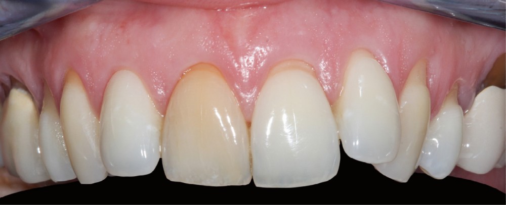
L’éclaircissement dentaire peut être réalisé à domicile (technique ambulatoire) à l’aide de gouttières porte-gel sur mesure fabriquées après prise d’empreinte (fig. 1), ou au cabinet par application de gel après isolation et protection des tissus mous (fig. 2).
Depuis quelques années, les techniques évoluent. À côté de ces protocoles classiques, une nouvelle approche s’impose : l’éclaircissement sans empreinte, reposant sur l’utilisation de gouttières préchargées prêtes à l’emploi. Parmi ces solutions, Opalescence Go® occupe une place de référence (fig. 3).
La technique d’éclaircissement sans empreinte permet de simplifier les protocoles tout en renforçant le rôle de l’assistant(e) dentaire. Ce type de traitement valorise ses compétences en information, en pédagogie et en accompagnement, au bénéfice direct du patient et de l’organisation du cabinet.
Comprendre l’éclaircissement dentaire : les bases utiles à l’assistant(e)
Les dyschromies dentaires correspondent à une modification de la couleur naturelle des dents. Elles peuvent être d’origine :
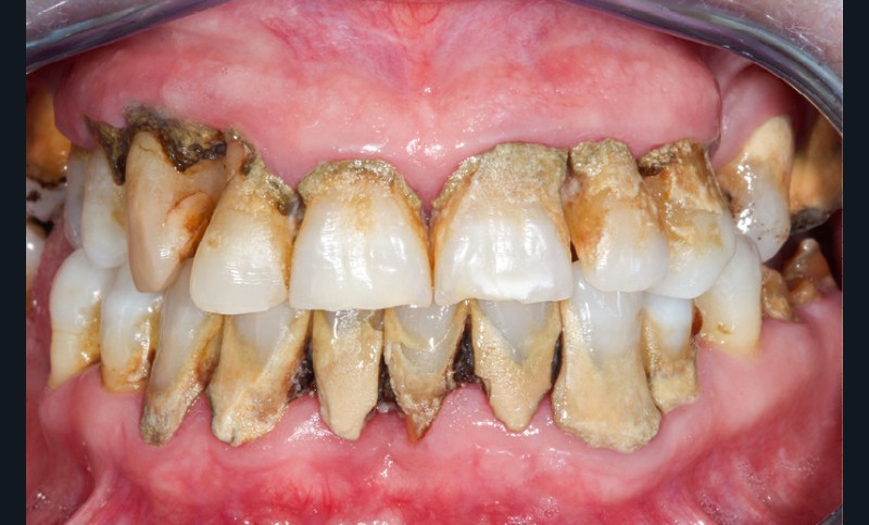
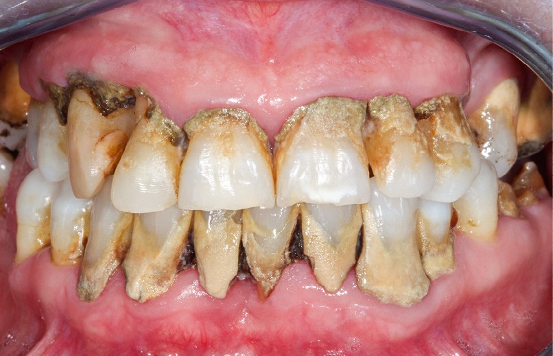
• Extrinsèques : liées aux colorations de surface (tabac, café, thé, vin rouge, alimentation, tartre ou plaque bactérienne) (fig. 4).
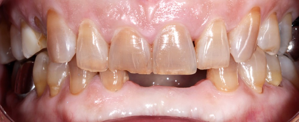
• Intrinsèques : liées à la structure interne de la dent :
– Vieillissement.
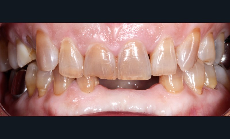
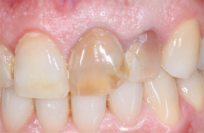
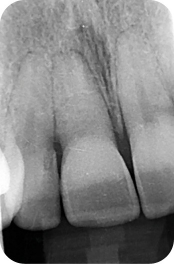
– Traumatismes (fig. 5a, b).
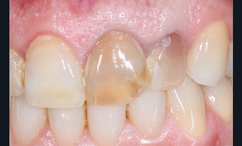
– Iatrogène (à la suite de traitements endodontiques ou à l’amalgame d’argent) (fig. 6a, b).
– Médicaments (tétracyclines) (fig. 7).
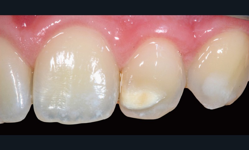
– Fluorose légère, hypominéralisation de l’émail (fig. 8).
Chaque technique d’éclaircissement répond à des indications spécifiques, à des attentes esthétiques différentes et à un niveau d’accompagnement variable au sein du cabinet. L’éclaircissement repose sur…









