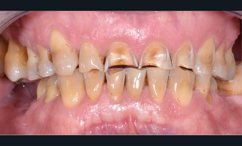
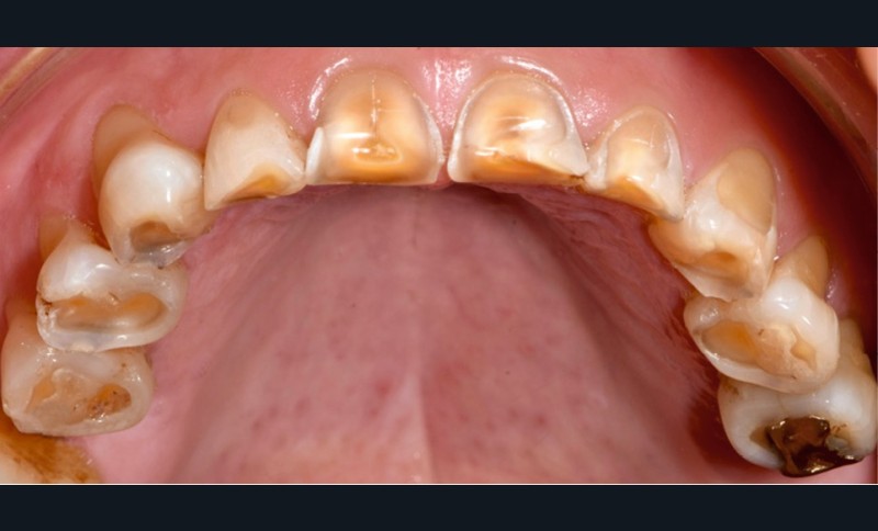
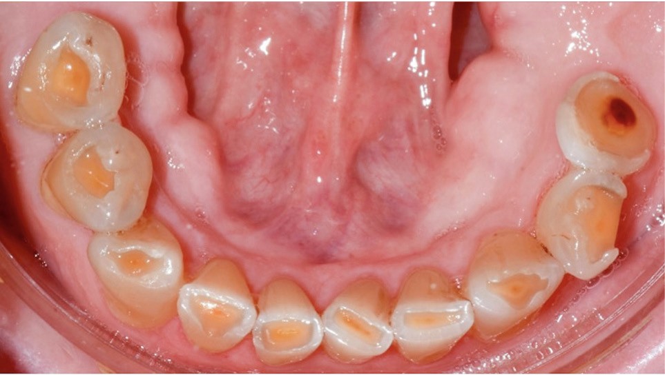
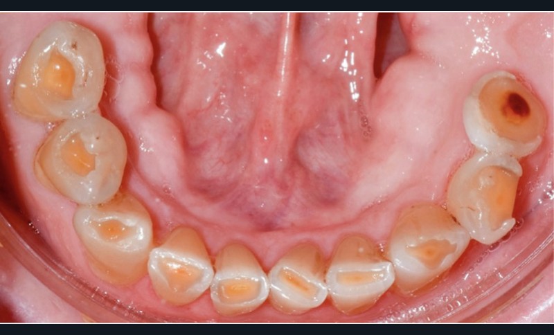
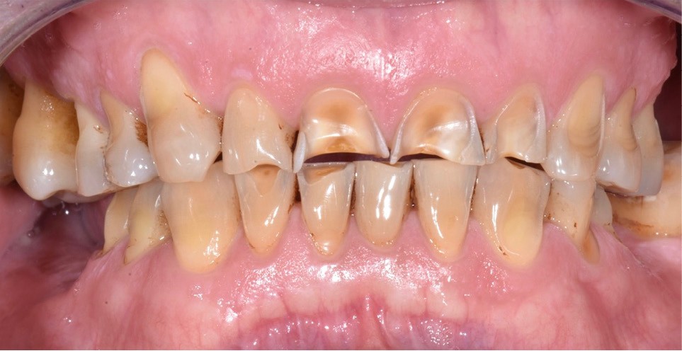
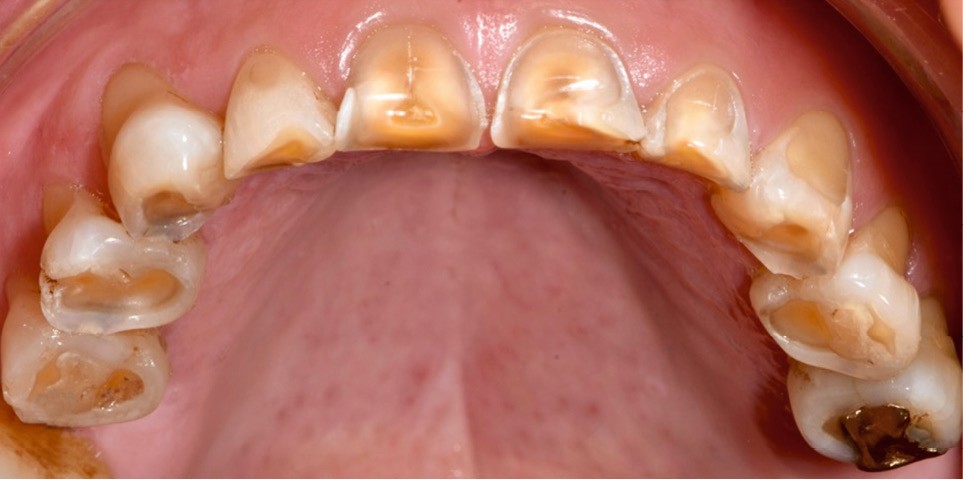
Le cas clinique présenté ici illustre cette démarche thérapeutique. À la suite d’un diagnostic de cancer des voies aérodigestives supérieures, un patient de 68 ans a bénéficié d’un traitement par radiothérapie cervico-faciale, terminée depuis plus de 2 ans. Il souhaite désormais retrouver une réhabilitation fonctionnelle et esthétique de sa cavité orale. Il indique que le délabrement de ses dents antérieures est à l’origine d’un important préjudice esthétique, qui l’a conduit à ne plus sourire. De plus, ses dents absentes réduisent fortement ses capacités masticatoires. Ces différents facteurs influent donc directement son estime de soi et sa qualité de vie, paramètres clés de la rémission dans le cadre oncologique. À l’examen clinique, il présente une perte de calage postérieur, avec des édentements terminaux secteur 2 et 4, ainsi que de volumineuses pertes de substance au niveau des dents présentes (fig. 1).
Bien qu’étant à l’initiative de sa propre prise en charge, le patient reste très anxieux lors de la réalisation des soins, en raison de ses antécédents locaux. Dans ce contexte, une prise en charge thérapeutique conciliant des restaurations partielles collées et des prothèses amovibles à châssis métallique a donc été réalisée, en tâchant d’optimiser la séquence thérapeutique pour limiter le nombre de séances et maintenir la coopération du patient. Nous détaillerons ici les étapes clés de la réalisation des éléments collés.
Modification du substrat dentaire à la suite de la radiothérapie
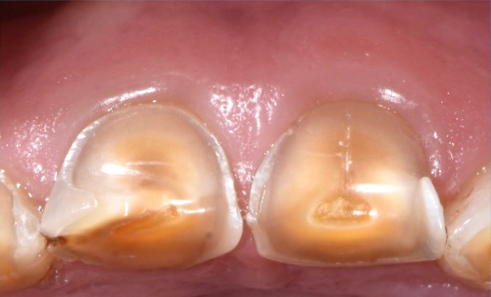
La radiothérapie orofaciale a des répercussions biologiques et cliniques sur les tissus dentaires. En effet, elle modifie à la fois la composition et la structure de l’émail et de la dentine. Tout d’abord, au niveau de l’émail, une diminution de la cristallinité de l’hydroxyapatite peut être observée, ce qui augmente la solubilité…



