une autotransplantation de 28 à la place de 26, qui n’était pas restaurable. Une technique en deux temps, assistée par impression 3D, a été choisie. Pour cela, un CBCT a été prescrit. Les soins conservateurs sur les autres dents ont aussi été programmés, y compris sur la 16 jugée conservable.

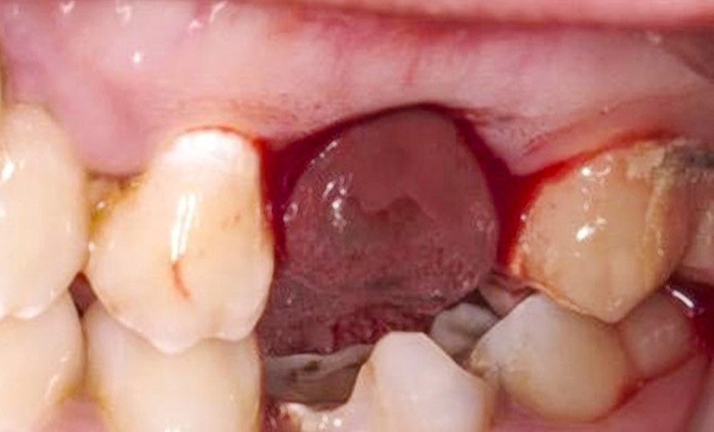
Le premier temps opératoire a consisté à préparer le site receveur. Pour cela, l’avulsion de la 26 a été réalisée trois semaines avant de réaliser l’autotransplantation proprement dite, de manière à pouvoir bénéficier d’un site receveur osseux hypervascularisé en pleine cicatrisation.

Une réplique du transplant a été réalisée à partir de la segmentation de la dent 28 sur le CBCT à l’aide d’un logiciel de planification, puis imprimée en 3D en résine transparente biocompatible avec une imprimante 3D.

Lors du deuxième temps opératoire dédié à l’autotransplantation, un curetage léger de l’alvéole en cours de cicatrisation a été réalisé, suivi de l’essayage de la réplique du transplant (fig. 2). Après…

Cet article est réservé aux abonnés.
Pour lire la suite :

Vous êtes abonné.e ? Connectez-vous
Mot de passe
oublié ?

Vous pouvez également :

Acheter l'article En version numérique
Acheter le numéro À l'unité

Thèmes abordés

Sur le même sujet

Odontologie restauratrice

Article réservé à nos abonnés Dentisterie restauratrice : flux numérique et impression 3D

La fabrication additive des pièces prothétiques On distingue deux grandes méthodes de fabrication assistée par ordinateur : la fabrication soustractive...
Odontologie restauratrice

Article réservé à nos abonnés Restaurations partielles collées après radiothérapie de la sphère oro-faciale : promesse risquée ou solution thérapeutique fiable ?

Le cas clinique présenté ici illustre cette démarche thérapeutique. À la suite d’un diagnostic de cancer des voies aérodigestives supérieures,...
Odontologie restauratrice

Article réservé à nos abonnés Réhabilitation fonctionnelle et esthétique d’une amélogenèse imparfaite hypoplasique

L’amélogenèse imparfaite (AI) constitue un ensemble de pathologies génétiques rares affectant la formation de l’émail, avec une prévalence estimée à...
Odontologie restauratrice

Article réservé à nos abonnés Réfection d’un bridge de type Rochette par un bridge collé cantilever antérieur en disilicate de lithium

Les bridges collés en cantilever, à la lumière du travail des pionniers, le Pr Mathias Kern de l’université de Kiel...
Odontologie restauratrice

Article réservé à nos abonnés Risque de récidive orthodontique et bridge cantilever : quid de la contention ?

La proportion de patients présentant une ou des agénésies d’incisives latérales maxillaires est fréquente, touchant environ 4,6 % des hommes et...
Odontologie restauratrice

Article réservé à nos abonnés Les bridges collés cantilevers en céramique antérieurs à l’épreuve du temps

L’édentement unitaire du secteur antérieur constitue l’une des situations cliniques parmi les plus délicates à prendre en charge, tant sur...