Des années de symptômes… au diagnostic : un cas révélateur de SAHOS chez l’enfant

  • Par
  • Publié le . Paru dans L'Information Dentaire n°5 - 15 décembre 2025 (page 29-33)
Information dentaire

Les enfants présentant un trouble respiratoire obstructif du sommeil (TROS) nécessitent une prise en charge pluridisciplinaire dans laquelle l’orthodontiste peut jouer un rôle important. Il arrive parfois que nous accueillions ces patients sans prendre conscience du parcours thérapeutique que ces familles ont déjà traversé en amont de ce premier rendez-vous. Le cas clinique décrit aurait pu être présenté uniquement à partir de photographies et de radiographies avant et après expansion maxillaire rapide (EMR ; disjonction), accompagnées des valeurs objectives chiffrées. Cependant, cela n’aurait pas permis d’illustrer ce parcours, le vécu de cette famille ni les difficultés rencontrées.

Le contexte est le suivant :

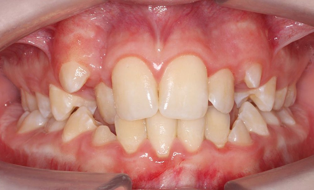
En avril de cette année 2025, Nathan1 est venu consulter accompagné de sa mère, sur les recommandations de son pédiatre et de son neurologue spécialiste du sommeil. Une polysomnographie réalisée en janvier de cette même année avait révélé une Index d’Apnées Hypopnées Obstructives (IAHO) de 39,6, une valeur très sévère pour un enfant. À la suite de cet examen, ce jeune patient de 12 ans a été opéré en mars en urgence, avec une ablation des végétations et des amygdales. Après l’intervention, son score de la somnolence dans la journée est passé de 16 à 10 selon l’échelle de Somnolence d’Epworth2 [1]. Lors de ce premier rendez-vous en vue d’un traitement d’orthodontie, l’examen clinique a mis en évidence une Classe I molaire, une ectopie des 13 et 23 associée à une déviation des médianes incisives ainsi qu’une dysharmonie dentoalvéolaire modérée. Il n’y avait pas d’occlusion inversée des secteurs latéraux, mais le palais était profond et la typologie faciale hyperdivergente (fig. 1). Une expansion maxillaire rapide (EMR) a été programmée en avril avec une activation matin et soir pendant 15 jours. Ainsi, 6 millimètres d’expansion transversale ont été obtenus. Un…

Cet article est réservé aux abonnés.
Pour lire la suite :

Vous êtes abonné.e ? Connectez-vous
Mot de passe
oublié ?

Vous pouvez également :

Acheter l'article En version numérique
Acheter le numéro À l'unité

Thèmes abordés

Sur le même sujet

ODF

Article réservé à nos abonnés Ronflements pathologiques, apnées et hypopnées obstructives : qu’entend-on par les troubles respiratoires obstructifs du sommeil de l’enfant (TROS) ?

Un sommeil de qualité est essentiel au développement harmonieux de l’enfant. Les troubles respiratoires obstructifs du sommeil (TROS) perturbent ce...
ODF

Article réservé à nos abonnés Syndrome d’apnées obstructif du sommeil et chirurgie

Collapsus pharyngé et décision chirurgicale Le collapsus pharyngé à l’origine du SAOS peut résulter de mécanismes variés, souvent associés. L’hypertrophie...
ODF

Article réservé à nos abonnés Rééducation et apnées du sommeil : du dépistage précoce à la personnalisation thérapeutique

Vers une médecine des 4P Le syndrome d’apnées-hypopnées obstructives du sommeil (SAHOS) touche aujourd’hui plusieurs millions de Français, et sa...
ODF

Article réservé à nos abonnés SAHOS et santé mentale de l’enfant et de l’adolescent

Le sommeil est essentiel pour la santé et le bien-être des enfants. Il est composé de patterns multidimensionnels d’alternances veille-sommeil,...
ODF

Article réservé à nos abonnés Le débaguage orthodontique, l’Art de conclure sans abîmer ! La fin du traitement ou le début d’une nouvelle responsabilité ?

Le débaguage orthodontique : la grande omerta d’une étape pourtant décisive Le débaguage orthodontique consiste dans le retrait des attaches orthodontiques collées sur...
ODF

Article réservé à nos abonnés L’assemblage collé en orthodontie (Partie 4) : cahier des charges, importance de la polymérisation et classification des colles

Le collage est un acte quotidien en orthodontie, dont la maîtrise est essentielle et conditionne le bon déroulement des thérapeutiques...