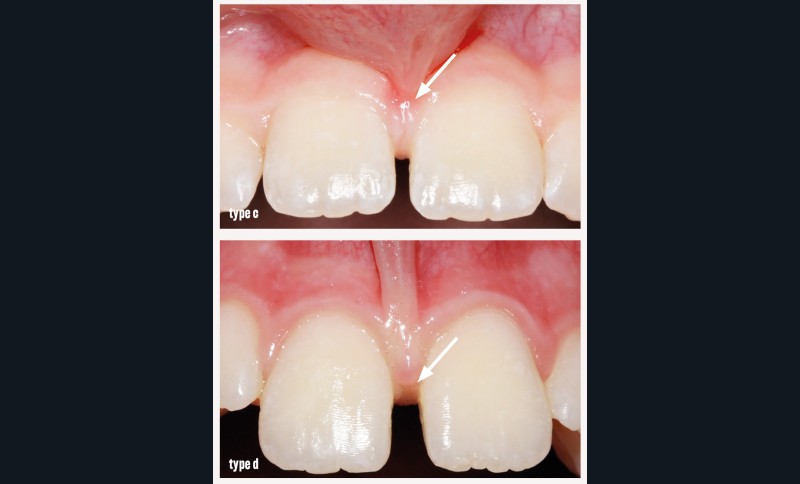
Classification des freins interincisifs
Bien qu’ancienne, la classification de Placek [Mirko et al. 1974, 1] reste d’actualité, car elle est simple d’utilisation et pragmatique. Quatre types de frein sont distingués en fonction de la situation de leur insertion coronaire :
• type a : frein avec une insertion muqueuse, au niveau de la ligne muco-gingivale ;
• type b : frein avec une insertion au niveau de la gencive attachée ;
• type c : frein avec une insertion au niveau de la gencive papillaire ;
• type d : frein interdentaire avec une insertion qui rejoint la papille bunoïde.
Généralement, l’indication parodontale des freinectomies concerne le type c avec mobilisation de la gencive marginale et le type d.
Présentation de la situation clinique
Une jeune patiente âgée de 15 ans, bénéficiant d’un traitement orthodontique depuis deux ans, est adressée au département de parodontologie du CHU de Nice pour une blessure du frein médian maxillaire, apparue à la suite de la fermeture orthodontique du diastème interincisif. Le jour de la consultation, la patiente décrit également la présence d’une « boule au palais », apparue en parallèle de la blessure au niveau de la zone rétro-incisive maxillaire, et explique avoir négligé ses manœuvres d’hygiène en raison des douleurs et du saignement provoqués par le brossage dentaire. L’enquête anamnestique ne révèle aucun problème de santé générale ou d’antécédent médical/chirurgical.
L’examen clinique met en évidence au niveau du secteur incisif maxillaire (fig. 1a, b) :
- la persistance du diastème interincisif ;
- un frein labial médian, érythémateux, avec une insertion coronaire hypertrophique, algique à la palpation et à la traction de la lèvre, qui mobilise par ailleurs la gencive libre mésiale des incisives centrales et la papille ;
- la présence d’une lésion nodulaire, érythémateuse…



