Infraclusion des molaires temporaires chez l’enfant. Enjeux et solutions thérapeutiques

  • Par
  • Publié le . Paru dans L'Information Dentaire n°16 - 29 avril 2026 (page 24-31)
Information dentaire
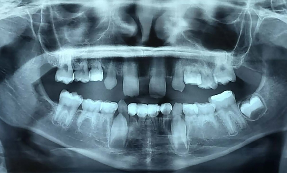
L’infraclusion dentaire désigne une dent dont la face occlusale se situe en dessous du plan d’occlusion. Cette anomalie, relativement fréquente chez l’enfant, touche le plus souvent les molaires temporaires. Son apparition est plus ou moins précoce. L’étiologie de cette altération n’est encore pas bien comprise, même si une ankylose est souvent évoquée. Cette anomalie occlusale est évolutive et peut amener à une réinclusion de la molaire temporaire. Un diagnostic précoce et un suivi régulier sont donc nécessaires afin de limiter les complications qui peuvent être associées.

La prise en soins de ces patients est variée, parfois complexe et peut nécessiter une approche pluridisciplinaire impliquant le chirurgien-dentiste (pédiatrique ou omnipraticien), l’orthodontiste et le chirurgien oral.  Elle doit être adaptée au patient et à la situation clinique. Il faudra également déterminer si cette anomalie est isolée ou associée à d’autres anomalies dans le cadre d’un syndrome.

L’objectif de cet article est de présenter cette anomalie dentaire, ses conséquences ainsi que les solutions thérapeutiques à notre disposition. Un exemple de prise en soins pluridisciplinaire réalisée au CHU de Nantes illustre notre propos.

Caractéristiques de l’infraclusion des molaires temporaires chez l’enfant

La prévalence de l’infraclusion des molaires temporaires est de 1,3 jusqu’à près de 40 %, selon les auteurs et la classification [1, 2]. Elle touche majoritairement les premières molaires temporaires mandibulaires. L’atteinte est bilatérale dans 35% des cas et se produit généralement au stade de la denture mixte, à l’âge de 8-9 ans [2]. Cette anomalie est souvent associée à d’autres anomalies dentaires, de nombre (une hypodontie est retrouvée dans 50% des cas) et/ou de forme. Elle l’est aussi le plus fréquemment à une agénésie de la prémolaire successionnelle [3]. D’autre part, les infraclusions des molaires temporaires peuvent être associées à des maladies rares, telles que l’oligodontie avec ou sans la dysplasie ectodermique par exemple [2].

Cliniquement, une dent atteinte d’infraclusion est positionnée sous le plan d’occlusion par rapport aux dents adjacentes. La classification de Brearley permet de distinguer 3 stades d’infraclusion : légère (1 mm en dessous du plan d’occlusion), modérée (table occlusale positionnée au niveau du point de contact dentaire d’une des deux dents adjacentes), sévère (table occlusale située au niveau gingival proximal ou en dessous)(fig.

Cet article est réservé aux abonnés.
Pour lire la suite :

Vous êtes abonné.e ? Connectez-vous
Mot de passe
oublié ?

Vous pouvez également :

Acheter l'article En version numérique
Acheter le numéro À l'unité

Thèmes abordés

Sur le même sujet

Odontologie pédiatrique

Article réservé à nos abonnés Succion du pouce chez l’enfant : une habitude à surveiller

Définition et prévalence La succion est une activité instinctive et réflexe chez le nouveau-né, essentielle à l’alimentation et à la...
Odontologie pédiatrique

Article réservé à nos abonnés L’hypominéralisation molaire incisive : action, réaction !

Séance DPC – JIP 2025 Conférencière : Elsa Garot L’Hypominéralisation Molaire Incisive (MIH) est une affection de l’émail définie depuis 2001...